Interpretation, Reporting, Imaging-Based Workups, and Surveillance of Incidentally Detected Gallbladder Polyps and Gallbladder Wall Thickening: 2025 Recommendations From the Korean Society of Abdominal Radiology.

IF 5.3 2区 医学 Q1 RADIOLOGY, NUCLEAR MEDICINE & MEDICAL IMAGING
Won Chang, Sunyoung Lee, Yeun-Yoon Kim, Jin Young Park, Sun Kyung Jeon, Jeong Eun Lee, Jeongin Yoo, Seungchul Han, So Hyun Park, Jae Hyun Kim, Hyo Jung Park, Jeong Hee Yoon
{"title":"Interpretation, Reporting, Imaging-Based Workups, and Surveillance of Incidentally Detected Gallbladder Polyps and Gallbladder Wall Thickening: 2025 Recommendations From the Korean Society of Abdominal Radiology.","authors":"Won Chang, Sunyoung Lee, Yeun-Yoon Kim, Jin Young Park, Sun Kyung Jeon, Jeong Eun Lee, Jeongin Yoo, Seungchul Han, So Hyun Park, Jae Hyun Kim, Hyo Jung Park, Jeong Hee Yoon","doi":"10.3348/kjr.2024.0914","DOIUrl":null,"url":null,"abstract":"<p><p>Incidentally detected gallbladder polyps (GBPs) and gallbladder wall thickening (GBWT) are frequently encountered in clinical practice. However, characterizing GBPs and GBWT in asymptomatic patients can be challenging and may result in overtreatment, including unnecessary follow-ups or surgeries. The Korean Society of Abdominal Radiology (KSAR) Clinical Practice Guideline Committee has developed expert recommendations that focus on standardized imaging interpretation and follow-up strategies for both GBPs and GBWT, with support from the Korean Society of Radiology and KSAR. These guidelines, which address 24 key questions, aim to standardize the approach for the interpretation of imaging findings, reporting, imaging-based workups, and surveillance of incidentally detected GBPs and GBWT. This recommendation promotes evidence-based practice, facilitates communication between radiologists and referring physicians, and reduces unnecessary interventions.</p>","PeriodicalId":17881,"journal":{"name":"Korean Journal of Radiology","volume":"26 2","pages":"102-134"},"PeriodicalIF":5.3000,"publicationDate":"2025-02-01","publicationTypes":"Journal Article","fieldsOfStudy":null,"isOpenAccess":false,"openAccessPdf":"https://www.ncbi.nlm.nih.gov/pmc/articles/PMC11794292/pdf/","citationCount":"0","resultStr":null,"platform":"Semanticscholar","paperid":null,"PeriodicalName":"Korean Journal of Radiology","FirstCategoryId":"3","ListUrlMain":"https://doi.org/10.3348/kjr.2024.0914","RegionNum":2,"RegionCategory":"医学","ArticlePicture":[],"TitleCN":null,"AbstractTextCN":null,"PMCID":null,"EPubDate":"","PubModel":"","JCR":"Q1","JCRName":"RADIOLOGY, NUCLEAR MEDICINE & MEDICAL IMAGING","Score":null,"Total":0}
引用次数: 0

Abstract

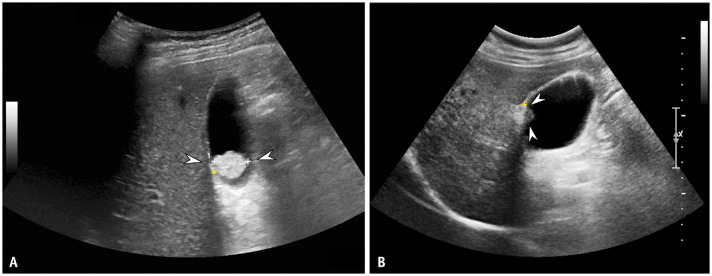
Incidentally detected gallbladder polyps (GBPs) and gallbladder wall thickening (GBWT) are frequently encountered in clinical practice. However, characterizing GBPs and GBWT in asymptomatic patients can be challenging and may result in overtreatment, including unnecessary follow-ups or surgeries. The Korean Society of Abdominal Radiology (KSAR) Clinical Practice Guideline Committee has developed expert recommendations that focus on standardized imaging interpretation and follow-up strategies for both GBPs and GBWT, with support from the Korean Society of Radiology and KSAR. These guidelines, which address 24 key questions, aim to standardize the approach for the interpretation of imaging findings, reporting, imaging-based workups, and surveillance of incidentally detected GBPs and GBWT. This recommendation promotes evidence-based practice, facilitates communication between radiologists and referring physicians, and reduces unnecessary interventions.

Abstract Image

Abstract Image

Abstract Image

偶然发现的胆囊息肉和胆囊壁增厚的解释、报告、基于成像的检查和监测:韩国腹部放射学会的2025条建议。
偶然发现的胆囊息肉(GBPs)和胆囊壁增厚(GBWT)在临床实践中经常遇到。然而,在无症状患者中确定GBPs和GBWT的特征可能具有挑战性,并可能导致过度治疗,包括不必要的随访或手术。在韩国放射学会和KSAR的支持下,韩国腹部放射学会(KSAR)临床实践指南委员会制定了专家建议,重点关注GBPs和GBWT的标准化成像解释和随访策略。这些指南涉及24个关键问题,旨在标准化成像结果的解释、报告、基于成像的检查以及偶然检测到的GBPs和GBWT的监测方法。该建议促进循证实践,促进放射科医生和转诊医生之间的沟通,并减少不必要的干预。
本文章由计算机程序翻译,如有差异,请以英文原文为准。
求助全文
约1分钟内获得全文 求助全文
来源期刊
Korean Journal of Radiology
Korean Journal of Radiology 医学-核医学
CiteScore
10.60
自引率
12.50%
发文量
141
审稿时长
1.3 months
期刊介绍: The inaugural issue of the Korean J Radiol came out in March 2000. Our journal aims to produce and propagate knowledge on radiologic imaging and related sciences. A unique feature of the articles published in the Journal will be their reflection of global trends in radiology combined with an East-Asian perspective. Geographic differences in disease prevalence will be reflected in the contents of papers, and this will serve to enrich our body of knowledge. World''s outstanding radiologists from many countries are serving as editorial board of our journal.
×
引用
GB/T 7714-2015
复制
MLA
复制
APA
复制
导出至
BibTeX EndNote RefMan NoteFirst NoteExpress
×
提示
您的信息不完整,为了账户安全,请先补充。
现在去补充
×
提示
您因"违规操作"
具体请查看互助需知
我知道了
×
提示
确定
请完成安全验证×
copy
已复制链接
快去分享给好友吧!
我知道了
右上角分享
点击右上角分享
0
联系我们:info@booksci.cn Book学术提供免费学术资源搜索服务,方便国内外学者检索中英文文献。致力于提供最便捷和优质的服务体验。 Copyright © 2023 布克学术 All rights reserved.
京ICP备2023020795号-1
ghs 京公网安备 11010802042870号
Book学术文献互助
Book学术文献互助群
群 号:604180095
Book学术官方微信