Improving Outcomes in Peripartum Cardiomyopathy with Vericiguat: A Clinical Case.

IF 1 Q4 CARDIAC & CARDIOVASCULAR SYSTEMS
Journal of Cardiovascular Echography Pub Date : 2024-10-01 Epub Date: 2024-12-19 DOI:10.4103/jcecho.jcecho_48_24
Fulvio Cacciapuoti, Ciro Mauro, Valentina Capone, Fabio Marsico, Luca Gaetano Tarquinio, Federico Cacciapuoti
{"title":"Improving Outcomes in Peripartum Cardiomyopathy with Vericiguat: A Clinical Case.","authors":"Fulvio Cacciapuoti, Ciro Mauro, Valentina Capone, Fabio Marsico, Luca Gaetano Tarquinio, Federico Cacciapuoti","doi":"10.4103/jcecho.jcecho_48_24","DOIUrl":null,"url":null,"abstract":"<p><p>Peripartum cardiomyopathy (PPCM) is a specific form of cardiomyopathy that manifests toward the end of pregnancy or within 5 months postpartum, characterized by a decrease in cardiac output due to impaired myocardial function. This condition has a multifactorial origin, influenced by genetic predispositions, inflammatory processes, autoimmunity, hormonal variations, and nutritional deficiencies. Prognosis varies among patients: while some recover completely within 6 months, others may develop chronic cardiac dysfunction requiring long-term treatment. Vericiguat, a soluble guanylate cyclase stimulator, has shown promising results in the treatment of heart failure with reduced ejection fraction. This drug works by enhancing the nitric oxide signaling pathway, promoting vasodilation, and improving myocardial function. Although the use of vericiguat in PPCM is not yet fully documented, its potential benefits suggest that it may represent a valid therapeutic option when standard therapies are insufficient for symptom control. We present the case of a 32-year-old woman with PPCM, initially undiagnosed, who developed severe symptoms of dyspnea, orthopnea, and peripheral edema postpartum. These symptoms were accompanied by a significant reduction in left ventricular ejection fraction. Following a suboptimal response to standard heart failure therapy, vericiguat was incorporated into her treatment regimen. In subsequent outpatient follow-ups, the patient's symptoms progressively improved, and left ventricular systolic function markedly increased. The patient became asymptomatic and was able to resume her normal daily activities. While this case suggests that vericiguat could be an effective adjunctive treatment for PPCM, it remains unclear whether these improvements were directly attributable to vericiguat or could have occurred with continued standard therapy alone. Further studies are needed to define the role of vericiguat in this condition.</p>","PeriodicalId":15191,"journal":{"name":"Journal of Cardiovascular Echography","volume":"34 4","pages":"214-218"},"PeriodicalIF":1.0000,"publicationDate":"2024-10-01","publicationTypes":"Journal Article","fieldsOfStudy":null,"isOpenAccess":false,"openAccessPdf":"https://www.ncbi.nlm.nih.gov/pmc/articles/PMC11784736/pdf/","citationCount":"0","resultStr":null,"platform":"Semanticscholar","paperid":null,"PeriodicalName":"Journal of Cardiovascular Echography","FirstCategoryId":"1085","ListUrlMain":"https://doi.org/10.4103/jcecho.jcecho_48_24","RegionNum":0,"RegionCategory":null,"ArticlePicture":[],"TitleCN":null,"AbstractTextCN":null,"PMCID":null,"EPubDate":"2024/12/19 0:00:00","PubModel":"Epub","JCR":"Q4","JCRName":"CARDIAC & CARDIOVASCULAR SYSTEMS","Score":null,"Total":0}
引用次数: 0

Abstract

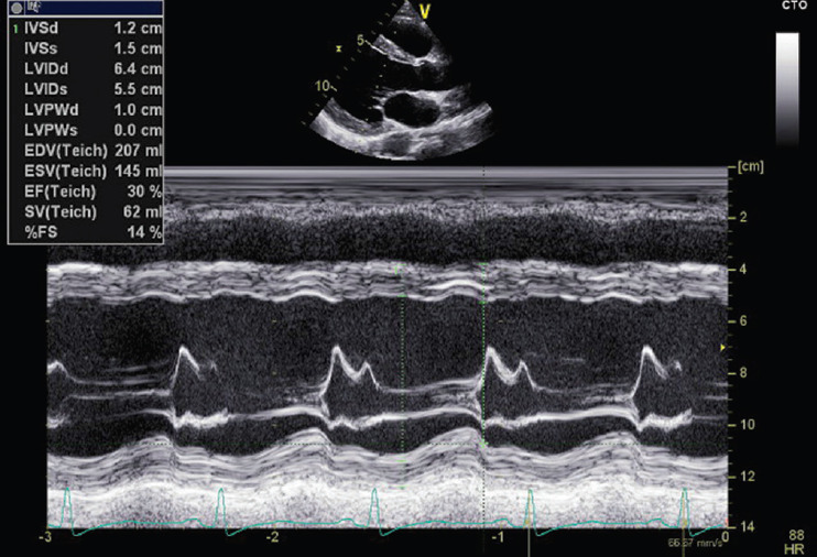
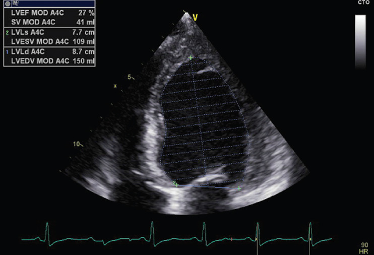
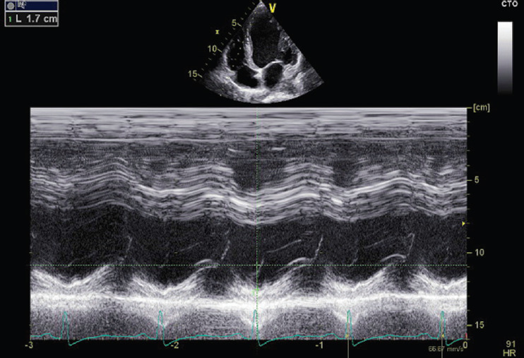
Peripartum cardiomyopathy (PPCM) is a specific form of cardiomyopathy that manifests toward the end of pregnancy or within 5 months postpartum, characterized by a decrease in cardiac output due to impaired myocardial function. This condition has a multifactorial origin, influenced by genetic predispositions, inflammatory processes, autoimmunity, hormonal variations, and nutritional deficiencies. Prognosis varies among patients: while some recover completely within 6 months, others may develop chronic cardiac dysfunction requiring long-term treatment. Vericiguat, a soluble guanylate cyclase stimulator, has shown promising results in the treatment of heart failure with reduced ejection fraction. This drug works by enhancing the nitric oxide signaling pathway, promoting vasodilation, and improving myocardial function. Although the use of vericiguat in PPCM is not yet fully documented, its potential benefits suggest that it may represent a valid therapeutic option when standard therapies are insufficient for symptom control. We present the case of a 32-year-old woman with PPCM, initially undiagnosed, who developed severe symptoms of dyspnea, orthopnea, and peripheral edema postpartum. These symptoms were accompanied by a significant reduction in left ventricular ejection fraction. Following a suboptimal response to standard heart failure therapy, vericiguat was incorporated into her treatment regimen. In subsequent outpatient follow-ups, the patient's symptoms progressively improved, and left ventricular systolic function markedly increased. The patient became asymptomatic and was able to resume her normal daily activities. While this case suggests that vericiguat could be an effective adjunctive treatment for PPCM, it remains unclear whether these improvements were directly attributable to vericiguat or could have occurred with continued standard therapy alone. Further studies are needed to define the role of vericiguat in this condition.

Abstract Image

Abstract Image

Abstract Image

Vericiguat改善围生期心肌病预后1例
围产期心肌病(PPCM)是一种特殊形式的心肌病,表现在妊娠末期或产后5个月内,其特征是由于心肌功能受损导致心输出量减少。这种情况有多因素的起源,受遗传易感性、炎症过程、自身免疫、激素变化和营养缺乏的影响。患者预后各不相同:有的患者在6个月内完全康复,有的患者可能发展为慢性心功能障碍,需要长期治疗。Vericiguat是一种可溶性鸟苷酸环化酶刺激剂,在治疗射血分数降低的心力衰竭方面显示出有希望的结果。该药通过增强一氧化氮信号通路,促进血管舒张,改善心肌功能起作用。虽然在PPCM中使用vericiguat尚未被充分记录,但其潜在的益处表明,当标准治疗不足以控制症状时,它可能是一种有效的治疗选择。我们报告一例32岁女性PPCM,最初未确诊,产后出现严重的呼吸困难、矫形呼吸和周围水肿症状。这些症状都伴随着左心室射血分数的显著降低。在对标准心力衰竭治疗反应不佳后,vericiguat被纳入她的治疗方案。在随后的门诊随访中,患者的症状逐渐改善,左心室收缩功能明显增强。患者无症状,并能恢复正常的日常活动。虽然该病例表明vericiguat可能是PPCM的有效辅助治疗,但尚不清楚这些改善是否直接归因于vericiguat或可能仅通过持续的标准治疗发生。需要进一步的研究来确定验证在这种情况下的作用。
本文章由计算机程序翻译,如有差异,请以英文原文为准。
求助全文
约1分钟内获得全文 求助全文
来源期刊
Journal of Cardiovascular Echography
Journal of Cardiovascular Echography CARDIAC & CARDIOVASCULAR SYSTEMS-
CiteScore
1.40
自引率
12.50%
发文量
27
×
引用
GB/T 7714-2015
复制
MLA
复制
APA
复制
导出至
BibTeX EndNote RefMan NoteFirst NoteExpress
×
提示
您的信息不完整,为了账户安全,请先补充。
现在去补充
×
提示
您因"违规操作"
具体请查看互助需知
我知道了
×
提示
确定
请完成安全验证×
copy
已复制链接
快去分享给好友吧!
我知道了
右上角分享
点击右上角分享
0
联系我们:info@booksci.cn Book学术提供免费学术资源搜索服务,方便国内外学者检索中英文文献。致力于提供最便捷和优质的服务体验。 Copyright © 2023 布克学术 All rights reserved.
京ICP备2023020795号-1
ghs 京公网安备 11010802042870号
Book学术文献互助
Book学术文献互助群
群 号:604180095
Book学术官方微信