Primary Cutaneous CD8-positive Aggressive Epidermotropic Cytotoxic T-cell Lymphoma Complicated by Paraneoplastic Encephalitis.

IF 1.1 4区 医学 Q3 MEDICINE, GENERAL & INTERNAL
Internal Medicine Pub Date : 2025-09-01 Epub Date: 2025-02-01 DOI:10.2169/internalmedicine.4988-24
Yu Inoue, Taku Tsukamoto, Kentaro Mizuhara, Chika Maekura, Takahisa Nakamura, Haruya Okamoto, Takahiro Fujino, Shinsuke Mizutani, Yuji Shimura, Ayano Maruyama, Mari Nakanishi, Eijirou Tanaka, Yuki Nishida, Kenta Ishii, Yuta Sonobe, Aya Miyagawa-Hayashino, Junya Kuroda
{"title":"Primary Cutaneous CD8-positive Aggressive Epidermotropic Cytotoxic T-cell Lymphoma Complicated by Paraneoplastic Encephalitis.","authors":"Yu Inoue, Taku Tsukamoto, Kentaro Mizuhara, Chika Maekura, Takahisa Nakamura, Haruya Okamoto, Takahiro Fujino, Shinsuke Mizutani, Yuji Shimura, Ayano Maruyama, Mari Nakanishi, Eijirou Tanaka, Yuki Nishida, Kenta Ishii, Yuta Sonobe, Aya Miyagawa-Hayashino, Junya Kuroda","doi":"10.2169/internalmedicine.4988-24","DOIUrl":null,"url":null,"abstract":"<p><p>Primary cutaneous CD8-positive aggressive epidermotropic cytotoxic T-cell lymphoma (PCAE-CTL) is a rare subtype of cutaneous T-cell lymphoma with a poor prognosis. We herein report a case of PCAE-CTL accompanied by anti-Ma2 antibody-positive paraneoplastic encephalitis. A 33-year-old woman with erythema and disturbance of consciousness was diagnosed with PCAE-CTL by a skin biopsy. Head magnetic resonance imaging revealed bilateral medial temporal lobe hyperintensity, and anti-Ma2 antibody in the cerebrospinal fluid was positive. She was diagnosed with concurrent anti-Ma2 antibody-positive paraneoplastic encephalitis. In cases of lymphoma with brain lesions, invasion of the central nervous system by lymphoma and paraneoplastic encephalitis should be considered.</p>","PeriodicalId":13719,"journal":{"name":"Internal Medicine","volume":" ","pages":"2641-2645"},"PeriodicalIF":1.1000,"publicationDate":"2025-09-01","publicationTypes":"Journal Article","fieldsOfStudy":null,"isOpenAccess":false,"openAccessPdf":"https://www.ncbi.nlm.nih.gov/pmc/articles/PMC12463409/pdf/","citationCount":"0","resultStr":null,"platform":"Semanticscholar","paperid":null,"PeriodicalName":"Internal Medicine","FirstCategoryId":"3","ListUrlMain":"https://doi.org/10.2169/internalmedicine.4988-24","RegionNum":4,"RegionCategory":"医学","ArticlePicture":[],"TitleCN":null,"AbstractTextCN":null,"PMCID":null,"EPubDate":"2025/2/1 0:00:00","PubModel":"Epub","JCR":"Q3","JCRName":"MEDICINE, GENERAL & INTERNAL","Score":null,"Total":0}
引用次数: 0

Abstract

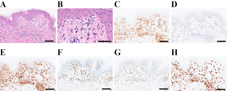
Primary cutaneous CD8-positive aggressive epidermotropic cytotoxic T-cell lymphoma (PCAE-CTL) is a rare subtype of cutaneous T-cell lymphoma with a poor prognosis. We herein report a case of PCAE-CTL accompanied by anti-Ma2 antibody-positive paraneoplastic encephalitis. A 33-year-old woman with erythema and disturbance of consciousness was diagnosed with PCAE-CTL by a skin biopsy. Head magnetic resonance imaging revealed bilateral medial temporal lobe hyperintensity, and anti-Ma2 antibody in the cerebrospinal fluid was positive. She was diagnosed with concurrent anti-Ma2 antibody-positive paraneoplastic encephalitis. In cases of lymphoma with brain lesions, invasion of the central nervous system by lymphoma and paraneoplastic encephalitis should be considered.

Abstract Image

Abstract Image

Abstract Image

原发性皮肤cd8阳性侵袭性表皮细胞毒性t细胞淋巴瘤并发副肿瘤脑炎。
原发性皮肤cd8阳性侵袭性表皮细胞毒性t细胞淋巴瘤(PCAE-CTL)是一种罕见的皮肤t细胞淋巴瘤亚型,预后较差。我们在此报告一例PCAE-CTL伴抗ma2抗体阳性副肿瘤脑炎。一名33岁女性,红斑和意识障碍,通过皮肤活检诊断为PCAE-CTL。头部磁共振示双侧内侧颞叶高信号,脑脊液抗ma2抗体阳性。她被诊断为并发抗ma2抗体阳性副肿瘤脑炎。在淋巴瘤伴脑病变的病例中,应考虑淋巴瘤和副肿瘤脑炎对中枢神经系统的侵犯。
本文章由计算机程序翻译,如有差异,请以英文原文为准。
求助全文
约1分钟内获得全文 求助全文
来源期刊
Internal Medicine
Internal Medicine 医学-医学:内科
CiteScore
1.90
自引率
8.30%
发文量
0
审稿时长
2.2 months
期刊介绍: Internal Medicine is an open-access online only journal published monthly by the Japanese Society of Internal Medicine. Articles must be prepared in accordance with "The Uniform Requirements for Manuscripts Submitted to Biomedical Journals (see Annals of Internal Medicine 108: 258-265, 1988), must be contributed solely to the Internal Medicine, and become the property of the Japanese Society of Internal Medicine. Statements contained therein are the responsibility of the author(s). The Society reserves copyright and renewal on all published material and such material may not be reproduced in any form without the written permission of the Society.
×
引用
GB/T 7714-2015
复制
MLA
复制
APA
复制
导出至
BibTeX EndNote RefMan NoteFirst NoteExpress
×
提示
您的信息不完整,为了账户安全,请先补充。
现在去补充
×
提示
您因"违规操作"
具体请查看互助需知
我知道了
×
提示
确定
请完成安全验证×
copy
已复制链接
快去分享给好友吧!
我知道了
右上角分享
点击右上角分享
0
联系我们:info@booksci.cn Book学术提供免费学术资源搜索服务,方便国内外学者检索中英文文献。致力于提供最便捷和优质的服务体验。 Copyright © 2023 布克学术 All rights reserved.
京ICP备2023020795号-1
ghs 京公网安备 11010802042870号
Book学术文献互助
Book学术文献互助群
群 号:604180095
Book学术官方微信