Successful Multimodal Management of an Aggressive Functional Gonadotropic Pituitary Macroadenoma

IF 1.2 Q3 Medicine
Jeffrey J. Feng MS , Sophie M. Cannon MD , Stephanie K. Cheok MD , Mark S. Shiroishi MD , Kyle M. Hurth MD, PhD , Anna J. Mathew MD , Gabriel Zada MD , John D. Carmichael MD
{"title":"Successful Multimodal Management of an Aggressive Functional Gonadotropic Pituitary Macroadenoma","authors":"Jeffrey J. Feng MS ,&nbsp;Sophie M. Cannon MD ,&nbsp;Stephanie K. Cheok MD ,&nbsp;Mark S. Shiroishi MD ,&nbsp;Kyle M. Hurth MD, PhD ,&nbsp;Anna J. Mathew MD ,&nbsp;Gabriel Zada MD ,&nbsp;John D. Carmichael MD","doi":"10.1016/j.aace.2024.09.003","DOIUrl":null,"url":null,"abstract":"<div><h3>Background/Objective</h3><div>Although most gonadotroph cell–derived pituitary adenomas (PAs) give rise to nonfunctional PAs, hormonally active functional gonadotroph adenomas (FGAs) are exceedingly rare. We present a case of a giant and invasive functional gonadotropic pituitary macroadenoma treated with endoscopic transsphenoidal surgery and subsequent postoperative radiotherapy.</div></div><div><h3>Case Report</h3><div>A 54-year-old man presented with gradually worsening vision over 1 year. Magnetic resonance imaging demonstrated a 5.2-cm sellar and suprasellar mass with cavernous sinus invasion, mass effect on the optic chiasm, and extension into the sphenoid sinus, nasal cavity, and clivus. Preoperative workup was remarkable for erythrocytosis without sleep apnea and increased levels of follicle-stimulating hormone (FSH), luteinizing hormone (LH), prolactin, and testosterone. Immunohistochemistry results following endoscopic transsphenoidal resection confirmed dominant staining for steroidogenic factor-1, FSH, and LH. Postoperatively, the patient’s FSH level decreased, whereas the LH level normalized within 1 week. The free testosterone level normalized at 9 months. The patient underwent radiotherapy for a small amount of residual tumor in the right cavernous sinus and has demonstrated no evidence of disease or hormonal progression.</div></div><div><h3>Discussion</h3><div>There is no consensus on FGA-specific management that differs from the management of nonfunctional PAs; surgery is recommended when vision is impacted. The invasive nature of the tumor presented in this case is rare and limited safe gross total resection, requiring adjuvant radiotherapy.</div></div><div><h3>Conclusion</h3><div>FGAs are rare, and those of similar size and extent of invasion as in our case are even more so. In addition to surgical resection, consideration of adjunct therapies including radiation and multidisciplinary physician involvement are vital in achieving clinical improvement and remission while preventing possible progression and recurrence.</div></div>","PeriodicalId":7051,"journal":{"name":"AACE Clinical Case Reports","volume":"11 1","pages":"Pages 14-17"},"PeriodicalIF":1.2000,"publicationDate":"2025-01-01","publicationTypes":"Journal Article","fieldsOfStudy":null,"isOpenAccess":false,"openAccessPdf":"https://www.ncbi.nlm.nih.gov/pmc/articles/PMC11784608/pdf/","citationCount":"0","resultStr":null,"platform":"Semanticscholar","paperid":null,"PeriodicalName":"AACE Clinical Case Reports","FirstCategoryId":"1085","ListUrlMain":"https://www.sciencedirect.com/science/article/pii/S2376060524001019","RegionNum":0,"RegionCategory":null,"ArticlePicture":[],"TitleCN":null,"AbstractTextCN":null,"PMCID":null,"EPubDate":"","PubModel":"","JCR":"Q3","JCRName":"Medicine","Score":null,"Total":0}
引用次数: 0

Abstract

Background/Objective

Although most gonadotroph cell–derived pituitary adenomas (PAs) give rise to nonfunctional PAs, hormonally active functional gonadotroph adenomas (FGAs) are exceedingly rare. We present a case of a giant and invasive functional gonadotropic pituitary macroadenoma treated with endoscopic transsphenoidal surgery and subsequent postoperative radiotherapy.

Case Report

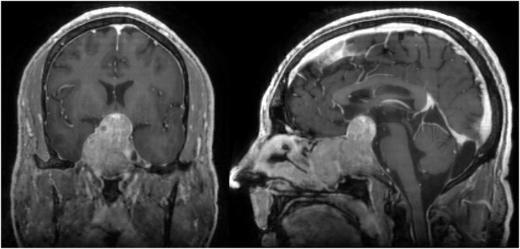
A 54-year-old man presented with gradually worsening vision over 1 year. Magnetic resonance imaging demonstrated a 5.2-cm sellar and suprasellar mass with cavernous sinus invasion, mass effect on the optic chiasm, and extension into the sphenoid sinus, nasal cavity, and clivus. Preoperative workup was remarkable for erythrocytosis without sleep apnea and increased levels of follicle-stimulating hormone (FSH), luteinizing hormone (LH), prolactin, and testosterone. Immunohistochemistry results following endoscopic transsphenoidal resection confirmed dominant staining for steroidogenic factor-1, FSH, and LH. Postoperatively, the patient’s FSH level decreased, whereas the LH level normalized within 1 week. The free testosterone level normalized at 9 months. The patient underwent radiotherapy for a small amount of residual tumor in the right cavernous sinus and has demonstrated no evidence of disease or hormonal progression.

Discussion

There is no consensus on FGA-specific management that differs from the management of nonfunctional PAs; surgery is recommended when vision is impacted. The invasive nature of the tumor presented in this case is rare and limited safe gross total resection, requiring adjuvant radiotherapy.

Conclusion

FGAs are rare, and those of similar size and extent of invasion as in our case are even more so. In addition to surgical resection, consideration of adjunct therapies including radiation and multidisciplinary physician involvement are vital in achieving clinical improvement and remission while preventing possible progression and recurrence.

Abstract Image

Abstract Image

Abstract Image

侵袭性功能性促性腺激素大腺瘤的成功多模式治疗。
背景/目的:虽然大多数促性腺细胞源性垂体腺瘤(PAs)产生非功能性PAs,但激素活性功能性促性腺腺瘤(FGAs)极为罕见。我们报告一例巨大的侵袭性功能性促性腺腺瘤,经内镜下蝶窦手术和术后放疗治疗。病例报告:一名54岁男性,视力逐渐恶化超过1年。磁共振成像显示一个5.2 cm鞍上肿块,侵犯海绵窦,肿块影响视交叉,并延伸到蝶窦、鼻腔和斜坡。术前检查有明显的红细胞增多,无睡眠呼吸暂停,促卵泡激素(FSH)、促黄体生成素(LH)、催乳素和睾酮水平升高。内镜下经蝶窦切除术后的免疫组织化学结果证实了类固醇生成因子-1、FSH和LH的显性染色。术后患者FSH水平下降,而LH水平在1周内恢复正常。游离睾酮水平在9个月时恢复正常。患者因右侧海绵窦少量残留肿瘤接受放射治疗,并无疾病或激素进展的证据。讨论:对于fga特异性管理与非功能性PAs管理的不同,目前尚无共识;当视力受到影响时,建议进行手术。本病例中肿瘤的侵袭性是罕见的,并且限制了安全的全切除,需要辅助放疗。结论:FGAs是罕见的,而与本病例侵袭大小和范围相似的FGAs更是罕见。除手术切除外,考虑辅助治疗,包括放疗和多学科医师参与,对于实现临床改善和缓解,同时防止可能的进展和复发至关重要。
本文章由计算机程序翻译,如有差异,请以英文原文为准。
求助全文
约1分钟内获得全文 求助全文
来源期刊
AACE Clinical Case Reports
AACE Clinical Case Reports Medicine-Endocrinology, Diabetes and Metabolism
CiteScore
2.30
自引率
0.00%
发文量
61
审稿时长
55 days
×
引用
GB/T 7714-2015
复制
MLA
复制
APA
复制
导出至
BibTeX EndNote RefMan NoteFirst NoteExpress
×
提示
您的信息不完整,为了账户安全,请先补充。
现在去补充
×
提示
您因"违规操作"
具体请查看互助需知
我知道了
×
提示
确定
请完成安全验证×
copy
已复制链接
快去分享给好友吧!
我知道了
右上角分享
点击右上角分享
0
联系我们:info@booksci.cn Book学术提供免费学术资源搜索服务,方便国内外学者检索中英文文献。致力于提供最便捷和优质的服务体验。 Copyright © 2023 布克学术 All rights reserved.
京ICP备2023020795号-1
ghs 京公网安备 11010802042870号
Book学术文献互助
Book学术文献互助群
群 号:604180095
Book学术官方微信