Pituitary Stalk Interruption Syndrome: A Case and Literature Review

IF 1.2 Q3 Medicine
Anuja Choure MD , Leena Shahla MD
{"title":"Pituitary Stalk Interruption Syndrome: A Case and Literature Review","authors":"Anuja Choure MD ,&nbsp;Leena Shahla MD","doi":"10.1016/j.aace.2024.09.007","DOIUrl":null,"url":null,"abstract":"<div><h3>Background/Objective</h3><div>Pituitary stalk interruption syndrome (PSIS) is a rare congenital disorder that is characterized by a triad including a thin or interrupted pituitary stalk, absent or ectopic posterior lobe, and agenesis or dysgenesis of anterior lobe.</div><div>PSIS is typically diagnosed in childhood. The objective of this report is to describe a patient with PSIS whose diagnosis was missed until adulthood.</div></div><div><h3>Case Report</h3><div>A 42-year-old-female presented for evaluation of premature menopause, weight loss, and occasional dizziness. On examination she had short stature and absent secondary sexual features. Laboratory tests were consistent with hypopituitarism with follicle stimulating hormone 0.5 mIU/mL (16.7-113); luteinizing hormone 1.2 mIU/mL (10.8-58.6); prolactin 10.4 ng/mL (2.7-19.6); estradiol 20 pg/mL; cortisol 2 mcg/dL (6.7-22.6); adrenocorticotropic hormone 18 pg/mL (6-50); thyroid stimulating hormone 10.33 uIU/mL (0.28-3.8); free T4 0.41 ng/dL (0.58-1.64); insulin like growth factor-1 −3.7 SD (17 ng/mL) (52-328); and adrenocorticotropic hormone stimulation confirmed secondary adrenal insufficiency. The magnetic resonance imaging of the brain revealed an ectopic posterior pituitary with a partially empty sella, absence of the pituitary stalk, and a small anterior pituitary. The patient was initiated on replacement hormones with improvement in her symptoms.</div></div><div><h3>Discussion</h3><div>PSIS is a rare condition with uncertain pathogenesis and variable presentation requiring a high index of suspicion and presenting with multiple anterior pituitary hormone deficiencies. Diagnosis is confirmed by a dedicated pituitary magnetic resonance imaging, and treatment is tailored to the hormonal deficiency detected.</div></div><div><h3>Conclusion</h3><div>This case highlights the importance of early diagnosis of PSIS, which presents with multiple anterior pituitary hormonal deficiencies, but diagnosis can remain elusive unless dedicated brain imaging is performed.</div></div>","PeriodicalId":7051,"journal":{"name":"AACE Clinical Case Reports","volume":"11 1","pages":"Pages 29-31"},"PeriodicalIF":1.2000,"publicationDate":"2025-01-01","publicationTypes":"Journal Article","fieldsOfStudy":null,"isOpenAccess":false,"openAccessPdf":"https://www.ncbi.nlm.nih.gov/pmc/articles/PMC11784625/pdf/","citationCount":"0","resultStr":null,"platform":"Semanticscholar","paperid":null,"PeriodicalName":"AACE Clinical Case Reports","FirstCategoryId":"1085","ListUrlMain":"https://www.sciencedirect.com/science/article/pii/S2376060524001081","RegionNum":0,"RegionCategory":null,"ArticlePicture":[],"TitleCN":null,"AbstractTextCN":null,"PMCID":null,"EPubDate":"","PubModel":"","JCR":"Q3","JCRName":"Medicine","Score":null,"Total":0}
引用次数: 0

Abstract

Background/Objective

Pituitary stalk interruption syndrome (PSIS) is a rare congenital disorder that is characterized by a triad including a thin or interrupted pituitary stalk, absent or ectopic posterior lobe, and agenesis or dysgenesis of anterior lobe.
PSIS is typically diagnosed in childhood. The objective of this report is to describe a patient with PSIS whose diagnosis was missed until adulthood.

Case Report

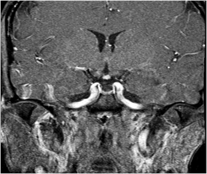
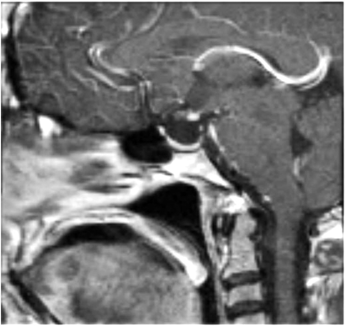
A 42-year-old-female presented for evaluation of premature menopause, weight loss, and occasional dizziness. On examination she had short stature and absent secondary sexual features. Laboratory tests were consistent with hypopituitarism with follicle stimulating hormone 0.5 mIU/mL (16.7-113); luteinizing hormone 1.2 mIU/mL (10.8-58.6); prolactin 10.4 ng/mL (2.7-19.6); estradiol 20 pg/mL; cortisol 2 mcg/dL (6.7-22.6); adrenocorticotropic hormone 18 pg/mL (6-50); thyroid stimulating hormone 10.33 uIU/mL (0.28-3.8); free T4 0.41 ng/dL (0.58-1.64); insulin like growth factor-1 −3.7 SD (17 ng/mL) (52-328); and adrenocorticotropic hormone stimulation confirmed secondary adrenal insufficiency. The magnetic resonance imaging of the brain revealed an ectopic posterior pituitary with a partially empty sella, absence of the pituitary stalk, and a small anterior pituitary. The patient was initiated on replacement hormones with improvement in her symptoms.

Discussion

PSIS is a rare condition with uncertain pathogenesis and variable presentation requiring a high index of suspicion and presenting with multiple anterior pituitary hormone deficiencies. Diagnosis is confirmed by a dedicated pituitary magnetic resonance imaging, and treatment is tailored to the hormonal deficiency detected.

Conclusion

This case highlights the importance of early diagnosis of PSIS, which presents with multiple anterior pituitary hormonal deficiencies, but diagnosis can remain elusive unless dedicated brain imaging is performed.

Abstract Image

Abstract Image

垂体柄中断综合征1例及文献复习。
背景/目的:垂体柄中断综合征(PSIS)是一种罕见的先天性疾病,其特征是垂体柄薄或中断,后叶缺失或异位,前叶发育不全或发育不良。PSIS通常在儿童时期被诊断出来。本报告的目的是描述一个病人的PSIS诊断错过了直到成年。病例报告:一名42岁女性,因过早绝经、体重减轻和偶尔头晕而就诊。经检查,她身材矮小,没有第二性征。实验室检查与垂体功能低下一致,促卵泡激素0.5 mIU/mL (16.7-113);黄体生成素1.2 mIU/mL (10.8-58.6);催乳素10.4 ng/mL (2.7 ~ 19.6);雌二醇20 pg/mL;皮质醇2微克/分升(6.7-22.6);促肾上腺皮质激素18 pg/mL (6-50);促甲状腺激素10.33 uIU/mL (0.28-3.8);游离T4 0.41 ng/dL (0.58 ~ 1.64);胰岛素样生长因子-1 -3.7 SD (17 ng/mL) (52-328);促肾上腺皮质激素刺激证实继发性肾上腺功能不全。脑磁共振成像显示垂体后叶异位,蝶鞍部分空,垂体柄缺失,垂体前叶小。患者开始使用替代激素,症状有所改善。讨论:PSIS是一种罕见的疾病,发病机制不确定,表现多变,需要高度怀疑,并表现为多发性垂体前叶激素缺乏。诊断是由专门的垂体磁共振成像证实,治疗是量身定制的激素缺乏检测。结论:该病例强调了早期诊断PSIS的重要性,PSIS表现为多发性垂体前叶激素缺乏,但除非进行专门的脑成像,否则诊断仍然难以确定。
本文章由计算机程序翻译,如有差异,请以英文原文为准。
求助全文
约1分钟内获得全文 求助全文
来源期刊
AACE Clinical Case Reports
AACE Clinical Case Reports Medicine-Endocrinology, Diabetes and Metabolism
CiteScore
2.30
自引率
0.00%
发文量
61
审稿时长
55 days
×
引用
GB/T 7714-2015
复制
MLA
复制
APA
复制
导出至
BibTeX EndNote RefMan NoteFirst NoteExpress
×
提示
您的信息不完整,为了账户安全,请先补充。
现在去补充
×
提示
您因"违规操作"
具体请查看互助需知
我知道了
×
提示
确定
请完成安全验证×
copy
已复制链接
快去分享给好友吧!
我知道了
右上角分享
点击右上角分享
0
联系我们:info@booksci.cn Book学术提供免费学术资源搜索服务,方便国内外学者检索中英文文献。致力于提供最便捷和优质的服务体验。 Copyright © 2023 布克学术 All rights reserved.
京ICP备2023020795号-1
ghs 京公网安备 11010802042870号
Book学术文献互助
Book学术文献互助群
群 号:604180095
Book学术官方微信