Hidden in Plain Sight: Incidental Diagnosis of Metastatic Papillary Thyroid Microcarcinoma Without Radiologically Apparent Thyroid Tumor

IF 1.2 Q3 Medicine
Natalie Rivera Vargas MD , Moises Matos MD , Mustafa Kinaan MD, FACE
{"title":"Hidden in Plain Sight: Incidental Diagnosis of Metastatic Papillary Thyroid Microcarcinoma Without Radiologically Apparent Thyroid Tumor","authors":"Natalie Rivera Vargas MD ,&nbsp;Moises Matos MD ,&nbsp;Mustafa Kinaan MD, FACE","doi":"10.1016/j.aace.2024.10.006","DOIUrl":null,"url":null,"abstract":"<div><h3>Background/Objective</h3><div>Papillary thyroid cancer (PTC) is considered the most common form of thyroid cancer. Papillary thyroid microcarcinomas (PTMCs) are defined as papillary carcinomas that are &lt;1 cm and are often identified on surgical pathology but may be missed by ultrasound imaging.</div></div><div><h3>Case Report</h3><div>Our case describes a 24-year-old woman who initially presented with a right lateral neck lump. This was thought to be a lipoma, and no workup was performed until it began to grow during pregnancy 3 to 4 years after initial presentation. The patient underwent excision with findings of a level 5B lymph node with pathology consistent with PTC, follicular variant. Neck ultrasound performed in an imaging center and in our clinic did not reveal thyroid nodules or abnormal appearing lymph nodes. Solid tumor profiling assay identified a neurotrophic tropomyosin receptor kinase (NTRK)-3 fusion: ETV6(4)-NTRK3(14) mutation.</div></div><div><h3>Discussion</h3><div>PTMCs are identified with increased frequency due to improved ultrasound imaging and fine needle aspiration techniques. PTMCs are often associated with a benign course and are rarely metastatic. There has been growing interest in NTRK fusion mutations in PTC that has been associated with an increased risk of metastasis.</div></div><div><h3>Conclusion</h3><div>This case is unusual in that multiple cervical nodal metastases were present even without a sizable primary thyroid tumor. Although more studies are needed to elucidate the clinical and prognostic significance of NTRK fusion mutations in PTMC, their response to tropomyosin receptor kinase inhibitors may represent a future pathway for treatment.</div></div>","PeriodicalId":7051,"journal":{"name":"AACE Clinical Case Reports","volume":"11 1","pages":"Pages 58-61"},"PeriodicalIF":1.2000,"publicationDate":"2025-01-01","publicationTypes":"Journal Article","fieldsOfStudy":null,"isOpenAccess":false,"openAccessPdf":"https://www.ncbi.nlm.nih.gov/pmc/articles/PMC11784603/pdf/","citationCount":"0","resultStr":null,"platform":"Semanticscholar","paperid":null,"PeriodicalName":"AACE Clinical Case Reports","FirstCategoryId":"1085","ListUrlMain":"https://www.sciencedirect.com/science/article/pii/S2376060524001159","RegionNum":0,"RegionCategory":null,"ArticlePicture":[],"TitleCN":null,"AbstractTextCN":null,"PMCID":null,"EPubDate":"","PubModel":"","JCR":"Q3","JCRName":"Medicine","Score":null,"Total":0}
引用次数: 0

Abstract

Background/Objective

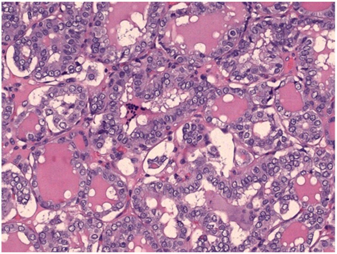
Papillary thyroid cancer (PTC) is considered the most common form of thyroid cancer. Papillary thyroid microcarcinomas (PTMCs) are defined as papillary carcinomas that are <1 cm and are often identified on surgical pathology but may be missed by ultrasound imaging.

Case Report

Our case describes a 24-year-old woman who initially presented with a right lateral neck lump. This was thought to be a lipoma, and no workup was performed until it began to grow during pregnancy 3 to 4 years after initial presentation. The patient underwent excision with findings of a level 5B lymph node with pathology consistent with PTC, follicular variant. Neck ultrasound performed in an imaging center and in our clinic did not reveal thyroid nodules or abnormal appearing lymph nodes. Solid tumor profiling assay identified a neurotrophic tropomyosin receptor kinase (NTRK)-3 fusion: ETV6(4)-NTRK3(14) mutation.

Discussion

PTMCs are identified with increased frequency due to improved ultrasound imaging and fine needle aspiration techniques. PTMCs are often associated with a benign course and are rarely metastatic. There has been growing interest in NTRK fusion mutations in PTC that has been associated with an increased risk of metastasis.

Conclusion

This case is unusual in that multiple cervical nodal metastases were present even without a sizable primary thyroid tumor. Although more studies are needed to elucidate the clinical and prognostic significance of NTRK fusion mutations in PTMC, their response to tropomyosin receptor kinase inhibitors may represent a future pathway for treatment.

Abstract Image

Abstract Image

隐藏在视线中的转移性甲状腺乳头状微癌的偶然诊断,放射学上没有明显的甲状腺肿瘤。
背景/目的:甲状腺乳头状癌(PTC)被认为是最常见的甲状腺癌。乳头状甲状腺微癌(PTMCs)被定义为乳头状癌,病例报告:我们的病例描述了一位24岁的女性,最初表现为右侧颈部肿块。这被认为是脂肪瘤,并没有进行检查,直到它开始生长,在怀孕3至4年后首次提出。患者接受了5B级淋巴结切除术,病理与PTC一致,滤泡变异型。在影像中心和我们诊所进行的颈部超声检查未发现甲状腺结节或异常淋巴结。实体瘤分析鉴定出神经营养性原肌球蛋白受体激酶(NTRK)-3融合:ETV6(4)-NTRK3(14)突变。讨论:由于超声成像和细针穿刺技术的改进,ptmc的确诊频率增加。ptmc通常伴有良性病程,很少发生转移。人们对PTC中与转移风险增加相关的NTRK融合突变越来越感兴趣。结论:本病例不寻常,虽无较大的原发性甲状腺肿瘤,但仍有多发宫颈淋巴结转移。虽然需要更多的研究来阐明NTRK融合突变在PTMC中的临床和预后意义,但它们对原肌球蛋白受体激酶抑制剂的反应可能代表了未来的治疗途径。
本文章由计算机程序翻译,如有差异,请以英文原文为准。
求助全文
约1分钟内获得全文 求助全文
来源期刊
AACE Clinical Case Reports
AACE Clinical Case Reports Medicine-Endocrinology, Diabetes and Metabolism
CiteScore
2.30
自引率
0.00%
发文量
61
审稿时长
55 days
×
引用
GB/T 7714-2015
复制
MLA
复制
APA
复制
导出至
BibTeX EndNote RefMan NoteFirst NoteExpress
×
提示
您的信息不完整,为了账户安全,请先补充。
现在去补充
×
提示
您因"违规操作"
具体请查看互助需知
我知道了
×
提示
确定
请完成安全验证×
copy
已复制链接
快去分享给好友吧!
我知道了
右上角分享
点击右上角分享
0
联系我们:info@booksci.cn Book学术提供免费学术资源搜索服务,方便国内外学者检索中英文文献。致力于提供最便捷和优质的服务体验。 Copyright © 2023 布克学术 All rights reserved.
京ICP备2023020795号-1
ghs 京公网安备 11010802042870号
Book学术文献互助
Book学术文献互助群
群 号:604180095
Book学术官方微信