Colonic Dieulafoy Lesion as a Rare Cause of Lower Gastrointestinal Bleeding.

IF 0.6 Q4 GASTROENTEROLOGY & HEPATOLOGY
Case Reports in Gastroenterology Pub Date : 2025-01-31 eCollection Date: 2025-01-01 DOI:10.1159/000542790
Mohamed Farag, Yordanka Diaz, Harish Patel
{"title":"Colonic Dieulafoy Lesion as a Rare Cause of Lower Gastrointestinal Bleeding.","authors":"Mohamed Farag, Yordanka Diaz, Harish Patel","doi":"10.1159/000542790","DOIUrl":null,"url":null,"abstract":"<p><strong>Introduction: </strong>Dieulafoy lesion is one of the most under-recognized sources of gastrointestinal (GI) bleeding (GI), typically manifesting as acute upper gastrointestinal bleeding; endoscopy is usually the first diagnostic and therapeutic modality utilized to handle these lesions by employing a variety of procedures.</p><p><strong>Case report: </strong>This is a case of an 81-year-old female who was being assessed after experiencing repeated bouts of melena with hemoglobin drop. The patient had multiple comorbidities but no history of gastrointestinal bleeding. Esophagogastroduodenoscopy (EGD) revealed only Erythematous duodenopathy without active bleeding; the initial colonoscopy revealed a large amount of blood without identifying the source of bleeding; a second colonoscopy revealed classic Dieulafoy lesions in the splenic flexure, which were injected and clipped, and the bleeding ceased.</p><p><strong>Conclusion: </strong>Dieulafoy lesions are most frequently found in the stomach and gastroesophageal junction, but they have also been documented in other parts of the gastrointestinal tract. In this particular instance, the lesions were identified in the colon, which is an unusual location for them, and they were treated endoscopically by clipping and injecting. In conclusion, colonic Dieulafoy lesions, although rare, have the potential to cause life-threatening bleeding and should be included in the differential diagnosis of lower gastrointestinal bleeding.</p>","PeriodicalId":9614,"journal":{"name":"Case Reports in Gastroenterology","volume":"19 1","pages":"52-56"},"PeriodicalIF":0.6000,"publicationDate":"2025-01-31","publicationTypes":"Journal Article","fieldsOfStudy":null,"isOpenAccess":false,"openAccessPdf":"https://www.ncbi.nlm.nih.gov/pmc/articles/PMC11785396/pdf/","citationCount":"0","resultStr":null,"platform":"Semanticscholar","paperid":null,"PeriodicalName":"Case Reports in Gastroenterology","FirstCategoryId":"1085","ListUrlMain":"https://doi.org/10.1159/000542790","RegionNum":0,"RegionCategory":null,"ArticlePicture":[],"TitleCN":null,"AbstractTextCN":null,"PMCID":null,"EPubDate":"2025/1/1 0:00:00","PubModel":"eCollection","JCR":"Q4","JCRName":"GASTROENTEROLOGY & HEPATOLOGY","Score":null,"Total":0}
引用次数: 0

Abstract

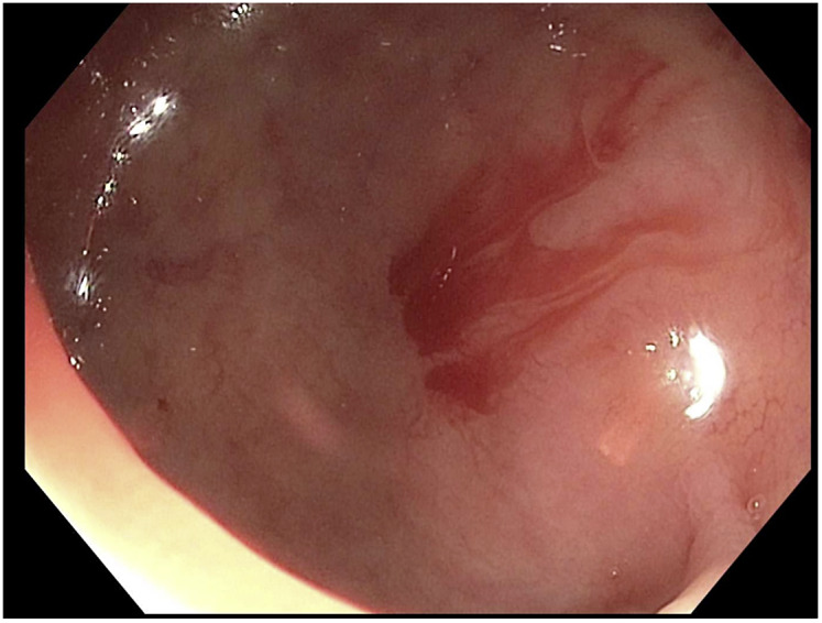
Introduction: Dieulafoy lesion is one of the most under-recognized sources of gastrointestinal (GI) bleeding (GI), typically manifesting as acute upper gastrointestinal bleeding; endoscopy is usually the first diagnostic and therapeutic modality utilized to handle these lesions by employing a variety of procedures.

Case report: This is a case of an 81-year-old female who was being assessed after experiencing repeated bouts of melena with hemoglobin drop. The patient had multiple comorbidities but no history of gastrointestinal bleeding. Esophagogastroduodenoscopy (EGD) revealed only Erythematous duodenopathy without active bleeding; the initial colonoscopy revealed a large amount of blood without identifying the source of bleeding; a second colonoscopy revealed classic Dieulafoy lesions in the splenic flexure, which were injected and clipped, and the bleeding ceased.

Conclusion: Dieulafoy lesions are most frequently found in the stomach and gastroesophageal junction, but they have also been documented in other parts of the gastrointestinal tract. In this particular instance, the lesions were identified in the colon, which is an unusual location for them, and they were treated endoscopically by clipping and injecting. In conclusion, colonic Dieulafoy lesions, although rare, have the potential to cause life-threatening bleeding and should be included in the differential diagnosis of lower gastrointestinal bleeding.

Abstract Image

Abstract Image

结肠十二指肠病变是下消化道出血的罕见病因。
摘要:双ulafoy病变是胃肠道出血(GI)最不为人所知的来源之一,典型表现为急性上消化道出血;内窥镜检查通常是第一诊断和治疗方式,用于处理这些病变,采用各种程序。病例报告:这是一例81岁的女性,她在经历了反复发作的黑黑症和血红蛋白下降后接受了评估。患者有多种合并症,但无胃肠道出血史。食管胃十二指肠镜(EGD)仅显示十二指肠红斑性病变,无活动性出血;最初的结肠镜检查显示大量的血,但没有确定出血的来源;第二次结肠镜检查发现脾屈曲处典型的dieulafy病变,注射并夹住,出血停止。结论:双ulafoy病变最常见于胃和胃食管交界处,但在胃肠道的其他部位也有记录。在这个特殊的例子中,病变是在结肠中发现的,这是一个不寻常的位置,他们在内窥镜下通过夹和注射来治疗。总之,结肠diulafoy病变虽然罕见,但有可能引起危及生命的出血,应列入下消化道出血的鉴别诊断。
本文章由计算机程序翻译,如有差异,请以英文原文为准。
求助全文
约1分钟内获得全文 求助全文
来源期刊
Case Reports in Gastroenterology
Case Reports in Gastroenterology Medicine-Gastroenterology
CiteScore
1.10
自引率
0.00%
发文量
99
审稿时长
7 weeks
期刊介绍:
×
引用
GB/T 7714-2015
复制
MLA
复制
APA
复制
导出至
BibTeX EndNote RefMan NoteFirst NoteExpress
×
提示
您的信息不完整,为了账户安全,请先补充。
现在去补充
×
提示
您因"违规操作"
具体请查看互助需知
我知道了
×
提示
确定
请完成安全验证×
copy
已复制链接
快去分享给好友吧!
我知道了
右上角分享
点击右上角分享
0
联系我们:info@booksci.cn Book学术提供免费学术资源搜索服务,方便国内外学者检索中英文文献。致力于提供最便捷和优质的服务体验。 Copyright © 2023 布克学术 All rights reserved.
京ICP备2023020795号-1
ghs 京公网安备 11010802042870号
Book学术文献互助
Book学术文献互助群
群 号:604180095
Book学术官方微信