Radiological Findings for Distinguishing Between Xanthogranulomatous Cholecystitis and Gallbladder Cancer.

IF 1 4区 医学 Q3 MEDICINE, GENERAL & INTERNAL
Ahmet Bozer, Nagihan Durgun
{"title":"Radiological Findings for Distinguishing Between Xanthogranulomatous Cholecystitis and Gallbladder Cancer.","authors":"Ahmet Bozer, Nagihan Durgun","doi":"10.34172/aim.31710","DOIUrl":null,"url":null,"abstract":"<p><strong>Background: </strong>Xanthogranulomatous cholecystitis (XGC) is a rare, chronic gallbladder inflammation often mistaken for gallbladder cancer (GBC) on imaging. Accurate differentiation is vital for appropriate treatment. This study aims to enhance computed tomography (CT) scan diagnostic accuracy for distinguishing XGC from GBC.</p><p><strong>Methods: </strong>This retrospective study included patients diagnosed with XGC and GBC between 2014 and 2023. CT images of 70 patients (16 GBC, 54 XGC) were reviewed. Radiologists assessed CT parameters: gallbladder wall thickening, intramural hypoattenuating nodules, enhancement characteristics, mucosal line continuity, pericholecystic fat stranding, presence of stones, bile duct dilatation, hepatic invasion, invasion to adjacent structures, and lymph node size.</p><p><strong>Results: </strong>Among 70 patients, there were 38 males (54%) and 32 females (46%), with a median age of 62 years. GBC patients were significantly older (median age 72 years) compared to XGC patients (60 years) (<i>P</i>=0.001). Diffuse gallbladder wall thickening was more frequent in XGC (70%) than GBC (12.5%) (<i>P</i><0.001). Continuous mucosal lines and intramural hypoattenuating nodules were more common in XGC (<i>P</i><0.001 and <i>P</i>=0.010, respectively). Intrahepatic bile duct dilatation and invasion to adjacent structures were significantly linked with GBC (<i>P</i><0.001 and <i>P</i>=0.043). Lymph nodes with a short axis>8 mm indicated GBC (<i>P</i><0.001), with a cutoff providing 71.4% sensitivity and 84% specificity (AUC: 0.843, <i>P</i><0.001). CT showed 75% sensitivity (95% CI: 48-93%), 74% specificity (95% CI: 60%-85%), and 74% accuracy (95% CI: 62%-84%).</p><p><strong>Conclusion: </strong>CT imaging can effectively differentiate XGC from GBC, and larger studies can further improve diagnostic accuracy.</p>","PeriodicalId":55469,"journal":{"name":"Archives of Iranian Medicine","volume":"27 12","pages":"674-682"},"PeriodicalIF":1.0000,"publicationDate":"2024-12-01","publicationTypes":"Journal Article","fieldsOfStudy":null,"isOpenAccess":false,"openAccessPdf":"https://www.ncbi.nlm.nih.gov/pmc/articles/PMC11786208/pdf/","citationCount":"0","resultStr":null,"platform":"Semanticscholar","paperid":null,"PeriodicalName":"Archives of Iranian Medicine","FirstCategoryId":"3","ListUrlMain":"https://doi.org/10.34172/aim.31710","RegionNum":4,"RegionCategory":"医学","ArticlePicture":[],"TitleCN":null,"AbstractTextCN":null,"PMCID":null,"EPubDate":"","PubModel":"","JCR":"Q3","JCRName":"MEDICINE, GENERAL & INTERNAL","Score":null,"Total":0}
引用次数: 0

Abstract

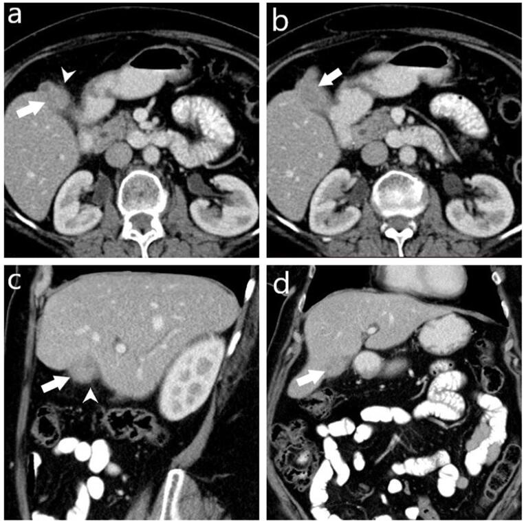
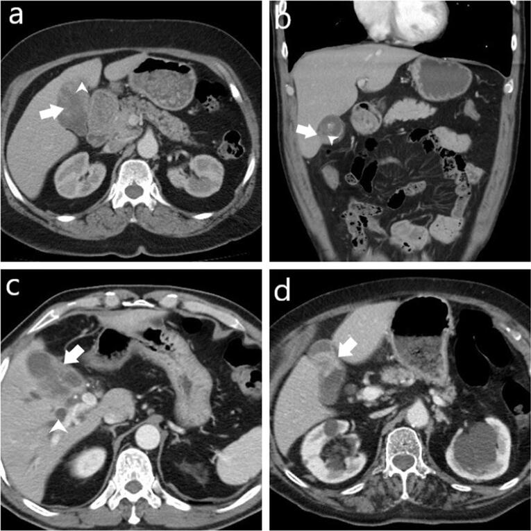
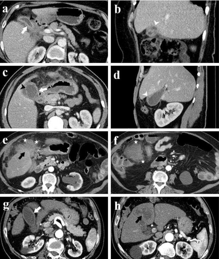
Background: Xanthogranulomatous cholecystitis (XGC) is a rare, chronic gallbladder inflammation often mistaken for gallbladder cancer (GBC) on imaging. Accurate differentiation is vital for appropriate treatment. This study aims to enhance computed tomography (CT) scan diagnostic accuracy for distinguishing XGC from GBC.

Methods: This retrospective study included patients diagnosed with XGC and GBC between 2014 and 2023. CT images of 70 patients (16 GBC, 54 XGC) were reviewed. Radiologists assessed CT parameters: gallbladder wall thickening, intramural hypoattenuating nodules, enhancement characteristics, mucosal line continuity, pericholecystic fat stranding, presence of stones, bile duct dilatation, hepatic invasion, invasion to adjacent structures, and lymph node size.

Results: Among 70 patients, there were 38 males (54%) and 32 females (46%), with a median age of 62 years. GBC patients were significantly older (median age 72 years) compared to XGC patients (60 years) (P=0.001). Diffuse gallbladder wall thickening was more frequent in XGC (70%) than GBC (12.5%) (P<0.001). Continuous mucosal lines and intramural hypoattenuating nodules were more common in XGC (P<0.001 and P=0.010, respectively). Intrahepatic bile duct dilatation and invasion to adjacent structures were significantly linked with GBC (P<0.001 and P=0.043). Lymph nodes with a short axis>8 mm indicated GBC (P<0.001), with a cutoff providing 71.4% sensitivity and 84% specificity (AUC: 0.843, P<0.001). CT showed 75% sensitivity (95% CI: 48-93%), 74% specificity (95% CI: 60%-85%), and 74% accuracy (95% CI: 62%-84%).

Conclusion: CT imaging can effectively differentiate XGC from GBC, and larger studies can further improve diagnostic accuracy.

Abstract Image

Abstract Image

Abstract Image

黄色肉芽肿性胆囊炎与胆囊癌鉴别的影像学表现。
背景:黄色肉芽肿性胆囊炎(XGC)是一种罕见的慢性胆囊炎症,影像学上常被误认为胆囊癌(GBC)。准确的鉴别对于适当的治疗至关重要。本研究旨在提高CT扫描诊断XGC与GBC的准确性。方法:回顾性研究纳入2014 - 2023年诊断为XGC和GBC的患者。本文回顾了70例患者的CT图像,其中GBC 16例,XGC 54例。放射科医生评估了CT参数:胆囊壁增厚、壁内低衰减结节、增强特征、粘膜线连续性、胆囊周围脂肪搁浅、结石的存在、胆管扩张、肝脏侵犯、对邻近结构的侵犯和淋巴结大小。结果:70例患者中,男性38例(54%),女性32例(46%),中位年龄62岁。GBC患者(中位年龄72岁)明显大于XGC患者(中位年龄60岁)(P=0.001)。弥漫性胆囊壁增厚在XGC(70%)比GBC(12.5%)更为常见(PPP=0.010)。肝内胆管扩张和侵犯邻近结构与GBC显著相关(PP=0.043)。结论:CT影像可有效鉴别XGC与GBC,更大规模的研究可进一步提高诊断准确率。
本文章由计算机程序翻译,如有差异,请以英文原文为准。
求助全文
约1分钟内获得全文 求助全文
来源期刊
Archives of Iranian Medicine
Archives of Iranian Medicine 医学-医学:内科
CiteScore
4.20
自引率
0.00%
发文量
67
审稿时长
3-8 weeks
期刊介绍: Aim and Scope: The Archives of Iranian Medicine (AIM) is a monthly peer-reviewed multidisciplinary medical publication. The journal welcomes contributions particularly relevant to the Middle-East region and publishes biomedical experiences and clinical investigations on prevalent diseases in the region as well as analyses of factors that may modulate the incidence, course, and management of diseases and pertinent medical problems. Manuscripts with didactic orientation and subjects exclusively of local interest will not be considered for publication.The 2016 Impact Factor of "Archives of Iranian Medicine" is 1.20.
×
引用
GB/T 7714-2015
复制
MLA
复制
APA
复制
导出至
BibTeX EndNote RefMan NoteFirst NoteExpress
×
提示
您的信息不完整,为了账户安全,请先补充。
现在去补充
×
提示
您因"违规操作"
具体请查看互助需知
我知道了
×
提示
确定
请完成安全验证×
copy
已复制链接
快去分享给好友吧!
我知道了
右上角分享
点击右上角分享
0
联系我们:info@booksci.cn Book学术提供免费学术资源搜索服务,方便国内外学者检索中英文文献。致力于提供最便捷和优质的服务体验。 Copyright © 2023 布克学术 All rights reserved.
京ICP备2023020795号-1
ghs 京公网安备 11010802042870号
Book学术文献互助
Book学术文献互助群
群 号:604180095
Book学术官方微信