A Rare Anatomical Variation: Intrathoracic Liver Caudate Lobe: A Case Report.

IF 1 4区 医学 Q3 MEDICINE, GENERAL & INTERNAL
Beyza Yaşar Akpınar, Hüseyin Umut Baştürk, Şeyma Başlılar, Yahya Baraç, Bengü Şaylan
{"title":"A Rare Anatomical Variation: Intrathoracic Liver Caudate Lobe: A Case Report.","authors":"Beyza Yaşar Akpınar, Hüseyin Umut Baştürk, Şeyma Başlılar, Yahya Baraç, Bengü Şaylan","doi":"10.34172/aim.31604","DOIUrl":null,"url":null,"abstract":"<p><p>We present a case with an intrathoracic caudate lobe in a 45-year-old woman who referred with a complaint of nonspecific chest pain. She denied previous history of trauma or surgery. Computed tomography (CT) pulmonary angiography showed a paravertebral, soft tissue mass which raised suspicion of a pleural tumor. In the coronal plane, the mass was protruding to the abdomen and had similar density with liver. Magnetic resonance imaging confirmed the diagnosis.</p>","PeriodicalId":55469,"journal":{"name":"Archives of Iranian Medicine","volume":"27 12","pages":"707-709"},"PeriodicalIF":1.0000,"publicationDate":"2024-12-01","publicationTypes":"Journal Article","fieldsOfStudy":null,"isOpenAccess":false,"openAccessPdf":"https://www.ncbi.nlm.nih.gov/pmc/articles/PMC11786212/pdf/","citationCount":"0","resultStr":null,"platform":"Semanticscholar","paperid":null,"PeriodicalName":"Archives of Iranian Medicine","FirstCategoryId":"3","ListUrlMain":"https://doi.org/10.34172/aim.31604","RegionNum":4,"RegionCategory":"医学","ArticlePicture":[],"TitleCN":null,"AbstractTextCN":null,"PMCID":null,"EPubDate":"","PubModel":"","JCR":"Q3","JCRName":"MEDICINE, GENERAL & INTERNAL","Score":null,"Total":0}
引用次数: 0

Abstract

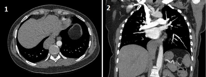
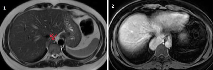
We present a case with an intrathoracic caudate lobe in a 45-year-old woman who referred with a complaint of nonspecific chest pain. She denied previous history of trauma or surgery. Computed tomography (CT) pulmonary angiography showed a paravertebral, soft tissue mass which raised suspicion of a pleural tumor. In the coronal plane, the mass was protruding to the abdomen and had similar density with liver. Magnetic resonance imaging confirmed the diagnosis.

Abstract Image

Abstract Image

一罕见解剖变异:胸内肝尾状叶1例报告。
我们提出一个病例与胸内尾状叶在一个45岁的妇女谁提到投诉非特异性胸痛。她否认有外伤或手术史。CT肺血管造影显示椎旁软组织肿块,怀疑为胸膜肿瘤。在冠状面,肿块向腹部突出,密度与肝脏相近。磁共振成像证实了诊断。
本文章由计算机程序翻译,如有差异,请以英文原文为准。
求助全文
约1分钟内获得全文 求助全文
来源期刊
Archives of Iranian Medicine
Archives of Iranian Medicine 医学-医学:内科
CiteScore
4.20
自引率
0.00%
发文量
67
审稿时长
3-8 weeks
期刊介绍: Aim and Scope: The Archives of Iranian Medicine (AIM) is a monthly peer-reviewed multidisciplinary medical publication. The journal welcomes contributions particularly relevant to the Middle-East region and publishes biomedical experiences and clinical investigations on prevalent diseases in the region as well as analyses of factors that may modulate the incidence, course, and management of diseases and pertinent medical problems. Manuscripts with didactic orientation and subjects exclusively of local interest will not be considered for publication.The 2016 Impact Factor of "Archives of Iranian Medicine" is 1.20.
×
引用
GB/T 7714-2015
复制
MLA
复制
APA
复制
导出至
BibTeX EndNote RefMan NoteFirst NoteExpress
×
提示
您的信息不完整,为了账户安全,请先补充。
现在去补充
×
提示
您因"违规操作"
具体请查看互助需知
我知道了
×
提示
确定
请完成安全验证×
copy
已复制链接
快去分享给好友吧!
我知道了
右上角分享
点击右上角分享
0
联系我们:info@booksci.cn Book学术提供免费学术资源搜索服务,方便国内外学者检索中英文文献。致力于提供最便捷和优质的服务体验。 Copyright © 2023 布克学术 All rights reserved.
京ICP备2023020795号-1
ghs 京公网安备 11010802042870号
Book学术文献互助
Book学术文献互助群
群 号:604180095
Book学术官方微信