Enhanced precision in stone localization and intraoral removal in sialolithiasis: the role of preoperative computer tomographic scanning in surgical planning.

IF 2.4 2区 医学 Q2 DENTISTRY, ORAL SURGERY & MEDICINE
Soo Yeon Jung, Mi Sun Chun, Yu Jin Go, Ju Hyun Yun, Han Su Kim
{"title":"Enhanced precision in stone localization and intraoral removal in sialolithiasis: the role of preoperative computer tomographic scanning in surgical planning.","authors":"Soo Yeon Jung, Mi Sun Chun, Yu Jin Go, Ju Hyun Yun, Han Su Kim","doi":"10.1186/s13005-024-00479-1","DOIUrl":null,"url":null,"abstract":"<p><strong>Background: </strong>The precise localization of stones within the submandibular duct is crucial for the successful intraoral removal in sialolithiasis. Customizing surgical approaches based on the stone's ductal location is imperative. Particularly challenging are stones beneath the lingual nerve, requiring a landmark-guided approach due to their non-palpable nature. This study aimed to comprehend stone positioning, location-specific characteristics, and develop suitable surgical approaches. We conducted a thorough analysis of numerous preoperative computed tomography (CT) scans for this purpose.</p><p><strong>Methods: </strong>We performed a retrospective review of the medical records of patients who underwent intraoral stone removal between 2006 and 2022. Two different surgical approaches were applied based on the stone location as determined by preoperative CT scans. The mediolingual approach was used for superficial stones, while the laterogingival approach was reserved for deeper stones. Patient demographics, sialolithiasis features, and postoperative complications were analyzed. T-test was performed to compare stone characteristics between different locations, and a receiver operating characteristic curve analysis was used to identify the critical size threshold for predicting stone location.</p><p><strong>Results: </strong>Medical records of 465 patients were reviewed. Out of 616 stones, 614 were successfully removed with two distinct surgical approaches guided by preoperative CT scans. Two patients reported retention, and 11 experienced postoperative tongue sensation changes. The hilum was the most common stone location, and deeper stones, approached laterolingually, were generally larger. Analysis identified a 4.25 mm width as the most sensitive and specific threshold for deep stones. Stone volume showed no statistically significant difference between smokers and non-smokers, alcohol consumers and non-consumer.</p><p><strong>Conclusion: </strong>The result of the study underscore the significance of precise stone localization and endorse the efficacy of landmark-guided surgical approaches in managing sialolithiasis.</p>","PeriodicalId":12994,"journal":{"name":"Head & Face Medicine","volume":"21 1","pages":"3"},"PeriodicalIF":2.4000,"publicationDate":"2025-01-31","publicationTypes":"Journal Article","fieldsOfStudy":null,"isOpenAccess":false,"openAccessPdf":"https://www.ncbi.nlm.nih.gov/pmc/articles/PMC11786450/pdf/","citationCount":"0","resultStr":null,"platform":"Semanticscholar","paperid":null,"PeriodicalName":"Head & Face Medicine","FirstCategoryId":"3","ListUrlMain":"https://doi.org/10.1186/s13005-024-00479-1","RegionNum":2,"RegionCategory":"医学","ArticlePicture":[],"TitleCN":null,"AbstractTextCN":null,"PMCID":null,"EPubDate":"","PubModel":"","JCR":"Q2","JCRName":"DENTISTRY, ORAL SURGERY & MEDICINE","Score":null,"Total":0}
引用次数: 0

Abstract

Background: The precise localization of stones within the submandibular duct is crucial for the successful intraoral removal in sialolithiasis. Customizing surgical approaches based on the stone's ductal location is imperative. Particularly challenging are stones beneath the lingual nerve, requiring a landmark-guided approach due to their non-palpable nature. This study aimed to comprehend stone positioning, location-specific characteristics, and develop suitable surgical approaches. We conducted a thorough analysis of numerous preoperative computed tomography (CT) scans for this purpose.

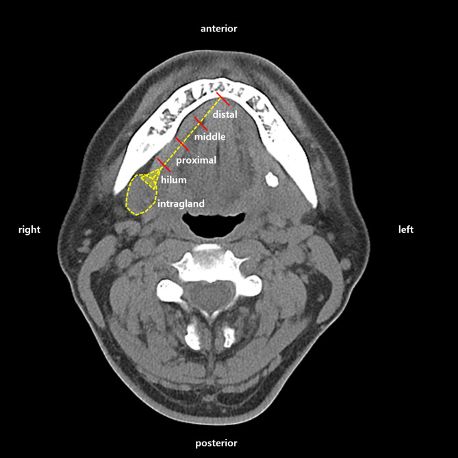
Methods: We performed a retrospective review of the medical records of patients who underwent intraoral stone removal between 2006 and 2022. Two different surgical approaches were applied based on the stone location as determined by preoperative CT scans. The mediolingual approach was used for superficial stones, while the laterogingival approach was reserved for deeper stones. Patient demographics, sialolithiasis features, and postoperative complications were analyzed. T-test was performed to compare stone characteristics between different locations, and a receiver operating characteristic curve analysis was used to identify the critical size threshold for predicting stone location.

Results: Medical records of 465 patients were reviewed. Out of 616 stones, 614 were successfully removed with two distinct surgical approaches guided by preoperative CT scans. Two patients reported retention, and 11 experienced postoperative tongue sensation changes. The hilum was the most common stone location, and deeper stones, approached laterolingually, were generally larger. Analysis identified a 4.25 mm width as the most sensitive and specific threshold for deep stones. Stone volume showed no statistically significant difference between smokers and non-smokers, alcohol consumers and non-consumer.

Conclusion: The result of the study underscore the significance of precise stone localization and endorse the efficacy of landmark-guided surgical approaches in managing sialolithiasis.

Abstract Image

Abstract Image

Abstract Image

提高涎石症结石定位和口内取出的精度:术前计算机断层扫描在手术计划中的作用。
背景:颌下腺管内结石的精确定位是涎石症口腔内清除成功的关键。根据结石的导管位置定制手术入路是必要的。尤其具有挑战性的是舌神经下的结石,由于其不可触及的性质,需要采用地标引导的方法。本研究旨在了解结石定位、位置特异性特征,并制定合适的手术入路。为此,我们进行了大量术前计算机断层扫描(CT)扫描的全面分析。方法:我们对2006年至2022年间接受口内结石取出术患者的医疗记录进行了回顾性分析。根据术前CT扫描确定的结石位置,采用两种不同的手术入路。中舌入路用于浅表结石,而侧根入路用于深部结石。分析患者人口统计学、涎石症特征和术后并发症。采用t检验比较不同位置的结石特征,并采用接收者工作特征曲线分析确定预测结石位置的临界尺寸阈值。结果:回顾了465例患者的病历。在616例结石中,614例在术前CT扫描指导下通过两种不同的手术方法成功切除。2例患者报告舌苔粘连,11例患者术后舌感改变。门部是最常见的结石位置,而较深的结石,靠近舌侧,通常较大。分析发现,4.25毫米的宽度是最敏感和最具体的深石阈值。吸烟者与非吸烟者、饮酒者与非饮酒者之间的结石量无统计学差异。结论:本研究结果强调了结石精确定位的重要性,支持了路标引导手术入路在治疗涎石症中的疗效。
本文章由计算机程序翻译,如有差异,请以英文原文为准。
求助全文
约1分钟内获得全文 求助全文
来源期刊
Head & Face Medicine
Head & Face Medicine DENTISTRY, ORAL SURGERY & MEDICINE-
CiteScore
4.70
自引率
3.30%
发文量
32
审稿时长
>12 weeks
期刊介绍: Head & Face Medicine is a multidisciplinary open access journal that publishes basic and clinical research concerning all aspects of cranial, facial and oral conditions. The journal covers all aspects of cranial, facial and oral diseases and their management. It has been designed as a multidisciplinary journal for clinicians and researchers involved in the diagnostic and therapeutic aspects of diseases which affect the human head and face. The journal is wide-ranging, covering the development, aetiology, epidemiology and therapy of head and face diseases to the basic science that underlies these diseases. Management of head and face diseases includes all aspects of surgical and non-surgical treatments including psychopharmacological therapies.
×
引用
GB/T 7714-2015
复制
MLA
复制
APA
复制
导出至
BibTeX EndNote RefMan NoteFirst NoteExpress
×
提示
您的信息不完整,为了账户安全,请先补充。
现在去补充
×
提示
您因"违规操作"
具体请查看互助需知
我知道了
×
提示
确定
请完成安全验证×
copy
已复制链接
快去分享给好友吧!
我知道了
右上角分享
点击右上角分享
0
联系我们:info@booksci.cn Book学术提供免费学术资源搜索服务,方便国内外学者检索中英文文献。致力于提供最便捷和优质的服务体验。 Copyright © 2023 布克学术 All rights reserved.
京ICP备2023020795号-1
ghs 京公网安备 11010802042870号
Book学术文献互助
Book学术文献互助群
群 号:604180095
Book学术官方微信