Melioidosis - An under-recognized dreaded disease in Southeast Asia.

IF 2.3 Q3 EMERGENCY MEDICINE
Turkish Journal of Emergency Medicine Pub Date : 2025-01-02 eCollection Date: 2025-01-01 DOI:10.4103/tjem.tjem_62_24
Anas Mohammed Muthanikkatt, Balamurugan Nathan, Amaravathi Uthayakumar, Anandhi Devendiran, Saravanan Muthu
{"title":"Melioidosis - An under-recognized dreaded disease in Southeast Asia.","authors":"Anas Mohammed Muthanikkatt, Balamurugan Nathan, Amaravathi Uthayakumar, Anandhi Devendiran, Saravanan Muthu","doi":"10.4103/tjem.tjem_62_24","DOIUrl":null,"url":null,"abstract":"<p><p>Melioidosis is a disease endemic to India but often goes unrecognized, leading to considerable illness and death. We present the case of a 31-year-old man who had a fever of unknown origin, abnormal renal and liver function tests, and negative tests for dengue, typhoid, leptospirosis, and scrub typhus. Imaging revealed multiple splenic infarcts. Initially suspected to be malaria due to its prevalence in South India, further investigation uncovered pneumonia along with several liver and splenic abscesses, raising the possibility of melioidosis. Blood culture eventually identified <i>Burkholderia pseudomallei</i>, confirming the diagnosis. As malaria cases decline in Southeast Asia, emergency physicians should consider melioidosis in their differential diagnosis of acute febrile illnesses, especially in endemic areas. Early detection and prompt antibiotic treatment are vital for managing this often under-recognized disease with a high fatality rate. Thus, melioidosis should be considered in patients with unexplained fever in endemic regions, as early diagnosis and intervention can be life-saving.</p>","PeriodicalId":46536,"journal":{"name":"Turkish Journal of Emergency Medicine","volume":"25 1","pages":"63-66"},"PeriodicalIF":2.3000,"publicationDate":"2025-01-02","publicationTypes":"Journal Article","fieldsOfStudy":null,"isOpenAccess":false,"openAccessPdf":"https://www.ncbi.nlm.nih.gov/pmc/articles/PMC11774432/pdf/","citationCount":"0","resultStr":null,"platform":"Semanticscholar","paperid":null,"PeriodicalName":"Turkish Journal of Emergency Medicine","FirstCategoryId":"1085","ListUrlMain":"https://doi.org/10.4103/tjem.tjem_62_24","RegionNum":0,"RegionCategory":null,"ArticlePicture":[],"TitleCN":null,"AbstractTextCN":null,"PMCID":null,"EPubDate":"2025/1/1 0:00:00","PubModel":"eCollection","JCR":"Q3","JCRName":"EMERGENCY MEDICINE","Score":null,"Total":0}
引用次数: 0

Abstract

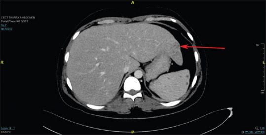
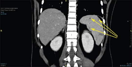
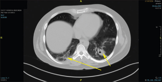
Melioidosis is a disease endemic to India but often goes unrecognized, leading to considerable illness and death. We present the case of a 31-year-old man who had a fever of unknown origin, abnormal renal and liver function tests, and negative tests for dengue, typhoid, leptospirosis, and scrub typhus. Imaging revealed multiple splenic infarcts. Initially suspected to be malaria due to its prevalence in South India, further investigation uncovered pneumonia along with several liver and splenic abscesses, raising the possibility of melioidosis. Blood culture eventually identified Burkholderia pseudomallei, confirming the diagnosis. As malaria cases decline in Southeast Asia, emergency physicians should consider melioidosis in their differential diagnosis of acute febrile illnesses, especially in endemic areas. Early detection and prompt antibiotic treatment are vital for managing this often under-recognized disease with a high fatality rate. Thus, melioidosis should be considered in patients with unexplained fever in endemic regions, as early diagnosis and intervention can be life-saving.

Abstract Image

Abstract Image

Abstract Image

类鼻疽——东南亚一种未被充分认识的可怕疾病。
类鼻疽是印度的一种地方病,但常常未被发现,导致大量疾病和死亡。我们报告一名31岁男子的病例,他有不明原因的发热,肾和肝功能检查异常,登革热、伤寒、钩端螺旋体病和恙虫病检测呈阴性。影像学显示多发脾梗死。由于在南印度流行,最初怀疑是疟疾,进一步调查发现肺炎以及几个肝和脾脓肿,提高了类鼻疽的可能性。血液培养最终鉴定为假玛利氏伯克氏菌,证实了诊断。随着东南亚疟疾病例的减少,急诊医生在诊断急性发热性疾病时应考虑类鼻疽病,特别是在流行地区。早期发现和及时的抗生素治疗对于控制这种往往未得到充分认识且死亡率高的疾病至关重要。因此,在流行地区出现不明原因发热的患者应考虑类鼻疽,因为早期诊断和干预可挽救生命。
本文章由计算机程序翻译,如有差异,请以英文原文为准。
求助全文
约1分钟内获得全文 求助全文
来源期刊
CiteScore
1.70
自引率
0.00%
发文量
30
审稿时长
22 weeks
期刊介绍: The Turkish Journal of Emergency Medicine (Turk J Emerg Med) is an International, peer-reviewed, open-access journal that publishes clinical and experimental trials, case reports, invited reviews, case images, letters to the Editor, and interesting research conducted in all fields of Emergency Medicine. The Journal is the official scientific publication of the Emergency Medicine Association of Turkey (EMAT) and is printed four times a year, in January, April, July and October. The language of the journal is English. The Journal is based on independent and unbiased double-blinded peer-reviewed principles. Only unpublished papers that are not under review for publication elsewhere can be submitted. The authors are responsible for the scientific content of the material to be published. The Turkish Journal of Emergency Medicine reserves the right to request any research materials on which the paper is based. The Editorial Board of the Turkish Journal of Emergency Medicine and the Publisher adheres to the principles of the International Council of Medical Journal Editors, the World Association of Medical Editors, the Council of Science Editors, the Committee on Publication Ethics, the US National Library of Medicine, the US Office of Research Integrity, the European Association of Science Editors, and the International Society of Managing and Technical Editors.
×
引用
GB/T 7714-2015
复制
MLA
复制
APA
复制
导出至
BibTeX EndNote RefMan NoteFirst NoteExpress
×
提示
您的信息不完整,为了账户安全,请先补充。
现在去补充
×
提示
您因"违规操作"
具体请查看互助需知
我知道了
×
提示
确定
请完成安全验证×
copy
已复制链接
快去分享给好友吧!
我知道了
右上角分享
点击右上角分享
0
联系我们:info@booksci.cn Book学术提供免费学术资源搜索服务,方便国内外学者检索中英文文献。致力于提供最便捷和优质的服务体验。 Copyright © 2023 布克学术 All rights reserved.
京ICP备2023020795号-1
ghs 京公网安备 11010802042870号
Book学术文献互助
Book学术文献互助群
群 号:604180095
Book学术官方微信