Lymphocytic Esophagitis: Navigating an Uncharted Territory.

IF 0.8 Q3 MEDICINE, GENERAL & INTERNAL
Ahmad Jradi, Kaline Maya Khoury, Karam Karam, Dr Ihab I El Hajj, Elias Fiani
{"title":"Lymphocytic Esophagitis: Navigating an Uncharted Territory.","authors":"Ahmad Jradi, Kaline Maya Khoury, Karam Karam, Dr Ihab I El Hajj, Elias Fiani","doi":"10.1177/23247096251313734","DOIUrl":null,"url":null,"abstract":"<p><p>Lymphocytic esophagitis (LE) is an uncommon subtype of esophagitis defined by persistent esophageal inflammation characterized by a high count of intraepithelial lymphocytes with scarce granulocytes. Although LE can present with atypical features such as chest pain, its clinical presentation can mimic that of gastroesophageal reflux disease or eosinophilic esophagitis, highlighting the importance of biopsy in diagnosing LE. Studies are still limited in understanding the pathophysiology behind this disease warranting further research. A 47-year-old female patient sought medical care with a chief complaint of recurrent substernal chest pain for the past year. An esophagogastroduodenoscopy was performed and showed patchy linear esophageal erosions and mucosal edema in the middle third of the esophagus with mild erythema. Biopsies revealed intraepithelial lymphocytosis with more than 40 lymphocytes per high-power field, corroborating a diagnosis of LE. Patient reported improvement after receiving high dose of proton pump inhibitor (PPI) on her first follow-up, advised to follow a low-acid diet and an annual endoscopy to monitor her response to treatment. Lymphocytic esophagitis often presents with symptoms that overlap with other esophageal diseases explaining the possible errors in underdiagnosing it as reason behind non-cardiac chest pain. This case plays an instrumental role in changing the way physicians translate unexplained chest pain, adding LE to their list of differential diagnosis as prompt detection slows us to start management with PPIs quicker and lessen the burden of symptoms on the patient. Standardized treatment approaches and further studies are required to clarify the connection between LE and non-cardiac chest discomfort.</p>","PeriodicalId":16198,"journal":{"name":"Journal of investigative medicine high impact case reports","volume":"13 ","pages":"23247096251313734"},"PeriodicalIF":0.8000,"publicationDate":"2025-01-01","publicationTypes":"Journal Article","fieldsOfStudy":null,"isOpenAccess":false,"openAccessPdf":"https://www.ncbi.nlm.nih.gov/pmc/articles/PMC11783483/pdf/","citationCount":"0","resultStr":null,"platform":"Semanticscholar","paperid":null,"PeriodicalName":"Journal of investigative medicine high impact case reports","FirstCategoryId":"1085","ListUrlMain":"https://doi.org/10.1177/23247096251313734","RegionNum":0,"RegionCategory":null,"ArticlePicture":[],"TitleCN":null,"AbstractTextCN":null,"PMCID":null,"EPubDate":"","PubModel":"","JCR":"Q3","JCRName":"MEDICINE, GENERAL & INTERNAL","Score":null,"Total":0}
引用次数: 0

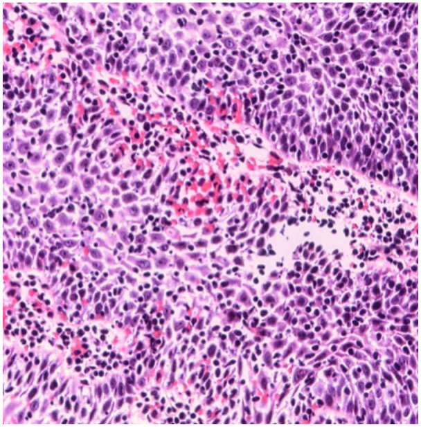
Abstract

Lymphocytic esophagitis (LE) is an uncommon subtype of esophagitis defined by persistent esophageal inflammation characterized by a high count of intraepithelial lymphocytes with scarce granulocytes. Although LE can present with atypical features such as chest pain, its clinical presentation can mimic that of gastroesophageal reflux disease or eosinophilic esophagitis, highlighting the importance of biopsy in diagnosing LE. Studies are still limited in understanding the pathophysiology behind this disease warranting further research. A 47-year-old female patient sought medical care with a chief complaint of recurrent substernal chest pain for the past year. An esophagogastroduodenoscopy was performed and showed patchy linear esophageal erosions and mucosal edema in the middle third of the esophagus with mild erythema. Biopsies revealed intraepithelial lymphocytosis with more than 40 lymphocytes per high-power field, corroborating a diagnosis of LE. Patient reported improvement after receiving high dose of proton pump inhibitor (PPI) on her first follow-up, advised to follow a low-acid diet and an annual endoscopy to monitor her response to treatment. Lymphocytic esophagitis often presents with symptoms that overlap with other esophageal diseases explaining the possible errors in underdiagnosing it as reason behind non-cardiac chest pain. This case plays an instrumental role in changing the way physicians translate unexplained chest pain, adding LE to their list of differential diagnosis as prompt detection slows us to start management with PPIs quicker and lessen the burden of symptoms on the patient. Standardized treatment approaches and further studies are required to clarify the connection between LE and non-cardiac chest discomfort.

Abstract Image

Abstract Image

Abstract Image

淋巴细胞性食管炎:探索未知领域。
淋巴细胞性食管炎(LE)是一种罕见的食管炎亚型,其特征是持续的食管炎症,其特征是上皮内淋巴细胞数量高,粒细胞稀少。虽然LE可表现为胸痛等非典型特征,但其临床表现可与胃食管反流病或嗜酸性粒细胞性食管炎相似,这凸显了LE活检诊断的重要性。在了解这种疾病背后的病理生理学方面的研究仍然有限,需要进一步的研究。一位47岁的女性病人以过去一年复发性胸骨下胸痛为主诉求医。行食管胃十二指肠镜检查,发现斑片状线状食管糜烂,食管中部三分之一处黏膜水肿伴轻度红斑。活检显示上皮内淋巴细胞增多,每高倍视场超过40个淋巴细胞,证实了LE的诊断。患者报告在第一次随访中接受高剂量质子泵抑制剂(PPI)后改善,建议遵循低酸饮食和每年一次内窥镜检查以监测她对治疗的反应。淋巴细胞性食管炎通常表现出与其他食管疾病重叠的症状,解释了误诊为非心源性胸痛的可能原因。该病例在改变医生解释不明原因胸痛的方式方面发挥了重要作用,将LE添加到他们的鉴别诊断列表中,因为及时发现可以使我们更快地开始使用PPIs治疗,并减轻患者的症状负担。需要标准化的治疗方法和进一步的研究来阐明LE与非心源性胸部不适之间的联系。
本文章由计算机程序翻译,如有差异,请以英文原文为准。
求助全文
约1分钟内获得全文 求助全文
来源期刊
CiteScore
1.90
自引率
0.00%
发文量
165
审稿时长
12 weeks
期刊介绍: The AFMR is committed to enhancing the training and career development of our members and to furthering its mission to facilitate the conduct of research to improve medical care. Case reports represent an important avenue for trainees (interns, residents, and fellows) and early-stage faculty to demonstrate productive, scholarly activity.
×
引用
GB/T 7714-2015
复制
MLA
复制
APA
复制
导出至
BibTeX EndNote RefMan NoteFirst NoteExpress
×
提示
您的信息不完整,为了账户安全,请先补充。
现在去补充
×
提示
您因"违规操作"
具体请查看互助需知
我知道了
×
提示
确定
请完成安全验证×
copy
已复制链接
快去分享给好友吧!
我知道了
右上角分享
点击右上角分享
0
联系我们:info@booksci.cn Book学术提供免费学术资源搜索服务,方便国内外学者检索中英文文献。致力于提供最便捷和优质的服务体验。 Copyright © 2023 布克学术 All rights reserved.
京ICP备2023020795号-1
ghs 京公网安备 11010802042870号
Book学术文献互助
Book学术文献互助群
群 号:604180095
Book学术官方微信