Diagnosing milk aspiration as a cause of death in sudden unexpected infant death: forensic insights from post-mortem analysis impacting criminal investigations.

IF 1.4 4区 医学 Q2 MEDICINE, LEGAL
Forensic Science, Medicine and Pathology Pub Date : 2025-09-01 Epub Date: 2025-01-31 DOI:10.1007/s12024-025-00958-0
Alessandro Mauro Tavone, Francesca Servadei, Francesca Cazzato, Erica Giacobbi, Rita Bonfiglio, Antonio Oliva, Gian Luca Marella
{"title":"Diagnosing milk aspiration as a cause of death in sudden unexpected infant death: forensic insights from post-mortem analysis impacting criminal investigations.","authors":"Alessandro Mauro Tavone, Francesca Servadei, Francesca Cazzato, Erica Giacobbi, Rita Bonfiglio, Antonio Oliva, Gian Luca Marella","doi":"10.1007/s12024-025-00958-0","DOIUrl":null,"url":null,"abstract":"<p><p>Sudden unexpected infant death (SUID) encompasses both explained and unexplained infant fatalities. When a comprehensive investigation yields inconclusive results, the case is classified as sudden infant death syndrome (SIDS). On the other hand, the most frequent non-SIDS diagnoses may be attributed to specific causes of death including a heterogeneous spectrum of conditions and disorders (e.g., trauma, asphyxia, suffocation, infection and metabolic diseases). Although rare, milk aspiration is a recognized cause of SUID that can lead to acute respiratory failure. This case report describes the death of a three-month-old infant found unresponsive in a traditional African baby carrier. Gross examination revealed no significant anomalies other than increased lung weight and the presence of milk-like material in the airways, alveoli, and stomach. Histological and ultrastructural analyses identified granular brownish material with birefringent globules in the lungs, consistent with aspirated milk. Immunohistochemical staining was positive for beta-lactoglobulin, confirming formula milk aspiration. This evidence was crucial in excluding maternal negligence as a cause of death, instead supporting an ante-mortem aspiration event resulting from regurgitation. This case highlights the diagnostic challenges associated with fatal milk aspiration and emphasizes the critical importance of a multidisciplinary approach. The integration of clinical history, autopsy findings, and advanced histopathological techniques is essential for accurately determining the cause of death and ensuring a sound legal assessment within the Courtroom setting.</p>","PeriodicalId":12449,"journal":{"name":"Forensic Science, Medicine and Pathology","volume":" ","pages":"1327-1333"},"PeriodicalIF":1.4000,"publicationDate":"2025-09-01","publicationTypes":"Journal Article","fieldsOfStudy":null,"isOpenAccess":false,"openAccessPdf":"https://www.ncbi.nlm.nih.gov/pmc/articles/PMC12491373/pdf/","citationCount":"0","resultStr":null,"platform":"Semanticscholar","paperid":null,"PeriodicalName":"Forensic Science, Medicine and Pathology","FirstCategoryId":"3","ListUrlMain":"https://doi.org/10.1007/s12024-025-00958-0","RegionNum":4,"RegionCategory":"医学","ArticlePicture":[],"TitleCN":null,"AbstractTextCN":null,"PMCID":null,"EPubDate":"2025/1/31 0:00:00","PubModel":"Epub","JCR":"Q2","JCRName":"MEDICINE, LEGAL","Score":null,"Total":0}
引用次数: 0

Abstract

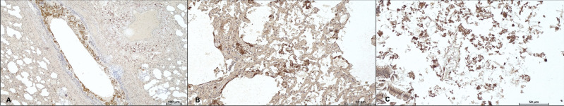
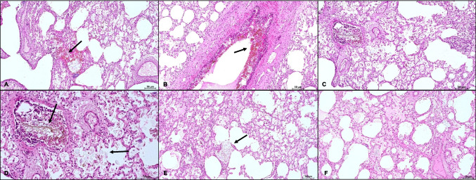
Sudden unexpected infant death (SUID) encompasses both explained and unexplained infant fatalities. When a comprehensive investigation yields inconclusive results, the case is classified as sudden infant death syndrome (SIDS). On the other hand, the most frequent non-SIDS diagnoses may be attributed to specific causes of death including a heterogeneous spectrum of conditions and disorders (e.g., trauma, asphyxia, suffocation, infection and metabolic diseases). Although rare, milk aspiration is a recognized cause of SUID that can lead to acute respiratory failure. This case report describes the death of a three-month-old infant found unresponsive in a traditional African baby carrier. Gross examination revealed no significant anomalies other than increased lung weight and the presence of milk-like material in the airways, alveoli, and stomach. Histological and ultrastructural analyses identified granular brownish material with birefringent globules in the lungs, consistent with aspirated milk. Immunohistochemical staining was positive for beta-lactoglobulin, confirming formula milk aspiration. This evidence was crucial in excluding maternal negligence as a cause of death, instead supporting an ante-mortem aspiration event resulting from regurgitation. This case highlights the diagnostic challenges associated with fatal milk aspiration and emphasizes the critical importance of a multidisciplinary approach. The integration of clinical history, autopsy findings, and advanced histopathological techniques is essential for accurately determining the cause of death and ensuring a sound legal assessment within the Courtroom setting.

Abstract Image

Abstract Image

Abstract Image

诊断吸奶为婴儿意外猝死的死因:影响刑事调查的验尸分析的法医见解。
婴儿意外猝死(SUID)包括可解释的和无法解释的婴儿死亡。当全面调查没有得出确定的结果时,该病例被归类为婴儿猝死综合征(SIDS)。另一方面,最常见的非小岛屿发展中国家诊断可归因于具体的死亡原因,包括各种各样的病症和失调(例如,创伤、窒息、窒息、感染和代谢疾病)。虽然罕见,吸乳是SUID的公认原因,可导致急性呼吸衰竭。本病例报告描述了一名三个月大的婴儿在传统的非洲婴儿背带中发现无反应死亡。大体检查除肺重量增加及气道、肺泡和胃内有乳样物质外,未见明显异常。组织学和超微结构分析发现肺部有褐色颗粒状物质,有双折射球,与吸乳一致。免疫组化染色-乳球蛋白阳性,证实误吸配方奶。这一证据对于排除产妇疏忽作为死亡原因,而不是支持由反流引起的死前误吸事件至关重要。本病例强调了与致命吸乳相关的诊断挑战,并强调了多学科方法的关键重要性。综合临床病史、尸检结果和先进的组织病理学技术对于准确确定死亡原因和确保在法庭环境下进行合理的法律评估至关重要。
本文章由计算机程序翻译,如有差异,请以英文原文为准。
求助全文
约1分钟内获得全文 求助全文
来源期刊
Forensic Science, Medicine and Pathology
Forensic Science, Medicine and Pathology MEDICINE, LEGAL-PATHOLOGY
CiteScore
3.90
自引率
5.60%
发文量
114
审稿时长
6-12 weeks
期刊介绍: Forensic Science, Medicine and Pathology encompasses all aspects of modern day forensics, equally applying to children or adults, either living or the deceased. This includes forensic science, medicine, nursing, and pathology, as well as toxicology, human identification, mass disasters/mass war graves, profiling, imaging, policing, wound assessment, sexual assault, anthropology, archeology, forensic search, entomology, botany, biology, veterinary pathology, and DNA. Forensic Science, Medicine, and Pathology presents a balance of forensic research and reviews from around the world to reflect modern advances through peer-reviewed papers, short communications, meeting proceedings and case reports.
×
引用
GB/T 7714-2015
复制
MLA
复制
APA
复制
导出至
BibTeX EndNote RefMan NoteFirst NoteExpress
×
提示
您的信息不完整,为了账户安全,请先补充。
现在去补充
×
提示
您因"违规操作"
具体请查看互助需知
我知道了
×
提示
确定
请完成安全验证×
copy
已复制链接
快去分享给好友吧!
我知道了
右上角分享
点击右上角分享
0
联系我们:info@booksci.cn Book学术提供免费学术资源搜索服务,方便国内外学者检索中英文文献。致力于提供最便捷和优质的服务体验。 Copyright © 2023 布克学术 All rights reserved.
京ICP备2023020795号-1
ghs 京公网安备 11010802042870号
Book学术文献互助
Book学术文献互助群
群 号:604180095
Book学术官方微信