Complex Presentation of Uterus Didelphys With Bilateral Leiomyomas: A Case Report.

IF 0.8 Q4 OBSTETRICS & GYNECOLOGY
Case Reports in Obstetrics and Gynecology Pub Date : 2025-01-21 eCollection Date: 2025-01-01 DOI:10.1155/crog/6231298
Assaye Mezgebu Wube, Yusuf Mohammed Yusuf, Biniyam Afework Abate, Meksud Shemsu Hussen, Yabets Tesfaye Kebede, Bekri Delil Mohammed
{"title":"Complex Presentation of Uterus Didelphys With Bilateral Leiomyomas: A Case Report.","authors":"Assaye Mezgebu Wube, Yusuf Mohammed Yusuf, Biniyam Afework Abate, Meksud Shemsu Hussen, Yabets Tesfaye Kebede, Bekri Delil Mohammed","doi":"10.1155/crog/6231298","DOIUrl":null,"url":null,"abstract":"<p><p>Müllerian duct anomalies and uterine leiomyomas represent distinctive facets of female reproductive health. While uterine leiomyomas are prevalent reproductive pathologies, the coexistence of Müllerian anomalies and leiomyomas is relatively uncommon. This case study examines the complex medical and surgical management of a woman who initially presented with chronic abdominal pain and swelling. Following evaluation, the patient received a diagnosis of an uncommon co-occurrence of congenital uterus didelphys and leiomyomas. Notably, during the surgical procedure, a rectovesical peritoneal band was identified. This case study seeks to broaden the scientific understanding of these subsets of women, offering insights into the complexities arising from a common diagnosis overlaying a rare condition.</p>","PeriodicalId":9610,"journal":{"name":"Case Reports in Obstetrics and Gynecology","volume":"2025 ","pages":"6231298"},"PeriodicalIF":0.8000,"publicationDate":"2025-01-21","publicationTypes":"Journal Article","fieldsOfStudy":null,"isOpenAccess":false,"openAccessPdf":"https://www.ncbi.nlm.nih.gov/pmc/articles/PMC11774576/pdf/","citationCount":"0","resultStr":null,"platform":"Semanticscholar","paperid":null,"PeriodicalName":"Case Reports in Obstetrics and Gynecology","FirstCategoryId":"1085","ListUrlMain":"https://doi.org/10.1155/crog/6231298","RegionNum":0,"RegionCategory":null,"ArticlePicture":[],"TitleCN":null,"AbstractTextCN":null,"PMCID":null,"EPubDate":"2025/1/1 0:00:00","PubModel":"eCollection","JCR":"Q4","JCRName":"OBSTETRICS & GYNECOLOGY","Score":null,"Total":0}
引用次数: 0

Abstract

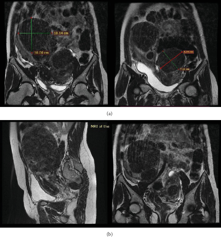
Müllerian duct anomalies and uterine leiomyomas represent distinctive facets of female reproductive health. While uterine leiomyomas are prevalent reproductive pathologies, the coexistence of Müllerian anomalies and leiomyomas is relatively uncommon. This case study examines the complex medical and surgical management of a woman who initially presented with chronic abdominal pain and swelling. Following evaluation, the patient received a diagnosis of an uncommon co-occurrence of congenital uterus didelphys and leiomyomas. Notably, during the surgical procedure, a rectovesical peritoneal band was identified. This case study seeks to broaden the scientific understanding of these subsets of women, offering insights into the complexities arising from a common diagnosis overlaying a rare condition.

Abstract Image

Abstract Image

Abstract Image

双侧子宫平滑肌瘤的复杂表现1例。
输卵管异常和子宫平滑肌瘤是女性生殖健康的不同方面。虽然子宫平滑肌瘤是常见的生殖疾病,但子宫内膜异常和子宫平滑肌瘤共存是相对罕见的。本病例研究探讨了复杂的医疗和手术管理的妇女谁最初提出了慢性腹痛和肿胀。在评估后,患者被诊断为罕见的先天性子宫凹陷和平滑肌瘤并存。值得注意的是,在手术过程中,发现了直肠膀胱腹膜带。本案例研究旨在扩大对这些女性亚群的科学理解,提供对罕见情况下常见诊断所产生的复杂性的见解。
本文章由计算机程序翻译,如有差异,请以英文原文为准。
求助全文
约1分钟内获得全文 求助全文
来源期刊
Case Reports in Obstetrics and Gynecology
Case Reports in Obstetrics and Gynecology Medicine-Obstetrics and Gynecology
CiteScore
1.30
自引率
0.00%
发文量
64
审稿时长
12 weeks
×
引用
GB/T 7714-2015
复制
MLA
复制
APA
复制
导出至
BibTeX EndNote RefMan NoteFirst NoteExpress
×
提示
您的信息不完整,为了账户安全,请先补充。
现在去补充
×
提示
您因"违规操作"
具体请查看互助需知
我知道了
×
提示
确定
请完成安全验证×
copy
已复制链接
快去分享给好友吧!
我知道了
右上角分享
点击右上角分享
0
联系我们:info@booksci.cn Book学术提供免费学术资源搜索服务,方便国内外学者检索中英文文献。致力于提供最便捷和优质的服务体验。 Copyright © 2023 布克学术 All rights reserved.
京ICP备2023020795号-1
ghs 京公网安备 11010802042870号
Book学术文献互助
Book学术文献互助群
群 号:604180095
Book学术官方微信