Advantages and challenges of using arterial spin labelling MRI to monitor cerebral blood flow in multi-centre clinical trials of neurodegenerative disease: Experience from the RADAR study

IF 2.8 Q3 CLINICAL NEUROLOGY
Lina Jarutyte , Jan Petr , Nicholas Turner , Patrick G. Kehoe , Henk-Jan Mutsaerts , David L. Thomas
{"title":"Advantages and challenges of using arterial spin labelling MRI to monitor cerebral blood flow in multi-centre clinical trials of neurodegenerative disease: Experience from the RADAR study","authors":"Lina Jarutyte ,&nbsp;Jan Petr ,&nbsp;Nicholas Turner ,&nbsp;Patrick G. Kehoe ,&nbsp;Henk-Jan Mutsaerts ,&nbsp;David L. Thomas","doi":"10.1016/j.cccb.2024.100376","DOIUrl":null,"url":null,"abstract":"<div><div>Arterial spin labelling (ASL) enables non-invasive quantification of regional brain perfusion using MRI. ASL was used in the Reducing Pathology in Alzheimer's Disease through Angiotensin TaRgeting (RADAR) multi-centre trial to pilot the assessment of the effects of the anti-hypertension drug losartan on cerebral blood flow (CBF). In the multi-centre setting, disparities in ASL implementation on scanners from different manufacturers lead to inherent differences in measured CBF and its associated parameters (e.g. spatial coefficient of variation (sCoV) of CBF, a proxy of arterial arrival times). In addition, differences in ASL acquisition parameter settings can also affect the measured quantitative perfusion values. In this study, we used data from the RADAR cohort as a case study to evaluate the site-dependent systematic differences of CBF and sCoV, and show that variations in the readout module (2D or 3D) and the post-labelling delay acquisition parameter introduced artifactual group differences. When accounting for this effect in data analysis, we show that it is still possible to combine ASL data across sites to observe the expected relationships between grey matter CBF and cognitive scores. In summary, ASL can provide useful information relating to CBF difference in multi-centre therapeutic trials, but care must be taken in data analysis to account for the inevitable inter-site differences in scanner type and acquisition protocol.</div></div>","PeriodicalId":72549,"journal":{"name":"Cerebral circulation - cognition and behavior","volume":"8 ","pages":"Article 100376"},"PeriodicalIF":2.8000,"publicationDate":"2025-01-01","publicationTypes":"Journal Article","fieldsOfStudy":null,"isOpenAccess":false,"openAccessPdf":"https://www.ncbi.nlm.nih.gov/pmc/articles/PMC11773049/pdf/","citationCount":"0","resultStr":null,"platform":"Semanticscholar","paperid":null,"PeriodicalName":"Cerebral circulation - cognition and behavior","FirstCategoryId":"1085","ListUrlMain":"https://www.sciencedirect.com/science/article/pii/S2666245024001776","RegionNum":0,"RegionCategory":null,"ArticlePicture":[],"TitleCN":null,"AbstractTextCN":null,"PMCID":null,"EPubDate":"","PubModel":"","JCR":"Q3","JCRName":"CLINICAL NEUROLOGY","Score":null,"Total":0}
引用次数: 0

Abstract

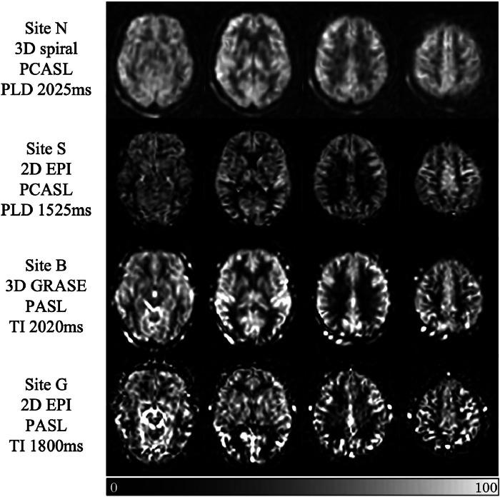
Arterial spin labelling (ASL) enables non-invasive quantification of regional brain perfusion using MRI. ASL was used in the Reducing Pathology in Alzheimer's Disease through Angiotensin TaRgeting (RADAR) multi-centre trial to pilot the assessment of the effects of the anti-hypertension drug losartan on cerebral blood flow (CBF). In the multi-centre setting, disparities in ASL implementation on scanners from different manufacturers lead to inherent differences in measured CBF and its associated parameters (e.g. spatial coefficient of variation (sCoV) of CBF, a proxy of arterial arrival times). In addition, differences in ASL acquisition parameter settings can also affect the measured quantitative perfusion values. In this study, we used data from the RADAR cohort as a case study to evaluate the site-dependent systematic differences of CBF and sCoV, and show that variations in the readout module (2D or 3D) and the post-labelling delay acquisition parameter introduced artifactual group differences. When accounting for this effect in data analysis, we show that it is still possible to combine ASL data across sites to observe the expected relationships between grey matter CBF and cognitive scores. In summary, ASL can provide useful information relating to CBF difference in multi-centre therapeutic trials, but care must be taken in data analysis to account for the inevitable inter-site differences in scanner type and acquisition protocol.

Abstract Image

Abstract Image

Abstract Image

在神经退行性疾病的多中心临床试验中使用动脉自旋标记MRI监测脑血流量的优势和挑战:来自RADAR研究的经验
动脉自旋标记(ASL)可以使用MRI对区域脑灌注进行无创量化。ASL被用于通过血管紧张素靶向(RADAR)减少阿尔茨海默病的病理(reduction Pathology in Alzheimer's Disease)多中心试验,以试点评估抗高血压药物氯沙坦对脑血流量(CBF)的影响。在多中心环境下,不同制造商扫描仪的ASL实施差异导致测量的CBF及其相关参数(例如CBF的空间变异系数(sCoV),动脉到达时间的代理)存在内在差异。此外,ASL采集参数设置的差异也会影响测量的定量灌注值。在这项研究中,我们使用RADAR队列的数据作为案例研究来评估CBF和sCoV的位点依赖性系统差异,并表明读出模块(2D或3D)和标记后延迟获取参数的变化引入了人工组差异。当在数据分析中考虑到这种影响时,我们表明仍然有可能将跨站点的ASL数据结合起来,以观察灰质CBF与认知评分之间的预期关系。总之,ASL可以在多中心治疗试验中提供与CBF差异相关的有用信息,但在数据分析中必须小心,以解释扫描仪类型和获取方案中不可避免的位点间差异。
本文章由计算机程序翻译,如有差异,请以英文原文为准。
求助全文
约1分钟内获得全文 求助全文
来源期刊
Cerebral circulation - cognition and behavior
Cerebral circulation - cognition and behavior Neurology, Clinical Neurology
CiteScore
2.00
自引率
0.00%
发文量
0
审稿时长
14 weeks
×
引用
GB/T 7714-2015
复制
MLA
复制
APA
复制
导出至
BibTeX EndNote RefMan NoteFirst NoteExpress
×
提示
您的信息不完整,为了账户安全,请先补充。
现在去补充
×
提示
您因"违规操作"
具体请查看互助需知
我知道了
×
提示
确定
请完成安全验证×
copy
已复制链接
快去分享给好友吧!
我知道了
右上角分享
点击右上角分享
0
联系我们:info@booksci.cn Book学术提供免费学术资源搜索服务,方便国内外学者检索中英文文献。致力于提供最便捷和优质的服务体验。 Copyright © 2023 布克学术 All rights reserved.
京ICP备2023020795号-1
ghs 京公网安备 11010802042870号
Book学术文献互助
Book学术文献互助群
群 号:604180095
Book学术官方微信