Prenatal exposure to nitrate alters uterine morphology and gene expression in adult female F1 generation rats.

IF 2.3 4区 医学 Q4 ENDOCRINOLOGY & METABOLISM
Archives of Endocrinology Metabolism Pub Date : 2024-11-06 eCollection Date: 2024-01-01 DOI:10.20945/2359-4292-2024-0085
André Gilberto Cassiani, Thiago Pinheiro Arrais Aloia, Érica Kássia Sousa-Vidal, Sérgio Podgaec, Carla de Azevedo Piccinato, Caroline Serrano-Nascimento
{"title":"Prenatal exposure to nitrate alters uterine morphology and gene expression in adult female F1 generation rats.","authors":"André Gilberto Cassiani, Thiago Pinheiro Arrais Aloia, Érica Kássia Sousa-Vidal, Sérgio Podgaec, Carla de Azevedo Piccinato, Caroline Serrano-Nascimento","doi":"10.20945/2359-4292-2024-0085","DOIUrl":null,"url":null,"abstract":"<p><strong>Objective: </strong>Nitrate is ubiquitously found in the environment and is one of the main components of nitrogen fertilizers. Previous studies have shown that nitrate disrupts the reproductive system in aquatic animals, but no study has evaluated the impact of nitrate exposure on the uterus in mammals. This study aimed to evaluate the impact of maternal exposure to nitrate during the prenatal period on uterine morphology and gene expression in adult female F1 rats.</p><p><strong>Materials and methods: </strong>Pregnant Wistar rats were either treated with sodium nitrate 20 mg/L or 50 mg/L dissolved in drinking water from the first day of pregnancy until the birth of the offspring or were left untreated. On postnatal day 90, the uteri of female offspring rats were collected for histological and gene expression analyses. Morphometric analyses of the uterine photomicrographs were performed to determine the thickness of the layers of the uterine wall (endometrium, myometrium, and perimetrium) and the number of endometrial glands.</p><p><strong>Results: </strong>The highest nitrate dose increased the myometrial thickness of the exposed female rats. Treatment with both nitrate doses reduced the number of endometrial glands compared with no treatment. Additionally, nitrate treatment significantly increased the expression of estrogen receptors and reduced the expression of progesterone receptors in the uterus.</p><p><strong>Conclusion: </strong>Our results strongly suggest that prenatal exposure to nitrate programs gene expression and alters the uterine morphology in female F1 rats, potentially increasing their susceptibility to developing uterine diseases during adulthood.</p>","PeriodicalId":54303,"journal":{"name":"Archives of Endocrinology Metabolism","volume":"68 Spec","pages":"e240085"},"PeriodicalIF":2.3000,"publicationDate":"2024-11-06","publicationTypes":"Journal Article","fieldsOfStudy":null,"isOpenAccess":false,"openAccessPdf":"https://www.ncbi.nlm.nih.gov/pmc/articles/PMC11771761/pdf/","citationCount":"0","resultStr":null,"platform":"Semanticscholar","paperid":null,"PeriodicalName":"Archives of Endocrinology Metabolism","FirstCategoryId":"3","ListUrlMain":"https://doi.org/10.20945/2359-4292-2024-0085","RegionNum":4,"RegionCategory":"医学","ArticlePicture":[],"TitleCN":null,"AbstractTextCN":null,"PMCID":null,"EPubDate":"2024/1/1 0:00:00","PubModel":"eCollection","JCR":"Q4","JCRName":"ENDOCRINOLOGY & METABOLISM","Score":null,"Total":0}
引用次数: 0

Abstract

Objective: Nitrate is ubiquitously found in the environment and is one of the main components of nitrogen fertilizers. Previous studies have shown that nitrate disrupts the reproductive system in aquatic animals, but no study has evaluated the impact of nitrate exposure on the uterus in mammals. This study aimed to evaluate the impact of maternal exposure to nitrate during the prenatal period on uterine morphology and gene expression in adult female F1 rats.

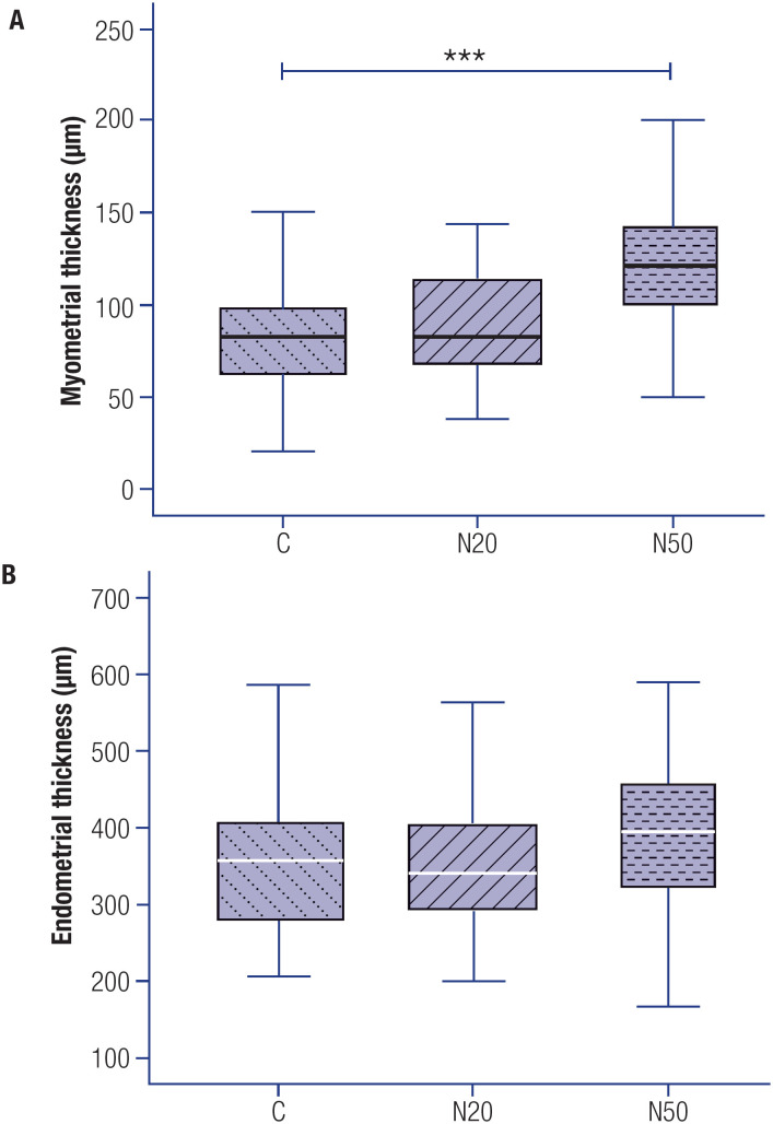
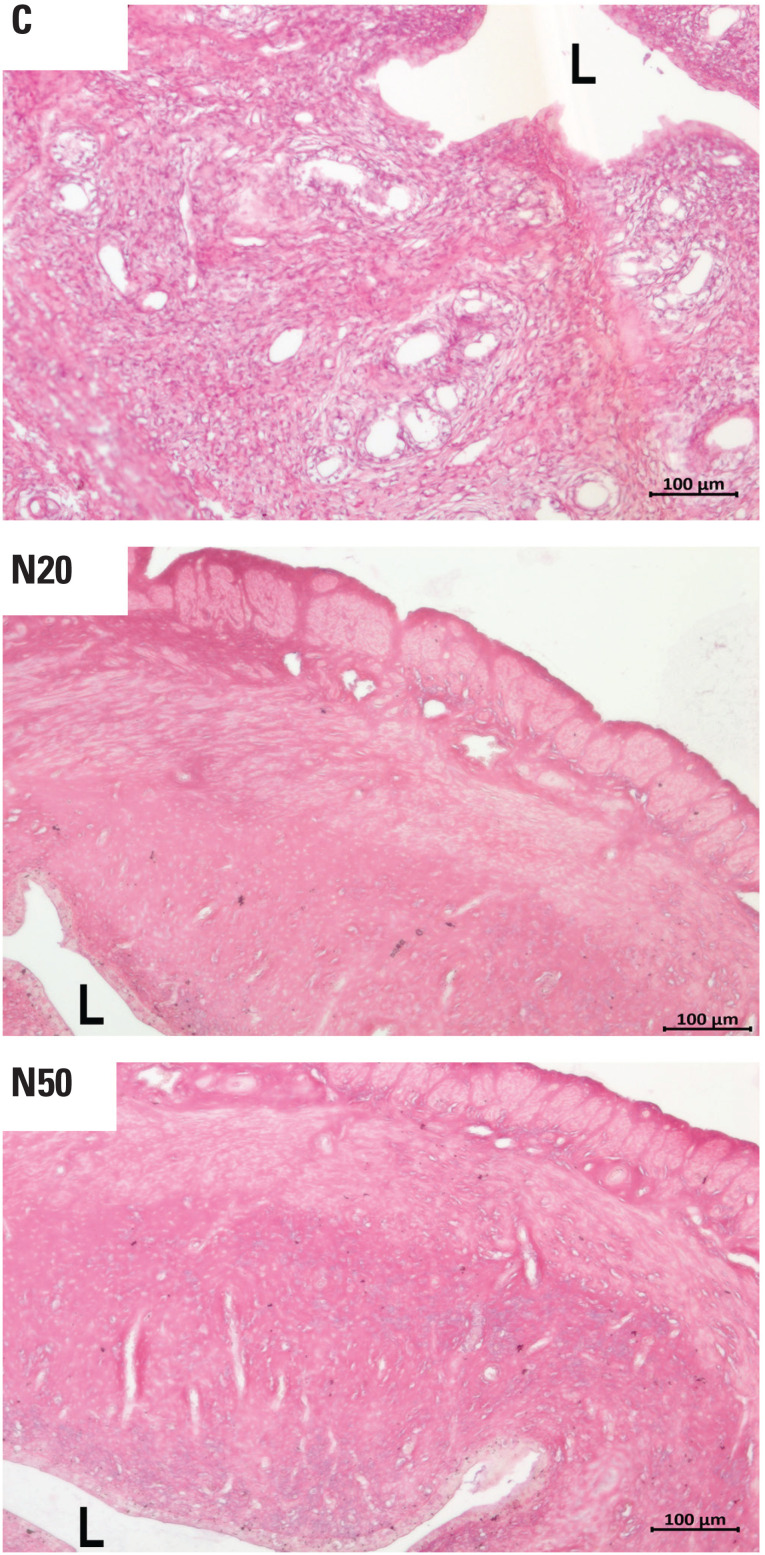
Materials and methods: Pregnant Wistar rats were either treated with sodium nitrate 20 mg/L or 50 mg/L dissolved in drinking water from the first day of pregnancy until the birth of the offspring or were left untreated. On postnatal day 90, the uteri of female offspring rats were collected for histological and gene expression analyses. Morphometric analyses of the uterine photomicrographs were performed to determine the thickness of the layers of the uterine wall (endometrium, myometrium, and perimetrium) and the number of endometrial glands.

Results: The highest nitrate dose increased the myometrial thickness of the exposed female rats. Treatment with both nitrate doses reduced the number of endometrial glands compared with no treatment. Additionally, nitrate treatment significantly increased the expression of estrogen receptors and reduced the expression of progesterone receptors in the uterus.

Conclusion: Our results strongly suggest that prenatal exposure to nitrate programs gene expression and alters the uterine morphology in female F1 rats, potentially increasing their susceptibility to developing uterine diseases during adulthood.

Abstract Image

Abstract Image

Abstract Image

产前暴露于硝酸盐会改变成年雌性F1代大鼠的子宫形态和基因表达。
目的:硝酸盐在环境中普遍存在,是氮肥的主要成分之一。以前的研究表明,硝酸盐会破坏水生动物的生殖系统,但没有研究评估硝酸盐暴露对哺乳动物子宫的影响。本研究旨在探讨孕期母体接触硝酸盐对成年雌性F1大鼠子宫形态和基因表达的影响。材料与方法:妊娠Wistar大鼠从妊娠第一天起至子代出生,分别给予20 mg/L或50 mg/L饮用水中溶解的硝酸钠处理或不处理。于产后90天采集雌性子代大鼠子宫进行组织学和基因表达分析。对子宫显微照片进行形态计量学分析,以确定子宫壁层(子宫内膜、子宫肌层和子宫周膜)的厚度和子宫内膜腺体的数量。结果:硝酸盐最高剂量使雌性大鼠肌层厚度增加。与不治疗相比,两种剂量的硝酸盐治疗都减少了子宫内膜腺的数量。此外,硝酸盐处理显著增加了子宫内雌激素受体的表达,降低了孕激素受体的表达。结论:我们的研究结果强烈提示,产前暴露于硝酸盐会改变雌性F1大鼠的基因表达和子宫形态,可能增加其成年后发生子宫疾病的易感性。
本文章由计算机程序翻译,如有差异,请以英文原文为准。
求助全文
约1分钟内获得全文 求助全文
来源期刊
Archives of Endocrinology Metabolism
Archives of Endocrinology Metabolism Medicine-Endocrinology, Diabetes and Metabolism
CiteScore
2.90
自引率
5.90%
发文量
107
审稿时长
7 weeks
期刊介绍: The Archives of Endocrinology and Metabolism - AE&M – is the official journal of the Brazilian Society of Endocrinology and Metabolism - SBEM, which is affiliated with the Brazilian Medical Association. Edited since 1951, the AE&M aims at publishing articles on scientific themes in the basic translational and clinical area of Endocrinology and Metabolism. The printed version AE&M is published in 6 issues/year. The full electronic issue is open access in the SciELO - Scientific Electronic Library Online e at the AE&M site: www.aem-sbem.com. From volume 59 on, the name was changed to Archives of Endocrinology and Metabolism, and it became mandatory for manuscripts to be submitted in English for the online issue. However, for the printed issue it is still optional for the articles to be sent in English or Portuguese. The journal is published six times a year, with one issue every two months.
×
引用
GB/T 7714-2015
复制
MLA
复制
APA
复制
导出至
BibTeX EndNote RefMan NoteFirst NoteExpress
×
提示
您的信息不完整,为了账户安全,请先补充。
现在去补充
×
提示
您因"违规操作"
具体请查看互助需知
我知道了
×
提示
确定
请完成安全验证×
copy
已复制链接
快去分享给好友吧!
我知道了
右上角分享
点击右上角分享
0
联系我们:info@booksci.cn Book学术提供免费学术资源搜索服务,方便国内外学者检索中英文文献。致力于提供最便捷和优质的服务体验。 Copyright © 2023 布克学术 All rights reserved.
京ICP备2023020795号-1
ghs 京公网安备 11010802042870号
Book学术文献互助
Book学术文献互助群
群 号:604180095
Book学术官方微信