Performance of Extracellular Vesicles From Leishmania (Leishmania) infantum for Serological Diagnosis of Human and Canine Visceral Leishmaniasis.

IF 1.8 Q3 PARASITOLOGY
Journal of Parasitology Research Pub Date : 2025-01-21 eCollection Date: 2025-01-01 DOI:10.1155/japr/8355886
Allecineia Bispo da Cruz, Francieli Marinho Carneiro, Noemi Nosomi Taniwaki, Gislene Mitsue Namiyama, Débora Oliveira Dos Santos, Katia Gomes Castellão, Isabelle Martins Ribeiro Ferreira, Roberto Mitsuyoshi Hiramoto, Vera Lucia Pereira-Chioccola
{"title":"Performance of Extracellular Vesicles From <i>Leishmania</i> (<i>Leishmania</i>) <i>infantum</i> for Serological Diagnosis of Human and Canine Visceral Leishmaniasis.","authors":"Allecineia Bispo da Cruz, Francieli Marinho Carneiro, Noemi Nosomi Taniwaki, Gislene Mitsue Namiyama, Débora Oliveira Dos Santos, Katia Gomes Castellão, Isabelle Martins Ribeiro Ferreira, Roberto Mitsuyoshi Hiramoto, Vera Lucia Pereira-Chioccola","doi":"10.1155/japr/8355886","DOIUrl":null,"url":null,"abstract":"<p><p>Visceral leishmaniasis (VL) is a zoonotic disease in which dogs are the main reservoirs. Until now, the serological tests do not present satisfactory sensitivity for diagnosis of these hosts. One of the functions of extracellular vesicles (EVs) is related to immunological host response. Here, we evaluated the ability of EVs released by <i>Leishmania (Leishmania) infantum</i> promastigotes (Leish-EVs) to be source of antigens for use in serological diagnosis for human visceral leishmaniasis (HumVL) and canine visceral leishmaniasis (CanVL). A total of 300 sera were tested. The 155 human sera were divided into 4 groups and 145 canine sera into 3 groups. In human sera, Leish-EVs were reactive in 73/74 sera from patients with VL (Hum-VL) with 98.64% sensitivity. The 26 sera from healthy individuals (NH) and 27 from individuals with asymptomatic toxoplasmosis (ATx) were nonreagent (100% specificity). Leish-EVs-ELISA had cross-reactivity or inconclusive results in 13.5% of sera from Chagas disease patients (CD). In canine sera, Leish-EVs were reactive in 60/63 sera from dogs with CanVL (Can-VL) with 95.24% sensitivity. Leish-EVs were nonreactive in sera from 57 dogs without Can-VL (NC) and 25 with other infections (OIs) with 100% specificity. Hum-VL produced more IgG1 against Leish-EVs than IgG2, IgG3, and IgG4. Can-VL produced more IgG2 against Leish-EVs than IgG1. In conclusion, this study provides evidence that Leish-EVs released by <i>L. (L.) infantum</i> when used as antigen in ELISA identified the host antibodies. The methodology was effective for serological diagnosis of VL, since results exhibited good sensitivity and specificity for human and canine sera.</p>","PeriodicalId":16662,"journal":{"name":"Journal of Parasitology Research","volume":"2025 ","pages":"8355886"},"PeriodicalIF":1.8000,"publicationDate":"2025-01-21","publicationTypes":"Journal Article","fieldsOfStudy":null,"isOpenAccess":false,"openAccessPdf":"https://www.ncbi.nlm.nih.gov/pmc/articles/PMC11774571/pdf/","citationCount":"0","resultStr":null,"platform":"Semanticscholar","paperid":null,"PeriodicalName":"Journal of Parasitology Research","FirstCategoryId":"1085","ListUrlMain":"https://doi.org/10.1155/japr/8355886","RegionNum":0,"RegionCategory":null,"ArticlePicture":[],"TitleCN":null,"AbstractTextCN":null,"PMCID":null,"EPubDate":"2025/1/1 0:00:00","PubModel":"eCollection","JCR":"Q3","JCRName":"PARASITOLOGY","Score":null,"Total":0}
引用次数: 0

Abstract

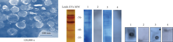
Visceral leishmaniasis (VL) is a zoonotic disease in which dogs are the main reservoirs. Until now, the serological tests do not present satisfactory sensitivity for diagnosis of these hosts. One of the functions of extracellular vesicles (EVs) is related to immunological host response. Here, we evaluated the ability of EVs released by Leishmania (Leishmania) infantum promastigotes (Leish-EVs) to be source of antigens for use in serological diagnosis for human visceral leishmaniasis (HumVL) and canine visceral leishmaniasis (CanVL). A total of 300 sera were tested. The 155 human sera were divided into 4 groups and 145 canine sera into 3 groups. In human sera, Leish-EVs were reactive in 73/74 sera from patients with VL (Hum-VL) with 98.64% sensitivity. The 26 sera from healthy individuals (NH) and 27 from individuals with asymptomatic toxoplasmosis (ATx) were nonreagent (100% specificity). Leish-EVs-ELISA had cross-reactivity or inconclusive results in 13.5% of sera from Chagas disease patients (CD). In canine sera, Leish-EVs were reactive in 60/63 sera from dogs with CanVL (Can-VL) with 95.24% sensitivity. Leish-EVs were nonreactive in sera from 57 dogs without Can-VL (NC) and 25 with other infections (OIs) with 100% specificity. Hum-VL produced more IgG1 against Leish-EVs than IgG2, IgG3, and IgG4. Can-VL produced more IgG2 against Leish-EVs than IgG1. In conclusion, this study provides evidence that Leish-EVs released by L. (L.) infantum when used as antigen in ELISA identified the host antibodies. The methodology was effective for serological diagnosis of VL, since results exhibited good sensitivity and specificity for human and canine sera.

Abstract Image

Abstract Image

Abstract Image

婴儿利什曼原虫(利什曼原虫)细胞外囊泡性能对人和犬内脏利什曼病的血清学诊断。
内脏利什曼病(VL)是一种人畜共患疾病,其中狗是主要宿主。到目前为止,血清学检测对这些宿主的诊断还没有令人满意的敏感性。细胞外囊泡(EVs)的功能之一与宿主的免疫应答有关。在这里,我们评估了利什曼原虫(利什曼原虫)婴儿promastigotes(利什曼原虫)释放的EVs作为抗原来源的能力,用于人类内脏利什曼病(HumVL)和犬内脏利什曼病(CanVL)的血清学诊断。共检测了300份血清。155份人血清分为4组,145份犬血清分为3组。在人血清中,Leish-EVs在VL (Hum-VL)患者的73/74血清中有反应,敏感性为98.64%。健康个体(NH) 26份血清和无症状弓形虫病(ATx)个体(ATx) 27份血清为非试剂(100%特异性)。leish - ev - elisa在13.5%的恰加斯病(CD)患者血清中具有交叉反应性或不确定结果。在犬血清中,Leish-EVs在60/63的canil (Can-VL)犬血清中有反应,敏感性为95.24%。57只无Can-VL (NC)犬和25只其他感染(OIs)犬血清中Leish-EVs无反应,特异性为100%。与IgG2、IgG3和IgG4相比,Hum-VL对leish - ev产生更多的IgG1。Can-VL对Leish-EVs产生的IgG2多于IgG1。综上所述,本研究提供了Leish-EVs作为抗原在ELISA中鉴定宿主抗体的证据。该方法对VL的血清学诊断是有效的,因为结果对人类和犬血清具有良好的敏感性和特异性。
本文章由计算机程序翻译,如有差异,请以英文原文为准。
求助全文
约1分钟内获得全文 求助全文
来源期刊
Journal of Parasitology Research
Journal of Parasitology Research Medicine-Infectious Diseases
CiteScore
3.50
自引率
9.10%
发文量
49
审稿时长
13 weeks
期刊介绍: Journal of Parasitology Research is a peer-reviewed, Open Access journal that publishes original research articles, review articles, and clinical studies in all areas of basic and applied parasitology. Articles covering host-parasite relationships and parasitic diseases will be considered, as well as studies on disease vectors. Articles highlighting social and economic issues around the impact of parasites are also encouraged. As an international, Open Access publication, Journal of Parasitology Research aims to foster learning and collaboration between countries and communities.
×
引用
GB/T 7714-2015
复制
MLA
复制
APA
复制
导出至
BibTeX EndNote RefMan NoteFirst NoteExpress
×
提示
您的信息不完整,为了账户安全,请先补充。
现在去补充
×
提示
您因"违规操作"
具体请查看互助需知
我知道了
×
提示
确定
请完成安全验证×
copy
已复制链接
快去分享给好友吧!
我知道了
右上角分享
点击右上角分享
0
联系我们:info@booksci.cn Book学术提供免费学术资源搜索服务,方便国内外学者检索中英文文献。致力于提供最便捷和优质的服务体验。 Copyright © 2023 布克学术 All rights reserved.
京ICP备2023020795号-1
ghs 京公网安备 11010802042870号
Book学术文献互助
Book学术文献互助群
群 号:604180095
Book学术官方微信