Combining Low-energy Images in Dual-energy Spectral CT With Deep Learning Image Reconstruction Algorithm to Improve Inferior Vena Cava Image Quality.

IF 1.3 4区 医学 Q4 RADIOLOGY, NUCLEAR MEDICINE & MEDICAL IMAGING
Wei Wei, Yongjun Jia, Ming Li, Nan Yu, Shan Dang, Jian Geng, Dong Han, Yong Yu, Yunsong Zheng, Lihua Fan
{"title":"Combining Low-energy Images in Dual-energy Spectral CT With Deep Learning Image Reconstruction Algorithm to Improve Inferior Vena Cava Image Quality.","authors":"Wei Wei, Yongjun Jia, Ming Li, Nan Yu, Shan Dang, Jian Geng, Dong Han, Yong Yu, Yunsong Zheng, Lihua Fan","doi":"10.1097/RCT.0000000000001713","DOIUrl":null,"url":null,"abstract":"<p><strong>Objective: </strong>To explore the application of low-energy image in dual-energy spectral CT (DEsCT) combined with deep learning image reconstruction (DLIR) to improve inferior vena cava imaging.</p><p><strong>Materials and methods: </strong>Thirty patients with inferior vena cava syndrome underwent contrast-enhanced upper abdominal CT with routine dose, and the 40, 50, 60, 70, and 80 keV images in the delayed phase were first reconstructed with the ASiR-V40% algorithm. Image quality was evaluated both quantitatively [CT value, SD, signal-to-noise ratio (SNR), and contrast-to-noise ratio (CNR) for inferior vena cava] and qualitatively to select an optimal energy level with the best image quality. Then, the optimal-energy images were reconstructed again using deep learning image reconstruction medium strength (DLIR-M) and DLIR-H (high strength) algorithms and compared with that of ASiR-V40%.</p><p><strong>Results: </strong>The objective CT value, SD, SNR, and CNR increased with the decrease in energy level, with statistically significant differences (all P <0.05). The 40 keV images had the highest CT values, SNR, and CNR and good diagnostic acceptability, and 40 keV was selected as the best energy level. Compared with ASiR-V40% and DLIR-M, DLIR-H had the lowest SD, highest SNR and CNR, and subjective score (all P <0.001) with good consistencies between the 2 physicians (all k ≥0.75). The 40 keV images with DLIR-H had the highest overall image quality, showing sharper edges of inferior vena cava vessels and clearer lumen in patients with Budd-Chiari syndrome.</p><p><strong>Conclusions: </strong>Compared with the ASiR-V algorithm, DLIR-H significantly reduces image noise and provides the highest CNR and best diagnostic image quality for the 40 keV DEsCT images in imaging inferior vena cava.</p>","PeriodicalId":15402,"journal":{"name":"Journal of Computer Assisted Tomography","volume":" ","pages":"604-610"},"PeriodicalIF":1.3000,"publicationDate":"2025-07-01","publicationTypes":"Journal Article","fieldsOfStudy":null,"isOpenAccess":false,"openAccessPdf":"https://www.ncbi.nlm.nih.gov/pmc/articles/PMC12237118/pdf/","citationCount":"0","resultStr":null,"platform":"Semanticscholar","paperid":null,"PeriodicalName":"Journal of Computer Assisted Tomography","FirstCategoryId":"3","ListUrlMain":"https://doi.org/10.1097/RCT.0000000000001713","RegionNum":4,"RegionCategory":"医学","ArticlePicture":[],"TitleCN":null,"AbstractTextCN":null,"PMCID":null,"EPubDate":"2025/1/27 0:00:00","PubModel":"Epub","JCR":"Q4","JCRName":"RADIOLOGY, NUCLEAR MEDICINE & MEDICAL IMAGING","Score":null,"Total":0}
引用次数: 0

Abstract

Objective: To explore the application of low-energy image in dual-energy spectral CT (DEsCT) combined with deep learning image reconstruction (DLIR) to improve inferior vena cava imaging.

Materials and methods: Thirty patients with inferior vena cava syndrome underwent contrast-enhanced upper abdominal CT with routine dose, and the 40, 50, 60, 70, and 80 keV images in the delayed phase were first reconstructed with the ASiR-V40% algorithm. Image quality was evaluated both quantitatively [CT value, SD, signal-to-noise ratio (SNR), and contrast-to-noise ratio (CNR) for inferior vena cava] and qualitatively to select an optimal energy level with the best image quality. Then, the optimal-energy images were reconstructed again using deep learning image reconstruction medium strength (DLIR-M) and DLIR-H (high strength) algorithms and compared with that of ASiR-V40%.

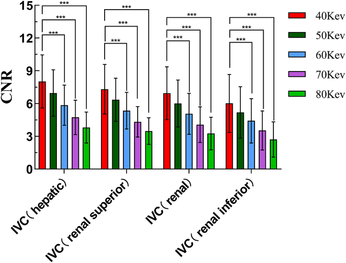
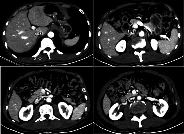
Results: The objective CT value, SD, SNR, and CNR increased with the decrease in energy level, with statistically significant differences (all P <0.05). The 40 keV images had the highest CT values, SNR, and CNR and good diagnostic acceptability, and 40 keV was selected as the best energy level. Compared with ASiR-V40% and DLIR-M, DLIR-H had the lowest SD, highest SNR and CNR, and subjective score (all P <0.001) with good consistencies between the 2 physicians (all k ≥0.75). The 40 keV images with DLIR-H had the highest overall image quality, showing sharper edges of inferior vena cava vessels and clearer lumen in patients with Budd-Chiari syndrome.

Conclusions: Compared with the ASiR-V algorithm, DLIR-H significantly reduces image noise and provides the highest CNR and best diagnostic image quality for the 40 keV DEsCT images in imaging inferior vena cava.

Abstract Image

Abstract Image

Abstract Image

结合双能谱CT低能图像与深度学习图像重建算法提高下腔静脉图像质量。
目的:探讨低能量图像在双能谱CT (DEsCT)中结合深度学习图像重建(DLIR)改善下腔静脉成像的应用。材料与方法:30例下腔静脉综合征患者行常规剂量的上腹部CT增强扫描,先用ASiR-V40%算法重建延迟期的40、50、60、70、80 keV图像。对图像质量进行定量评价[下腔静脉的CT值、SD、信噪比(SNR)、噪比(CNR)]和定性评价,以选择具有最佳图像质量的最佳能级。然后,使用深度学习图像重建中等强度(DLIR-M)和高强度(DLIR-H)算法再次重建最优能量图像,并与ASiR-V40%算法进行比较。结果:目标CT值、SD、SNR、CNR均随能量水平的降低而升高,差异有统计学意义(均p)。结论:与ASiR-V算法相比,DLIR-H能显著降低图像噪声,对40 keV DEsCT下腔静脉成像的CNR最高,诊断图像质量最佳。
本文章由计算机程序翻译,如有差异,请以英文原文为准。
求助全文
约1分钟内获得全文 求助全文
来源期刊
CiteScore
2.50
自引率
0.00%
发文量
230
审稿时长
4-8 weeks
期刊介绍: The mission of Journal of Computer Assisted Tomography is to showcase the latest clinical and research developments in CT, MR, and closely related diagnostic techniques. We encourage submission of both original research and review articles that have immediate or promissory clinical applications. Topics of special interest include: 1) functional MR and CT of the brain and body; 2) advanced/innovative MRI techniques (diffusion, perfusion, rapid scanning); and 3) advanced/innovative CT techniques (perfusion, multi-energy, dose-reduction, and processing).
×
引用
GB/T 7714-2015
复制
MLA
复制
APA
复制
导出至
BibTeX EndNote RefMan NoteFirst NoteExpress
×
提示
您的信息不完整,为了账户安全,请先补充。
现在去补充
×
提示
您因"违规操作"
具体请查看互助需知
我知道了
×
提示
确定
请完成安全验证×
copy
已复制链接
快去分享给好友吧!
我知道了
右上角分享
点击右上角分享
0
联系我们:info@booksci.cn Book学术提供免费学术资源搜索服务,方便国内外学者检索中英文文献。致力于提供最便捷和优质的服务体验。 Copyright © 2023 布克学术 All rights reserved.
京ICP备2023020795号-1
ghs 京公网安备 11010802042870号
Book学术文献互助
Book学术文献互助群
群 号:604180095
Book学术官方微信