The Role of Immunohistochemistry for AMACR/p504s and p63 in Distinguishing Prostate Cancer from Benign Prostate Tissue Samples in Botswana.

IF 2.7 Q2 UROLOGY & NEPHROLOGY
Research and Reports in Urology Pub Date : 2025-01-22 eCollection Date: 2025-01-01 DOI:10.2147/RRU.S492935
Pleasure Ramatlho, Moses Muganyizi Rugemalila, Leabaneng Tawe, Debanjan Pain, Ontlametse T Choga, Andrew Khulekani Ndlovu, Moses O Koobotse, Priti Lal, Timothy R Rebbeck, Giacomo M Paganotti, Mohan Narasimhamurthy, Lynnette Tumwine Kyokunda
{"title":"The Role of Immunohistochemistry for AMACR/p504s and p63 in Distinguishing Prostate Cancer from Benign Prostate Tissue Samples in Botswana.","authors":"Pleasure Ramatlho, Moses Muganyizi Rugemalila, Leabaneng Tawe, Debanjan Pain, Ontlametse T Choga, Andrew Khulekani Ndlovu, Moses O Koobotse, Priti Lal, Timothy R Rebbeck, Giacomo M Paganotti, Mohan Narasimhamurthy, Lynnette Tumwine Kyokunda","doi":"10.2147/RRU.S492935","DOIUrl":null,"url":null,"abstract":"<p><strong>Introduction: </strong>Prostate cancer (CaP) is the most common malignancy and the second leading cause of cancer-related deaths among men in Botswana. Currently, diagnosing CaP relies on examining prostate biopsy samples, which can be challenging due to benign mimics. This study aims to evaluate the potential of Alpha-methyl acyl-CoA racemase (AMACR/p504s) and p63, as diagnostic markers for CaP. This may potentially validate the use of immunohistochemistry for detecting CaP in Botswana, where it is not routinely utilized.</p><p><strong>Methods: </strong>The study included 69 samples, comprising 5 prostatic chip specimens, 50 core biopsies, and 14 radical prostatectomy specimens. These cases were reviewed and categorized into CaP (49 cases) and benign prostatic hyperplasia (BPH) (20 cases). Immunohistochemistry was performed using AMACR/p504s and p63 immunohistochemical stains.</p><p><strong>Results: </strong>The study found that AMACR/p504s had a sensitivity of 96% and a specificity of 95%, while p63 had a sensitivity and specificity of 100%. PSA levels showed significant positive correlation with AMACR/p504s expression (<i>P</i> < 0.00001).</p><p><strong>Discussion: </strong>In this study, we have demonstrated the diagnostic utility of AMACR/p504s and p63 due to their high sensitivity and specificity in detecting CaP in Botswana, where these biomarkers are not yet widely used. Furthermore, utilizing these markers in conjunction with other diagnostic tools, such as PSA levels and morphological evaluation, could improve the diagnostic accuracy, especially in challenging cases where histopathological examination alone may be inconclusive.</p>","PeriodicalId":21008,"journal":{"name":"Research and Reports in Urology","volume":"17 ","pages":"1-10"},"PeriodicalIF":2.7000,"publicationDate":"2025-01-22","publicationTypes":"Journal Article","fieldsOfStudy":null,"isOpenAccess":false,"openAccessPdf":"https://www.ncbi.nlm.nih.gov/pmc/articles/PMC11766141/pdf/","citationCount":"0","resultStr":null,"platform":"Semanticscholar","paperid":null,"PeriodicalName":"Research and Reports in Urology","FirstCategoryId":"1085","ListUrlMain":"https://doi.org/10.2147/RRU.S492935","RegionNum":0,"RegionCategory":null,"ArticlePicture":[],"TitleCN":null,"AbstractTextCN":null,"PMCID":null,"EPubDate":"2025/1/1 0:00:00","PubModel":"eCollection","JCR":"Q2","JCRName":"UROLOGY & NEPHROLOGY","Score":null,"Total":0}
引用次数: 0

Abstract

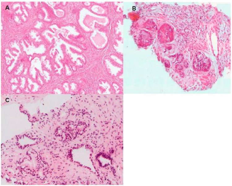
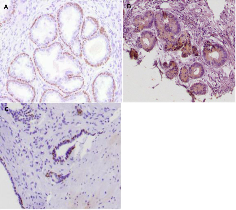
Introduction: Prostate cancer (CaP) is the most common malignancy and the second leading cause of cancer-related deaths among men in Botswana. Currently, diagnosing CaP relies on examining prostate biopsy samples, which can be challenging due to benign mimics. This study aims to evaluate the potential of Alpha-methyl acyl-CoA racemase (AMACR/p504s) and p63, as diagnostic markers for CaP. This may potentially validate the use of immunohistochemistry for detecting CaP in Botswana, where it is not routinely utilized.

Methods: The study included 69 samples, comprising 5 prostatic chip specimens, 50 core biopsies, and 14 radical prostatectomy specimens. These cases were reviewed and categorized into CaP (49 cases) and benign prostatic hyperplasia (BPH) (20 cases). Immunohistochemistry was performed using AMACR/p504s and p63 immunohistochemical stains.

Results: The study found that AMACR/p504s had a sensitivity of 96% and a specificity of 95%, while p63 had a sensitivity and specificity of 100%. PSA levels showed significant positive correlation with AMACR/p504s expression (P < 0.00001).

Discussion: In this study, we have demonstrated the diagnostic utility of AMACR/p504s and p63 due to their high sensitivity and specificity in detecting CaP in Botswana, where these biomarkers are not yet widely used. Furthermore, utilizing these markers in conjunction with other diagnostic tools, such as PSA levels and morphological evaluation, could improve the diagnostic accuracy, especially in challenging cases where histopathological examination alone may be inconclusive.

Abstract Image

Abstract Image

在博茨瓦纳,AMACR/p504s 和 p63 的免疫组化在区分前列腺癌和良性前列腺组织样本中的作用。
简介:前列腺癌(CaP)是最常见的恶性肿瘤,也是博茨瓦纳男性癌症相关死亡的第二大原因。目前,诊断前列腺癌依赖于检查前列腺活检样本,由于良性模拟,这可能具有挑战性。本研究旨在评估α -甲基酰基-辅酶a消消酶(AMACR/p504s)和p63作为CaP诊断标志物的潜力。这可能潜在地验证免疫组织化学在博茨瓦纳检测CaP的应用,在那里它不被常规使用。方法:共69例标本,包括5例前列腺芯片标本、50例核心活检标本和14例根治性前列腺切除术标本。将这些病例分为CaP(49例)和BPH(20例)。采用AMACR/p504s和p63免疫组化染色进行免疫组化。结果:研究发现,AMACR/p504s的敏感性为96%,特异性为95%,而p63的敏感性和特异性为100%。PSA水平与AMACR/p504s表达呈显著正相关(P < 0.00001)。讨论:在这项研究中,我们已经证明了AMACR/p504s和p63的诊断效用,因为它们在博茨瓦纳检测CaP时具有高灵敏度和特异性,这些生物标志物尚未广泛使用。此外,将这些标志物与其他诊断工具(如PSA水平和形态学评估)结合使用,可以提高诊断的准确性,特别是在单独进行组织病理学检查可能不确定的挑战性病例中。
本文章由计算机程序翻译,如有差异,请以英文原文为准。
求助全文
约1分钟内获得全文 求助全文
来源期刊
Research and Reports in Urology
Research and Reports in Urology UROLOGY & NEPHROLOGY-
CiteScore
3.40
自引率
0.00%
发文量
60
审稿时长
16 weeks
期刊介绍: Research and Reports in Urology is an international, peer-reviewed, open access, online journal. Publishing original research, reports, editorials, reviews and commentaries on all aspects of adult and pediatric urology in the clinic and laboratory including the following topics: Pathology, pathophysiology of urological disease Investigation and treatment of urological disease Pharmacology of drugs used for the treatment of urological disease Although the main focus of the journal is to publish research and clinical results in humans; preclinical, animal and in vitro studies will be published where they will shed light on disease processes and potential new therapies. Issues of patient safety and quality of care will also be considered.
×
引用
GB/T 7714-2015
复制
MLA
复制
APA
复制
导出至
BibTeX EndNote RefMan NoteFirst NoteExpress
×
提示
您的信息不完整,为了账户安全,请先补充。
现在去补充
×
提示
您因"违规操作"
具体请查看互助需知
我知道了
×
提示
确定
请完成安全验证×
copy
已复制链接
快去分享给好友吧!
我知道了
右上角分享
点击右上角分享
0
联系我们:info@booksci.cn Book学术提供免费学术资源搜索服务,方便国内外学者检索中英文文献。致力于提供最便捷和优质的服务体验。 Copyright © 2023 布克学术 All rights reserved.
京ICP备2023020795号-1
ghs 京公网安备 11010802042870号
Book学术文献互助
Book学术文献互助群
群 号:604180095
Book学术官方微信