Complement-Mediated Hemolytic Uremic Syndrome Due to MCP/CD46 Mutation: A Case Report.

IF 0.8 Q3 MEDICINE, GENERAL & INTERNAL
Abdul Muhsen Abdeen, Jowan Al-Nusair, Malik Samardali, Mohamed Alshal, Amro Al-Astal, Zeid Khitan
{"title":"Complement-Mediated Hemolytic Uremic Syndrome Due to MCP/CD46 Mutation: A Case Report.","authors":"Abdul Muhsen Abdeen, Jowan Al-Nusair, Malik Samardali, Mohamed Alshal, Amro Al-Astal, Zeid Khitan","doi":"10.1177/23247096251316364","DOIUrl":null,"url":null,"abstract":"<p><p>Thrombotic microangiopathy (TMA) is a severe condition characterized by microangiopathic hemolytic anemia, thrombocytopenia, and end-organ damage, often involving the kidneys. Complement-mediated hemolytic uremic syndrome (cHUS), a rare form of TMA, arises from dysregulated alternative complement pathway activation, frequently due to genetic mutations. We report the case of a 23-year-old male presenting with TMA secondary to a heterozygous mutation in the membrane cofactor protein (MCP/CD46) gene. The patient exhibited severe renal and cardiovascular complications, including acute kidney injury requiring hemodialysis, uremic pericarditis, and persistent anemia. Diagnostic evaluation confirmed complement dysregulation, and management with eculizumab, plasmapheresis, and hemodialysis was initiated. Renal biopsy revealed classic TMA features, and genetic testing identified the MCP mutation, underscoring the importance of genetic predispositions in guiding diagnosis and therapy. This case emphasizes the critical role of genetic testing in TMA evaluation and highlights the potential for improved outcomes through targeted complement inhibition and individualized care strategies.</p>","PeriodicalId":16198,"journal":{"name":"Journal of investigative medicine high impact case reports","volume":"13 ","pages":"23247096251316364"},"PeriodicalIF":0.8000,"publicationDate":"2025-01-01","publicationTypes":"Journal Article","fieldsOfStudy":null,"isOpenAccess":false,"openAccessPdf":"https://www.ncbi.nlm.nih.gov/pmc/articles/PMC11773514/pdf/","citationCount":"0","resultStr":null,"platform":"Semanticscholar","paperid":null,"PeriodicalName":"Journal of investigative medicine high impact case reports","FirstCategoryId":"1085","ListUrlMain":"https://doi.org/10.1177/23247096251316364","RegionNum":0,"RegionCategory":null,"ArticlePicture":[],"TitleCN":null,"AbstractTextCN":null,"PMCID":null,"EPubDate":"","PubModel":"","JCR":"Q3","JCRName":"MEDICINE, GENERAL & INTERNAL","Score":null,"Total":0}
引用次数: 0

Abstract

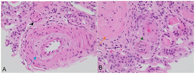
Thrombotic microangiopathy (TMA) is a severe condition characterized by microangiopathic hemolytic anemia, thrombocytopenia, and end-organ damage, often involving the kidneys. Complement-mediated hemolytic uremic syndrome (cHUS), a rare form of TMA, arises from dysregulated alternative complement pathway activation, frequently due to genetic mutations. We report the case of a 23-year-old male presenting with TMA secondary to a heterozygous mutation in the membrane cofactor protein (MCP/CD46) gene. The patient exhibited severe renal and cardiovascular complications, including acute kidney injury requiring hemodialysis, uremic pericarditis, and persistent anemia. Diagnostic evaluation confirmed complement dysregulation, and management with eculizumab, plasmapheresis, and hemodialysis was initiated. Renal biopsy revealed classic TMA features, and genetic testing identified the MCP mutation, underscoring the importance of genetic predispositions in guiding diagnosis and therapy. This case emphasizes the critical role of genetic testing in TMA evaluation and highlights the potential for improved outcomes through targeted complement inhibition and individualized care strategies.

Abstract Image

Abstract Image

MCP/CD46突变引起的补体介导的溶血性尿毒症综合征1例报告
血栓性微血管病(TMA)是一种严重的疾病,其特征是微血管病性溶血性贫血、血小板减少和终末器官损伤,通常累及肾脏。补体介导的溶血性尿毒症综合征(cHUS)是一种罕见的 TMA,是由于替代补体途径激活失调引起的,通常是由于基因突变所致。我们报告了一例因膜辅助因子蛋白(MCP/CD46)基因杂合突变而继发 TMA 的 23 岁男性病例。患者表现出严重的肾脏和心血管并发症,包括需要血液透析的急性肾损伤、尿毒症性心包炎和持续贫血。诊断评估证实了补体失调,并开始使用依库珠单抗、血浆置换术和血液透析进行治疗。肾活检发现了典型的 TMA 特征,基因检测发现了 MCP 突变,这突显了遗传倾向在指导诊断和治疗方面的重要性。该病例强调了基因检测在 TMA 评估中的关键作用,并突出了通过靶向补体抑制和个体化治疗策略改善预后的潜力。
本文章由计算机程序翻译,如有差异,请以英文原文为准。
求助全文
约1分钟内获得全文 求助全文
来源期刊
CiteScore
1.90
自引率
0.00%
发文量
165
审稿时长
12 weeks
期刊介绍: The AFMR is committed to enhancing the training and career development of our members and to furthering its mission to facilitate the conduct of research to improve medical care. Case reports represent an important avenue for trainees (interns, residents, and fellows) and early-stage faculty to demonstrate productive, scholarly activity.
×
引用
GB/T 7714-2015
复制
MLA
复制
APA
复制
导出至
BibTeX EndNote RefMan NoteFirst NoteExpress
×
提示
您的信息不完整,为了账户安全,请先补充。
现在去补充
×
提示
您因"违规操作"
具体请查看互助需知
我知道了
×
提示
确定
请完成安全验证×
copy
已复制链接
快去分享给好友吧!
我知道了
右上角分享
点击右上角分享
0
联系我们:info@booksci.cn Book学术提供免费学术资源搜索服务,方便国内外学者检索中英文文献。致力于提供最便捷和优质的服务体验。 Copyright © 2023 布克学术 All rights reserved.
京ICP备2023020795号-1
ghs 京公网安备 11010802042870号
Book学术文献互助
Book学术文献互助群
群 号:604180095
Book学术官方微信