Successful Endoscopic Retrograde Cholangiopancreatography for Management of Choledocholithiasis in a Patient With Situs Inversus Totalis: A Case Report and Literature Review

Bashayer Alrufayi , Saad Almutairi , Abbas Zagnoon
{"title":"Successful Endoscopic Retrograde Cholangiopancreatography for Management of Choledocholithiasis in a Patient With Situs Inversus Totalis: A Case Report and Literature Review","authors":"Bashayer Alrufayi ,&nbsp;Saad Almutairi ,&nbsp;Abbas Zagnoon","doi":"10.1016/j.gastha.2024.09.010","DOIUrl":null,"url":null,"abstract":"<div><div>Situs inversus totalis is a rare congenital disorder defined by the transposition of all viscera to the opposite side of the body. Because of this anatomical alteration, endoscopic retrograde cholangiopancreatography (ERCP) in such a population is significantly challenging.</div><div>Herein we report a case of a 50-year-old woman presented with epigastric and left upper quadrant pain. Preoperative examination revealed abnormal liver chemistries, situs inversus totalis, and multiple distal common bile duct stones with intrahepatic and extrahepatic bile duct dilatation on abdominal ultrasound. The patient underwent a successful ERCP to relieve biliary obstruction. It was performed while the patient was placed in a supine position with the endoscopist standing on the left side of the patient.</div><div>The major emphasis in ERCP is adjusting the patient and endoscopist positions during the procedure. The advantage of the supine position is that the endoscope could easily reach the pyloric ring and, after reaching the duodenum, the papilla could be reached without difficulty.</div></div>","PeriodicalId":73130,"journal":{"name":"Gastro hep advances","volume":"4 2","pages":"Article 100555"},"PeriodicalIF":0.0000,"publicationDate":"2025-01-01","publicationTypes":"Journal Article","fieldsOfStudy":null,"isOpenAccess":false,"openAccessPdf":"https://www.ncbi.nlm.nih.gov/pmc/articles/PMC11761330/pdf/","citationCount":"0","resultStr":null,"platform":"Semanticscholar","paperid":null,"PeriodicalName":"Gastro hep advances","FirstCategoryId":"1085","ListUrlMain":"https://www.sciencedirect.com/science/article/pii/S2772572324001493","RegionNum":0,"RegionCategory":null,"ArticlePicture":[],"TitleCN":null,"AbstractTextCN":null,"PMCID":null,"EPubDate":"","PubModel":"","JCR":"","JCRName":"","Score":null,"Total":0}
引用次数: 0

Abstract

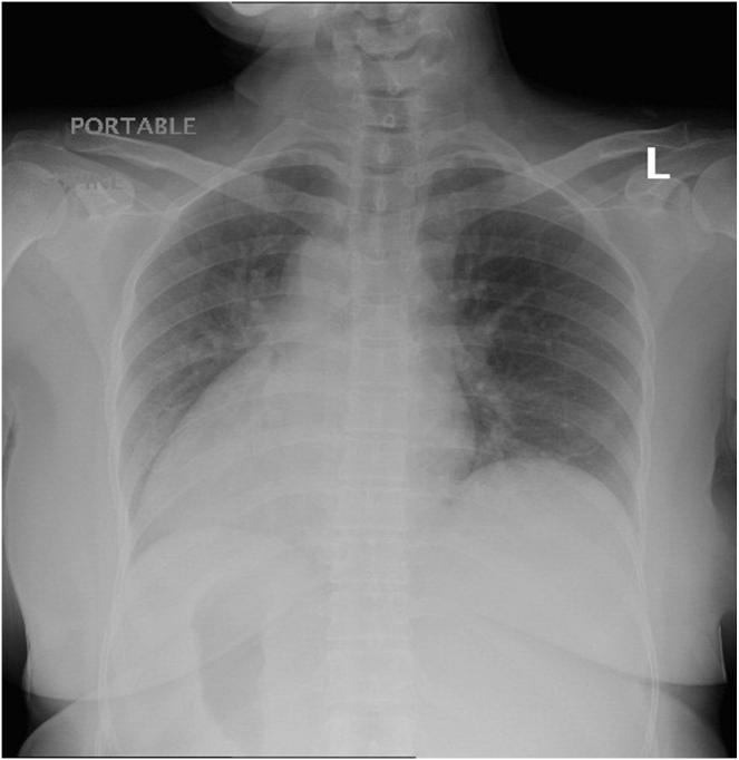
Situs inversus totalis is a rare congenital disorder defined by the transposition of all viscera to the opposite side of the body. Because of this anatomical alteration, endoscopic retrograde cholangiopancreatography (ERCP) in such a population is significantly challenging.
Herein we report a case of a 50-year-old woman presented with epigastric and left upper quadrant pain. Preoperative examination revealed abnormal liver chemistries, situs inversus totalis, and multiple distal common bile duct stones with intrahepatic and extrahepatic bile duct dilatation on abdominal ultrasound. The patient underwent a successful ERCP to relieve biliary obstruction. It was performed while the patient was placed in a supine position with the endoscopist standing on the left side of the patient.
The major emphasis in ERCP is adjusting the patient and endoscopist positions during the procedure. The advantage of the supine position is that the endoscope could easily reach the pyloric ring and, after reaching the duodenum, the papilla could be reached without difficulty.

Abstract Image

Abstract Image

Abstract Image

内镜逆行胆管造影成功治疗完全性倒位胆总管结石1例报告及文献复习。
完全性倒位是一种罕见的先天性疾病,其特征是所有脏器移位到身体的另一侧。由于这种解剖改变,内窥镜逆行胆管胰胆管造影(ERCP)在这样的人群中具有显著的挑战性。在这里,我们报告一个病例50岁的妇女提出的上腹部和左上腹疼痛。术前腹部超声检查发现肝脏化学异常,完全性倒位,胆总管远端多发结石伴肝内、肝外胆管扩张。患者成功行ERCP以缓解胆道梗阻。该检查是在患者仰卧位时进行的,内镜医师站在患者的左侧。ERCP的主要重点是在手术过程中调整患者和内窥镜医师的位置。仰卧位的优点是内窥镜可以很容易到达幽门环,到达十二指肠后,可以轻松到达乳头。
本文章由计算机程序翻译,如有差异,请以英文原文为准。
求助全文
约1分钟内获得全文 求助全文
来源期刊
Gastro hep advances
Gastro hep advances Gastroenterology
CiteScore
0.80
自引率
0.00%
发文量
0
审稿时长
64 days
×
引用
GB/T 7714-2015
复制
MLA
复制
APA
复制
导出至
BibTeX EndNote RefMan NoteFirst NoteExpress
×
提示
您的信息不完整,为了账户安全,请先补充。
现在去补充
×
提示
您因"违规操作"
具体请查看互助需知
我知道了
×
提示
确定
请完成安全验证×
copy
已复制链接
快去分享给好友吧!
我知道了
右上角分享
点击右上角分享
0
联系我们:info@booksci.cn Book学术提供免费学术资源搜索服务,方便国内外学者检索中英文文献。致力于提供最便捷和优质的服务体验。 Copyright © 2023 布克学术 All rights reserved.
京ICP备2023020795号-1
ghs 京公网安备 11010802042870号
Book学术文献互助
Book学术文献互助群
群 号:604180095
Book学术官方微信