Unusual cholesterol crystal formation in a rare clinical case report of splenic echinococcal cyst in a patient from Sardinia, Italy.

Frontiers in parasitology Pub Date : 2025-01-10 eCollection Date: 2024-01-01 DOI:10.3389/fpara.2024.1498099
Cinzia Santucciu, Ashkan Hajjafari, Soheil Sadr, Scilla Mastrandrea, Carlo Rettaroli, Luca Simbula, Mariano Scaglione, Salvatore Masala, Angela Peruzzu, Giovanna Masala
{"title":"Unusual cholesterol crystal formation in a rare clinical case report of splenic echinococcal cyst in a patient from Sardinia, Italy.","authors":"Cinzia Santucciu, Ashkan Hajjafari, Soheil Sadr, Scilla Mastrandrea, Carlo Rettaroli, Luca Simbula, Mariano Scaglione, Salvatore Masala, Angela Peruzzu, Giovanna Masala","doi":"10.3389/fpara.2024.1498099","DOIUrl":null,"url":null,"abstract":"<p><p>Cystic echinococcosis (CE) is a zoonotic disease caused by <i>Echinococcus granulosus</i> sensu lato, the metacestode of a tapeworm parasite of high medical importance. Infection of the parasite leads to the development of echinococcal cysts, and the spleen is a rarely infected organ. A 46-year-old woman who was born and who resides in Sardinia, Italy, was referred to the Echinococcosis outpatient clinic at the University Hospital of Sassari (Sardinia, Italy) for a pain in the left flank. She used to live in the countryside, in contact with several animals, and for 2 years, she had been working in a family garden, growing vegetables as a hobby. Ultrasounds and X-ray were performed, which evidenced a rounded formation in the upper third of the spleen, while a CT scan confirmed a parasitological cyst. Immunological examinations on serum samples did not detect specific antibodies against <i>Echinococcus</i> spp. Following surgical exportation, the whole spleen with the cystic lesion was delivered to the World Organisation for Animal Health (WOAH) and the National Reference Laboratory for Echinococcosis for further laboratory analyses. Moreover, characterization of the cyst fluid resulted dense and shiny. Observation under a light microscope at ×400 magnification revealed the formation of rectangular crystals and aggregates attributable to cholesterol molecules. Subsequently, through parasitological investigation, molecular biology investigations confirmed <i>E. granulosus</i> sensu stricto G1. We describe cholesterol crystals in a splenic echinococcal cyst for the first time. There is no clear explanation of how the cholesterol crystals formed in this case, but this was attributed to multifactorial causes, including atherosclerosis, chronic inflammation, parasite metabolism, and host responses.</p>","PeriodicalId":73098,"journal":{"name":"Frontiers in parasitology","volume":"3 ","pages":"1498099"},"PeriodicalIF":0.0000,"publicationDate":"2025-01-10","publicationTypes":"Journal Article","fieldsOfStudy":null,"isOpenAccess":false,"openAccessPdf":"https://www.ncbi.nlm.nih.gov/pmc/articles/PMC11759282/pdf/","citationCount":"0","resultStr":null,"platform":"Semanticscholar","paperid":null,"PeriodicalName":"Frontiers in parasitology","FirstCategoryId":"1085","ListUrlMain":"https://doi.org/10.3389/fpara.2024.1498099","RegionNum":0,"RegionCategory":null,"ArticlePicture":[],"TitleCN":null,"AbstractTextCN":null,"PMCID":null,"EPubDate":"2024/1/1 0:00:00","PubModel":"eCollection","JCR":"","JCRName":"","Score":null,"Total":0}
引用次数: 0

Abstract

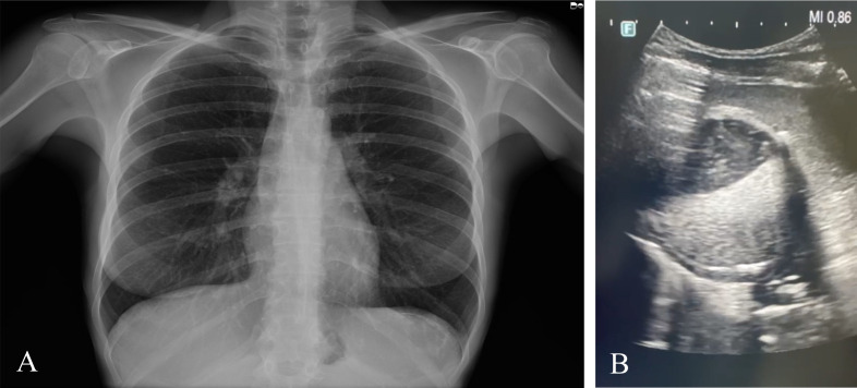
Cystic echinococcosis (CE) is a zoonotic disease caused by Echinococcus granulosus sensu lato, the metacestode of a tapeworm parasite of high medical importance. Infection of the parasite leads to the development of echinococcal cysts, and the spleen is a rarely infected organ. A 46-year-old woman who was born and who resides in Sardinia, Italy, was referred to the Echinococcosis outpatient clinic at the University Hospital of Sassari (Sardinia, Italy) for a pain in the left flank. She used to live in the countryside, in contact with several animals, and for 2 years, she had been working in a family garden, growing vegetables as a hobby. Ultrasounds and X-ray were performed, which evidenced a rounded formation in the upper third of the spleen, while a CT scan confirmed a parasitological cyst. Immunological examinations on serum samples did not detect specific antibodies against Echinococcus spp. Following surgical exportation, the whole spleen with the cystic lesion was delivered to the World Organisation for Animal Health (WOAH) and the National Reference Laboratory for Echinococcosis for further laboratory analyses. Moreover, characterization of the cyst fluid resulted dense and shiny. Observation under a light microscope at ×400 magnification revealed the formation of rectangular crystals and aggregates attributable to cholesterol molecules. Subsequently, through parasitological investigation, molecular biology investigations confirmed E. granulosus sensu stricto G1. We describe cholesterol crystals in a splenic echinococcal cyst for the first time. There is no clear explanation of how the cholesterol crystals formed in this case, but this was attributed to multifactorial causes, including atherosclerosis, chronic inflammation, parasite metabolism, and host responses.

Abstract Image

Abstract Image

罕见的胆固醇晶体形成在一个罕见的临床病例报告的脾包虫病囊肿的病人从撒丁岛,意大利。
囊性棘球蚴病(CE)是一种人畜共患疾病,由细粒棘球绦虫引起,绦虫是一种具有重要医学意义的绦虫寄生虫。寄生虫的感染导致棘球蚴囊肿的发展,而脾脏是一个很少感染的器官。一名出生并居住在意大利撒丁岛的46岁妇女因左侧疼痛被转诊到萨萨里大学医院(意大利撒丁岛)棘球蚴病门诊。她曾经住在乡下,接触过一些动物,两年来,她一直在家里的花园里工作,种菜作为爱好。超声和x线检查证实脾脏上三分之一处有圆形形成,而CT扫描证实为寄生虫囊肿。对血清样本的免疫学检查未检测到针对棘球蚴的特异性抗体。手术后,整个带有囊性病变的脾脏被送到世界动物卫生组织(WOAH)和棘球蚴病国家参考实验室进行进一步的实验室分析。此外,囊肿液的特征是致密和有光泽。在×400放大光镜下观察,发现了由胆固醇分子形成的矩形晶体和聚集体。随后,通过寄生虫学调查和分子生物学调查,证实G1为严格感细粒棘球绦虫。我们首次在脾脏棘球蚴囊肿中描述胆固醇结晶。在这种情况下,胆固醇晶体是如何形成的还没有明确的解释,但这归因于多因素的原因,包括动脉粥样硬化、慢性炎症、寄生虫代谢和宿主反应。
本文章由计算机程序翻译,如有差异,请以英文原文为准。
求助全文
约1分钟内获得全文 求助全文
来源期刊
自引率
0.00%
发文量
0
×
引用
GB/T 7714-2015
复制
MLA
复制
APA
复制
导出至
BibTeX EndNote RefMan NoteFirst NoteExpress
×
提示
您的信息不完整,为了账户安全,请先补充。
现在去补充
×
提示
您因"违规操作"
具体请查看互助需知
我知道了
×
提示
确定
请完成安全验证×
copy
已复制链接
快去分享给好友吧!
我知道了
右上角分享
点击右上角分享
0
联系我们:info@booksci.cn Book学术提供免费学术资源搜索服务,方便国内外学者检索中英文文献。致力于提供最便捷和优质的服务体验。 Copyright © 2023 布克学术 All rights reserved.
京ICP备2023020795号-1
ghs 京公网安备 11010802042870号
Book学术文献互助
Book学术文献互助群
群 号:604180095
Book学术官方微信