Diffuse Alveolar Hemorrhage Associated With Anti-PL-7 Antisynthetase Syndrome: A Case Report.

Q4 Medicine
Case Reports in Pulmonology Pub Date : 2025-01-17 eCollection Date: 2025-01-01 DOI:10.1155/crpu/3715449
Paul Shiu, Shannon Iriza, Steven Templeton
{"title":"Diffuse Alveolar Hemorrhage Associated With Anti-PL-7 Antisynthetase Syndrome: A Case Report.","authors":"Paul Shiu, Shannon Iriza, Steven Templeton","doi":"10.1155/crpu/3715449","DOIUrl":null,"url":null,"abstract":"<p><p><b>Background:</b> Diffuse alveolar hemorrhage (DAH) is a potentially life-threatening condition which can present with hemoptysis, diffuse alveolar infiltrates, anemia, and hypoxic respiratory failure. Antisynthetase syndrome (AS) is a rare autoimmune disorder most often characterized by nonerosive arthritis, proximal muscle weakness with elevated muscle enzymes, Raynaud's phenomenon, hyperkeratosis of the digits (mechanic's hands), and interstitial lung disease. According to large population studies, AS has an annual incidence of 0.56 per 100,000 persons and prevalence of 9 per 100,000. The most common autoantibody is anti-aminoacyl-transfer RNA synthetase for histidine (anti-Jo-1) with a reported prevalence of 20%-30%, whereas anti-Pl-7 (for threonine) accounts for less than 5% of all autoimmune myositis. Specific myositis autoantibodies determine clinical phenotype. PL-7 is characterized by interstitial lung disease, myositis, and arthritis. Autoimmune myositis, specifically AS, is a rare cause of DAH. Herein, we describe the first reported case of PL-7-associated AS with DAH. <b>Case Presentation:</b> A 41-year-old female presented with worsening shortness of breath and hemoptysis. Laboratory studies included a hemoglobin of 10.5 g/dL, mildly elevated liver enzymes, and a creatine phosphokinase (CPK) of nearly 4000 U/L. CT of the chest showed diffuse ground glass opacities bilaterally. Serial aliquots of the bronchoalveolar lavage (BAL) fluid revealed progressively hemorrhagic return and histopathologic analysis consistent with DAH. Other concurrent causes of DAH were ruled out. <b>Conclusion:</b> Although rare, AS should be considered a cause of DAH, particularly in patients presenting with symptoms of muscle weakness and arthritis or with evidence of mechanic's hands.</p>","PeriodicalId":52364,"journal":{"name":"Case Reports in Pulmonology","volume":"2025 ","pages":"3715449"},"PeriodicalIF":0.0000,"publicationDate":"2025-01-17","publicationTypes":"Journal Article","fieldsOfStudy":null,"isOpenAccess":false,"openAccessPdf":"https://www.ncbi.nlm.nih.gov/pmc/articles/PMC11759568/pdf/","citationCount":"0","resultStr":null,"platform":"Semanticscholar","paperid":null,"PeriodicalName":"Case Reports in Pulmonology","FirstCategoryId":"1085","ListUrlMain":"https://doi.org/10.1155/crpu/3715449","RegionNum":0,"RegionCategory":null,"ArticlePicture":[],"TitleCN":null,"AbstractTextCN":null,"PMCID":null,"EPubDate":"2025/1/1 0:00:00","PubModel":"eCollection","JCR":"Q4","JCRName":"Medicine","Score":null,"Total":0}
引用次数: 0

Abstract

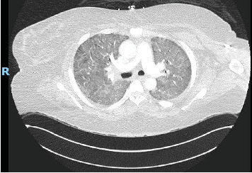
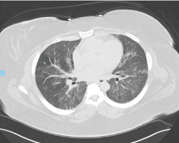
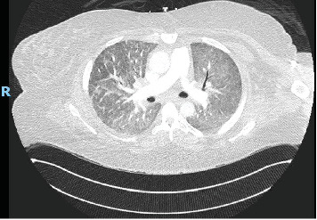
Background: Diffuse alveolar hemorrhage (DAH) is a potentially life-threatening condition which can present with hemoptysis, diffuse alveolar infiltrates, anemia, and hypoxic respiratory failure. Antisynthetase syndrome (AS) is a rare autoimmune disorder most often characterized by nonerosive arthritis, proximal muscle weakness with elevated muscle enzymes, Raynaud's phenomenon, hyperkeratosis of the digits (mechanic's hands), and interstitial lung disease. According to large population studies, AS has an annual incidence of 0.56 per 100,000 persons and prevalence of 9 per 100,000. The most common autoantibody is anti-aminoacyl-transfer RNA synthetase for histidine (anti-Jo-1) with a reported prevalence of 20%-30%, whereas anti-Pl-7 (for threonine) accounts for less than 5% of all autoimmune myositis. Specific myositis autoantibodies determine clinical phenotype. PL-7 is characterized by interstitial lung disease, myositis, and arthritis. Autoimmune myositis, specifically AS, is a rare cause of DAH. Herein, we describe the first reported case of PL-7-associated AS with DAH. Case Presentation: A 41-year-old female presented with worsening shortness of breath and hemoptysis. Laboratory studies included a hemoglobin of 10.5 g/dL, mildly elevated liver enzymes, and a creatine phosphokinase (CPK) of nearly 4000 U/L. CT of the chest showed diffuse ground glass opacities bilaterally. Serial aliquots of the bronchoalveolar lavage (BAL) fluid revealed progressively hemorrhagic return and histopathologic analysis consistent with DAH. Other concurrent causes of DAH were ruled out. Conclusion: Although rare, AS should be considered a cause of DAH, particularly in patients presenting with symptoms of muscle weakness and arthritis or with evidence of mechanic's hands.

Abstract Image

Abstract Image

Abstract Image

弥漫性肺泡出血伴抗pl -7抗合成酶综合征1例报告。
背景:弥漫性肺泡出血(DAH)是一种潜在的危及生命的疾病,可表现为咯血、弥漫性肺泡浸润、贫血和缺氧性呼吸衰竭。抗合成酶综合征(AS)是一种罕见的自身免疫性疾病,最常见的特征是非糜糜性关节炎、近端肌肉无力伴肌肉酶升高、雷诺现象、手指角化过度(机械人的手)和间质性肺疾病。根据大规模的人口研究,AS的年发病率为每10万人0.56人,患病率为每10万人9人。最常见的自身抗体是针对组氨酸的抗氨基酰基转移RNA合成酶(抗jo -1),据报道患病率为20%-30%,而针对苏氨酸的抗pl -7抗体在所有自身免疫性肌炎中所占比例不到5%。特异性肌炎自身抗体决定临床表型。PL-7以肺间质性疾病、肌炎和关节炎为特征。自身免疫性肌炎,特别是AS,是DAH的罕见病因。在此,我们描述了首例报道的pl -7相关AS合并DAH的病例。病例介绍:一名41岁女性,表现为呼吸急促和咯血加剧。实验室研究包括血红蛋白10.5 g/dL,肝酶轻度升高,肌酸磷酸激酶(CPK)接近4000 U/L。胸部CT示双侧弥漫性磨玻璃影。支气管肺泡灌洗(BAL)液的连续等分显示进行性出血回流,组织病理学分析与DAH一致。排除了DAH的其他并发原因。结论:虽然罕见,但AS应被认为是DAH的一个原因,特别是在出现肌肉无力和关节炎症状或有机械手迹象的患者中。
本文章由计算机程序翻译,如有差异,请以英文原文为准。
求助全文
约1分钟内获得全文 求助全文
来源期刊
Case Reports in Pulmonology
Case Reports in Pulmonology Medicine-Pulmonary and Respiratory Medicine
CiteScore
1.80
自引率
0.00%
发文量
23
审稿时长
13 weeks
×
引用
GB/T 7714-2015
复制
MLA
复制
APA
复制
导出至
BibTeX EndNote RefMan NoteFirst NoteExpress
×
提示
您的信息不完整,为了账户安全,请先补充。
现在去补充
×
提示
您因"违规操作"
具体请查看互助需知
我知道了
×
提示
确定
请完成安全验证×
copy
已复制链接
快去分享给好友吧!
我知道了
右上角分享
点击右上角分享
0
联系我们:info@booksci.cn Book学术提供免费学术资源搜索服务,方便国内外学者检索中英文文献。致力于提供最便捷和优质的服务体验。 Copyright © 2023 布克学术 All rights reserved.
京ICP备2023020795号-1
ghs 京公网安备 11010802042870号
Book学术文献互助
Book学术文献互助群
群 号:604180095
Book学术官方微信