Importance of the multidisciplinary approach in the surgical treatment of giant mediastinal neoplasms: a case series.

IF 0.7 Q3 MEDICINE, GENERAL & INTERNAL
AME Case Reports Pub Date : 2024-11-06 eCollection Date: 2025-01-01 DOI:10.21037/acr-24-23
Giovanni Tacchi, Luca Frasca, Filippo Longo, Pierfilippo Crucitti
{"title":"Importance of the multidisciplinary approach in the surgical treatment of giant mediastinal neoplasms: a case series.","authors":"Giovanni Tacchi, Luca Frasca, Filippo Longo, Pierfilippo Crucitti","doi":"10.21037/acr-24-23","DOIUrl":null,"url":null,"abstract":"<p><strong>Background: </strong>Many reports described the importance of multidisciplinary meetings in providing oncologic patients with the best treatment strategies. This item improved overall survival, accuracy of staging and adherence to guidelines. For mediastinal neoplasms, collaboration between different surgical skills allows to deal with challenging/impossible surgical procedures. We report a series of four patients with a mediastinal-localized tumor with extensive infiltration of adjacent major structures. All cases were discussed at our multidisciplinary meeting where surgical indication was assessed. The presence of several surgical specialists, the role of anesthesiologists and sub-intensive clinicians was essential for proper operative and postoperative planning.</p><p><strong>Case description: </strong>A 70-year-old patient with type-A thymoma underwent a via sternotomy thymectomy with an end-to-end caval anastomosis and an end-to-side anastomosis with the left brachiocephalic trunk by prosthesis. A 52-year-old patient with malignant peripheral nerve sheath tumor of left sternocleidomastoid muscle underwent surgical excision and chest wall reconstruction by Teflon prosthesis and pedicled flap from the rectus abdominis. A 41-year-old woman diagnosed with monophasic synovial sarcoma of the anterior mediastinum. After chemotherapy without benefit, she underwent debulking surgery with excision of this huge mass and right phrenic nerve reconstruction by neural graft from the contralateral phrenic nerve. A 23-year-old woman affected by myasthenia gravis (MG) with a type-B3 thymoma diagnosis. After chemotherapy without benefit, she underwent a thymectomy and left pneumectomy with reconstruction of the superior vena cava (SVC).</p><p><strong>Conclusions: </strong>Multidisciplinary evaluation and surgical team are crucial in such complex cases to customize the most appropriate surgical planning and treatment.</p>","PeriodicalId":29752,"journal":{"name":"AME Case Reports","volume":"9 ","pages":"33"},"PeriodicalIF":0.7000,"publicationDate":"2024-11-06","publicationTypes":"Journal Article","fieldsOfStudy":null,"isOpenAccess":false,"openAccessPdf":"https://www.ncbi.nlm.nih.gov/pmc/articles/PMC11760923/pdf/","citationCount":"0","resultStr":null,"platform":"Semanticscholar","paperid":null,"PeriodicalName":"AME Case Reports","FirstCategoryId":"1085","ListUrlMain":"https://doi.org/10.21037/acr-24-23","RegionNum":0,"RegionCategory":null,"ArticlePicture":[],"TitleCN":null,"AbstractTextCN":null,"PMCID":null,"EPubDate":"2025/1/1 0:00:00","PubModel":"eCollection","JCR":"Q3","JCRName":"MEDICINE, GENERAL & INTERNAL","Score":null,"Total":0}
引用次数: 0

Abstract

Background: Many reports described the importance of multidisciplinary meetings in providing oncologic patients with the best treatment strategies. This item improved overall survival, accuracy of staging and adherence to guidelines. For mediastinal neoplasms, collaboration between different surgical skills allows to deal with challenging/impossible surgical procedures. We report a series of four patients with a mediastinal-localized tumor with extensive infiltration of adjacent major structures. All cases were discussed at our multidisciplinary meeting where surgical indication was assessed. The presence of several surgical specialists, the role of anesthesiologists and sub-intensive clinicians was essential for proper operative and postoperative planning.

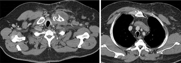
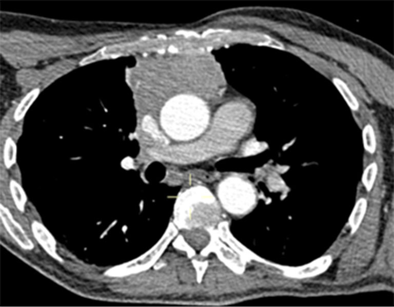
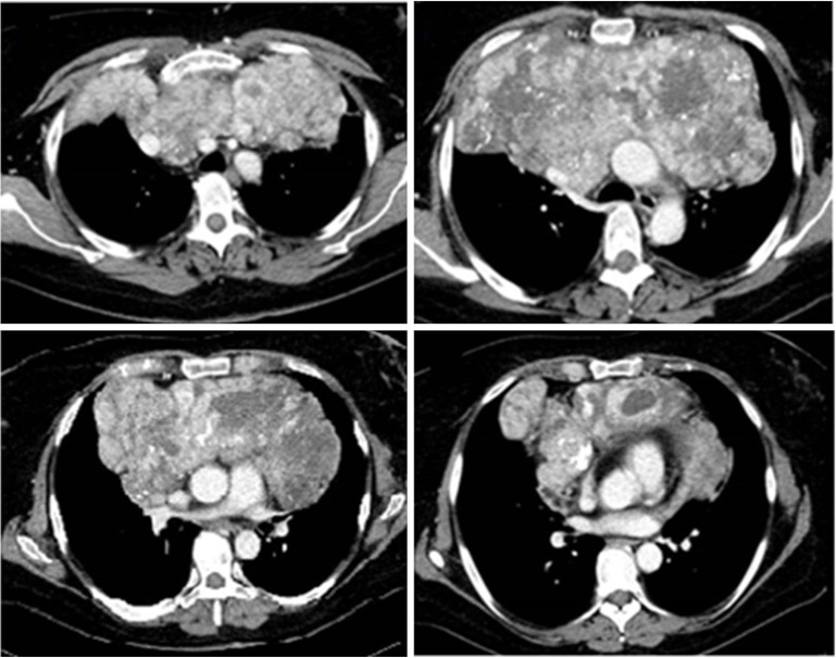
Case description: A 70-year-old patient with type-A thymoma underwent a via sternotomy thymectomy with an end-to-end caval anastomosis and an end-to-side anastomosis with the left brachiocephalic trunk by prosthesis. A 52-year-old patient with malignant peripheral nerve sheath tumor of left sternocleidomastoid muscle underwent surgical excision and chest wall reconstruction by Teflon prosthesis and pedicled flap from the rectus abdominis. A 41-year-old woman diagnosed with monophasic synovial sarcoma of the anterior mediastinum. After chemotherapy without benefit, she underwent debulking surgery with excision of this huge mass and right phrenic nerve reconstruction by neural graft from the contralateral phrenic nerve. A 23-year-old woman affected by myasthenia gravis (MG) with a type-B3 thymoma diagnosis. After chemotherapy without benefit, she underwent a thymectomy and left pneumectomy with reconstruction of the superior vena cava (SVC).

Conclusions: Multidisciplinary evaluation and surgical team are crucial in such complex cases to customize the most appropriate surgical planning and treatment.

Abstract Image

Abstract Image

Abstract Image

多学科方法在外科治疗巨大纵隔肿瘤中的重要性:一个病例系列。
背景:许多报告描述了多学科会议在为肿瘤患者提供最佳治疗策略方面的重要性。该项目提高了总体生存率、分期准确性和对指南的依从性。对于纵隔肿瘤,不同手术技能之间的合作可以处理具有挑战性/不可能的手术程序。我们报告了4例纵隔局部肿瘤伴邻近主要结构广泛浸润的病例。所有病例都在我们的多学科会议上进行了讨论,并评估了手术指征。几个外科专家的存在,麻醉师和次密集临床医生的作用是必要的正确的手术和术后计划。病例描述:一名70岁的A型胸腺瘤患者行胸腺切开手术,胸腺切除术后端到端腔静脉吻合和假体与左头臂干端侧吻合。一例52岁的左侧胸锁乳突肌周围神经鞘恶性肿瘤患者行手术切除,并应用特氟龙假体和腹直肌带蒂皮瓣重建胸壁。一位41岁的女性被诊断为前纵隔单纯性滑膜肉瘤。化疗无效后,她接受了减压手术,切除了这个巨大的肿块,并通过神经移植物从对侧膈神经重建右膈神经。一例23岁女性重症肌无力伴b3型胸腺瘤。化疗无效后,她接受了胸腺切除术和左肺切除术并重建上腔静脉(SVC)。结论:在此类复杂病例中,多学科评估和手术团队对制定最合适的手术计划和治疗至关重要。
本文章由计算机程序翻译,如有差异,请以英文原文为准。
求助全文
约1分钟内获得全文 求助全文
来源期刊
自引率
0.00%
发文量
0
×
引用
GB/T 7714-2015
复制
MLA
复制
APA
复制
导出至
BibTeX EndNote RefMan NoteFirst NoteExpress
×
提示
您的信息不完整,为了账户安全,请先补充。
现在去补充
×
提示
您因"违规操作"
具体请查看互助需知
我知道了
×
提示
确定
请完成安全验证×
copy
已复制链接
快去分享给好友吧!
我知道了
右上角分享
点击右上角分享
0
联系我们:info@booksci.cn Book学术提供免费学术资源搜索服务,方便国内外学者检索中英文文献。致力于提供最便捷和优质的服务体验。 Copyright © 2023 布克学术 All rights reserved.
京ICP备2023020795号-1
ghs 京公网安备 11010802042870号
Book学术文献互助
Book学术文献互助群
群 号:604180095
Book学术官方微信