Grading systems and perineural invasion in oral squamous cell carcinoma - a disease-specific survival analysis.

IF 2.1 3区 医学 Q2 DENTISTRY, ORAL SURGERY & MEDICINE
S-N Aquino, L-L de Souza, D Alvarenga, P-R Bonan, H-D Martins, F-S Verner, M-A Lopes, P-A Vargas
{"title":"Grading systems and perineural invasion in oral squamous cell carcinoma - a disease-specific survival analysis.","authors":"S-N Aquino, L-L de Souza, D Alvarenga, P-R Bonan, H-D Martins, F-S Verner, M-A Lopes, P-A Vargas","doi":"10.4317/medoral.26896","DOIUrl":null,"url":null,"abstract":"<p><strong>Background: </strong>Oral squamous cell carcinoma (OSCC) is an aggressive cancer, with prognosis influenced by clinical variables as well grading systems and perineural invasion (PNI), which are associated to poorer outcomes, including higher rates of recurrence and metastasis. This study aims to evaluate OSCC using three grading systems and assess the impact of PNI and clinicopathologic parameters on patient survival.</p><p><strong>Material and methods: </strong>Eighty-one primary OSCC samples were analyzed. Histopathological evaluations were performed utilizing Malignancy Grading of the Deep Invasive Margins, WHO grading system, and the Histologic Risk Assessment. S-100 immunohistochemistry was used to detect PNI. Five-year disease-specific survival (DSS) curves were generated using the Kaplan-Meier method, and the Cox proportional hazards model analyzed prognostic significance.</p><p><strong>Results: </strong>Advanced clinical stage was significantly associated with reduced survival (p-value <0.001, HR = 4.07). Patients without regional lymph node involvement had better survival (p-value 0.002, HR = 0.37). Higher histologic risk assessment scores were linked to worse outcomes. Multifocal neural invasion significantly correlated with poorer survival compared to unifocal invasion (p-value 0.017, HR = 4.20). Patients undergoing surgery followed by adjuvant therapies had better survival rates.</p><p><strong>Conclusions: </strong>Besides clinical stage and histological grade, PNI also showed to be a crucial prognostic factor in OSCC, necessitating aggressive treatment strategies.</p>","PeriodicalId":49016,"journal":{"name":"Medicina Oral Patologia Oral Y Cirugia Bucal","volume":" ","pages":"e247-e255"},"PeriodicalIF":2.1000,"publicationDate":"2025-03-01","publicationTypes":"Journal Article","fieldsOfStudy":null,"isOpenAccess":false,"openAccessPdf":"https://www.ncbi.nlm.nih.gov/pmc/articles/PMC11972651/pdf/","citationCount":"0","resultStr":null,"platform":"Semanticscholar","paperid":null,"PeriodicalName":"Medicina Oral Patologia Oral Y Cirugia Bucal","FirstCategoryId":"3","ListUrlMain":"https://doi.org/10.4317/medoral.26896","RegionNum":3,"RegionCategory":"医学","ArticlePicture":[],"TitleCN":null,"AbstractTextCN":null,"PMCID":null,"EPubDate":"","PubModel":"","JCR":"Q2","JCRName":"DENTISTRY, ORAL SURGERY & MEDICINE","Score":null,"Total":0}
引用次数: 0

Abstract

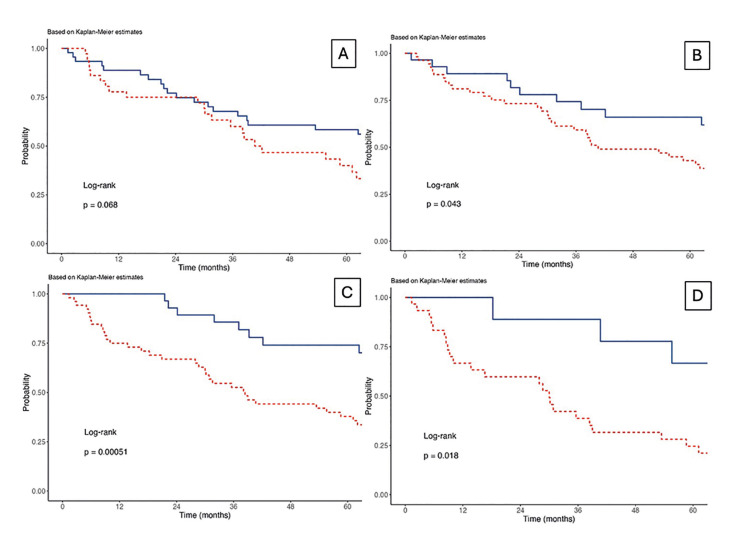
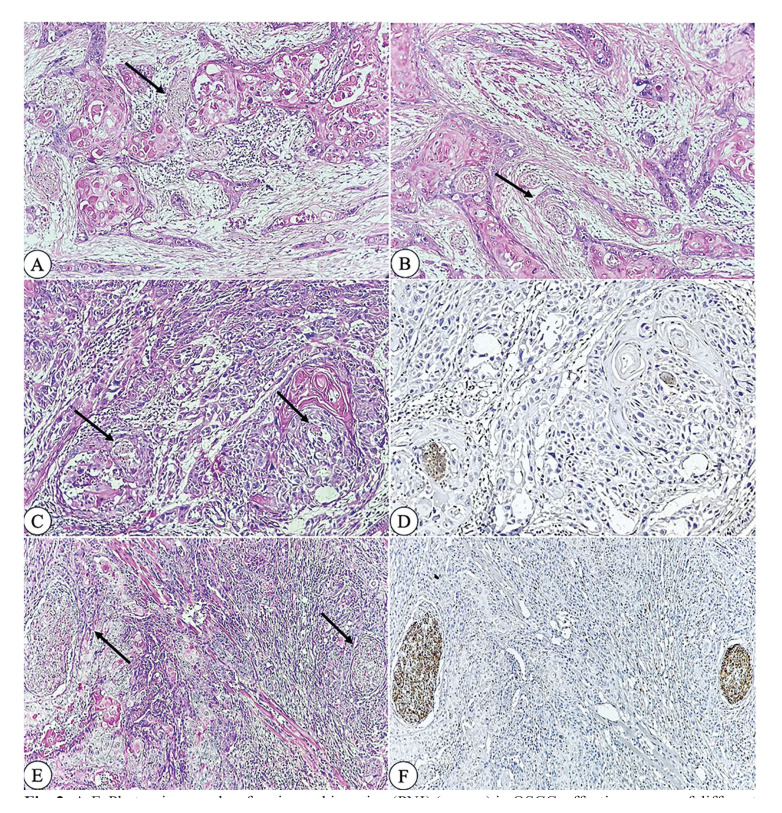
Background: Oral squamous cell carcinoma (OSCC) is an aggressive cancer, with prognosis influenced by clinical variables as well grading systems and perineural invasion (PNI), which are associated to poorer outcomes, including higher rates of recurrence and metastasis. This study aims to evaluate OSCC using three grading systems and assess the impact of PNI and clinicopathologic parameters on patient survival.

Material and methods: Eighty-one primary OSCC samples were analyzed. Histopathological evaluations were performed utilizing Malignancy Grading of the Deep Invasive Margins, WHO grading system, and the Histologic Risk Assessment. S-100 immunohistochemistry was used to detect PNI. Five-year disease-specific survival (DSS) curves were generated using the Kaplan-Meier method, and the Cox proportional hazards model analyzed prognostic significance.

Results: Advanced clinical stage was significantly associated with reduced survival (p-value <0.001, HR = 4.07). Patients without regional lymph node involvement had better survival (p-value 0.002, HR = 0.37). Higher histologic risk assessment scores were linked to worse outcomes. Multifocal neural invasion significantly correlated with poorer survival compared to unifocal invasion (p-value 0.017, HR = 4.20). Patients undergoing surgery followed by adjuvant therapies had better survival rates.

Conclusions: Besides clinical stage and histological grade, PNI also showed to be a crucial prognostic factor in OSCC, necessitating aggressive treatment strategies.

Abstract Image

Abstract Image

分级系统和口腔鳞状细胞癌的神经周围浸润——一种疾病特异性生存分析。
背景:口腔鳞状细胞癌(OSCC)是一种侵袭性癌症,其预后受临床变量、分级系统和周围神经侵袭(PNI)的影响,这些因素与较差的预后相关,包括较高的复发和转移率。本研究旨在使用三种分级系统评估OSCC,并评估PNI和临床病理参数对患者生存的影响。材料与方法:对81份主要的OSCC样品进行分析。组织病理学评估采用深部浸润边缘恶性肿瘤分级、WHO分级系统和组织学风险评估。采用S-100免疫组化法检测PNI。采用Kaplan-Meier法生成5年疾病特异性生存(DSS)曲线,Cox比例风险模型分析预后意义。结论:除了临床分期和组织学分级外,PNI也是OSCC的一个重要预后因素,因此需要积极的治疗策略。
本文章由计算机程序翻译,如有差异,请以英文原文为准。
求助全文
约1分钟内获得全文 求助全文
来源期刊
Medicina Oral Patologia Oral Y Cirugia Bucal
Medicina Oral Patologia Oral Y Cirugia Bucal DENTISTRY, ORAL SURGERY & MEDICINE-
CiteScore
4.60
自引率
0.00%
发文量
52
审稿时长
3-8 weeks
期刊介绍: 1. Oral Medicine and Pathology: Clinicopathological as well as medical or surgical management aspects of diseases affecting oral mucosa, salivary glands, maxillary bones, as well as orofacial neurological disorders, and systemic conditions with an impact on the oral cavity. 2. Oral Surgery: Surgical management aspects of diseases affecting oral mucosa, salivary glands, maxillary bones, teeth, implants, oral surgical procedures. Surgical management of diseases affecting head and neck areas. 3. Medically compromised patients in Dentistry: Articles discussing medical problems in Odontology will also be included, with a special focus on the clinico-odontological management of medically compromised patients, and considerations regarding high-risk or disabled patients. 4. Implantology 5. Periodontology
×
引用
GB/T 7714-2015
复制
MLA
复制
APA
复制
导出至
BibTeX EndNote RefMan NoteFirst NoteExpress
×
提示
您的信息不完整,为了账户安全,请先补充。
现在去补充
×
提示
您因"违规操作"
具体请查看互助需知
我知道了
×
提示
确定
请完成安全验证×
copy
已复制链接
快去分享给好友吧!
我知道了
右上角分享
点击右上角分享
0
联系我们:info@booksci.cn Book学术提供免费学术资源搜索服务,方便国内外学者检索中英文文献。致力于提供最便捷和优质的服务体验。 Copyright © 2023 布克学术 All rights reserved.
京ICP备2023020795号-1
ghs 京公网安备 11010802042870号
Book学术文献互助
Book学术文献互助群
群 号:604180095
Book学术官方微信