Giant prostatic calculus in patient treated with perineal prostatotomy: case report.

IF 0.7 Q3 MEDICINE, GENERAL & INTERNAL
AME Case Reports Pub Date : 2024-11-07 eCollection Date: 2025-01-01 DOI:10.21037/acr-23-115
Gabriel de Azambuja Beigin, Joao Henrique Godoy Rodrigues, Murillo de Souza Tuckumantel, Waldomiro Camargo, Ana Beatriz Souza de Oliveira, Abel Guilherme Rosa, Luis Cesar Fava Spessoto, Fernando Nestor Facio Júnior, Carlos Abib Cury
{"title":"Giant prostatic calculus in patient treated with perineal prostatotomy: case report.","authors":"Gabriel de Azambuja Beigin, Joao Henrique Godoy Rodrigues, Murillo de Souza Tuckumantel, Waldomiro Camargo, Ana Beatriz Souza de Oliveira, Abel Guilherme Rosa, Luis Cesar Fava Spessoto, Fernando Nestor Facio Júnior, Carlos Abib Cury","doi":"10.21037/acr-23-115","DOIUrl":null,"url":null,"abstract":"<p><strong>Background: </strong>Urolithiasis (kidney stone) is a common condition that often leads patients to urgent or emergency care services. Urinary calculi are generally found in the kidneys, ureters, or bladder. Urethral calculi are uncommon and can result from the migration of a calculus in the upper urinary tract or vesicle or may be primary of the urethra. Prostatic calculi are a rarity.</p><p><strong>Case description: </strong>A 34-year-old male was admitted to the emergency service of a university hospital reporting dysuria and pain in the hypogastrium with a 4-day history. The patient reported that the pain sometimes irradiated to the left flank, accompanied by micturition effort, a weak urinary stream, pollakiuria, and urine output with a crystal appearance. The clinical history revealed urinary difficulty since 10 years of age. The patient was submitted to radiological investigation. Pelvic computed tomography revealed a voluminous calculus with slightly lobulated contours in the intravesical topography in the interior of the prostatic urethra. Urethrocystography revealed a prostatic calculus and the tapered passage of contrast through the prostatic urethra. After the diagnosis, the rectal examination confirmed the presence of a hardened calculous mass in the prostatic topography. Considering the complementary evaluation of the patient, perineal prostatotomy was planned. Prostatotomy was performed longitudinally in the prostatic capsule for the removal of the calculus after its release by dissection.</p><p><strong>Conclusions: </strong>In cases of patients with urinary retention treated at an emergency service, the following diagnostic hypotheses should be investigated: benign hyperplasia of the prostate, urethral stenosis, prostatic urethral calculus, and prostatic calculus. In prostatic calculus, regarding access for definitive surgery, in this case, the perineal route proved to be the best therapeutic option.</p>","PeriodicalId":29752,"journal":{"name":"AME Case Reports","volume":"9 ","pages":"12"},"PeriodicalIF":0.7000,"publicationDate":"2024-11-07","publicationTypes":"Journal Article","fieldsOfStudy":null,"isOpenAccess":false,"openAccessPdf":"https://www.ncbi.nlm.nih.gov/pmc/articles/PMC11760513/pdf/","citationCount":"0","resultStr":null,"platform":"Semanticscholar","paperid":null,"PeriodicalName":"AME Case Reports","FirstCategoryId":"1085","ListUrlMain":"https://doi.org/10.21037/acr-23-115","RegionNum":0,"RegionCategory":null,"ArticlePicture":[],"TitleCN":null,"AbstractTextCN":null,"PMCID":null,"EPubDate":"2025/1/1 0:00:00","PubModel":"eCollection","JCR":"Q3","JCRName":"MEDICINE, GENERAL & INTERNAL","Score":null,"Total":0}
引用次数: 0

Abstract

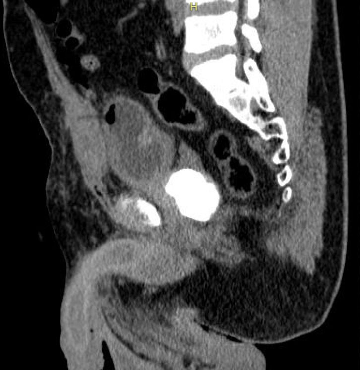
Background: Urolithiasis (kidney stone) is a common condition that often leads patients to urgent or emergency care services. Urinary calculi are generally found in the kidneys, ureters, or bladder. Urethral calculi are uncommon and can result from the migration of a calculus in the upper urinary tract or vesicle or may be primary of the urethra. Prostatic calculi are a rarity.

Case description: A 34-year-old male was admitted to the emergency service of a university hospital reporting dysuria and pain in the hypogastrium with a 4-day history. The patient reported that the pain sometimes irradiated to the left flank, accompanied by micturition effort, a weak urinary stream, pollakiuria, and urine output with a crystal appearance. The clinical history revealed urinary difficulty since 10 years of age. The patient was submitted to radiological investigation. Pelvic computed tomography revealed a voluminous calculus with slightly lobulated contours in the intravesical topography in the interior of the prostatic urethra. Urethrocystography revealed a prostatic calculus and the tapered passage of contrast through the prostatic urethra. After the diagnosis, the rectal examination confirmed the presence of a hardened calculous mass in the prostatic topography. Considering the complementary evaluation of the patient, perineal prostatotomy was planned. Prostatotomy was performed longitudinally in the prostatic capsule for the removal of the calculus after its release by dissection.

Conclusions: In cases of patients with urinary retention treated at an emergency service, the following diagnostic hypotheses should be investigated: benign hyperplasia of the prostate, urethral stenosis, prostatic urethral calculus, and prostatic calculus. In prostatic calculus, regarding access for definitive surgery, in this case, the perineal route proved to be the best therapeutic option.

Abstract Image

Abstract Image

Abstract Image

会阴前列腺切开术治疗巨大前列腺结石1例。
背景:尿石症(肾结石)是一种常见的疾病,经常导致患者紧急或紧急护理服务。尿路结石通常见于肾脏、输尿管或膀胱。尿道结石并不常见,可能是由上尿路或膀胱结石的迁移引起的,也可能是尿道的原发性结石。前列腺结石是罕见的。病例描述:一名34岁男性被送入大学医院急诊科,报告有4天的排尿困难和下胃疼痛史。患者报告疼痛有时放射到左侧,伴有排尿困难,尿流弱,尿量低,尿量呈晶体状。临床病史显示自10岁起尿困难。病人接受放射学检查。盆腔计算机断层扫描显示前列腺尿道内部膀胱内地形上有一体积庞大的结石,呈轻微分叶状轮廓。尿道造影显示前列腺结石和造影剂通过前列腺尿道的锥形通道。诊断后,直肠检查证实在前列腺地形图上有一个硬化的结石肿块。考虑到对患者的补充评价,计划会阴前列腺切除术。在前列腺囊内纵向行前列腺切开术,剥离结石后取出结石。结论:在急诊治疗尿潴留患者时,应考虑以下诊断假设:前列腺良性增生、尿道狭窄、前列腺尿道结石和前列腺结石。在前列腺结石中,关于最终手术的途径,会阴途径被证明是最好的治疗选择。
本文章由计算机程序翻译,如有差异,请以英文原文为准。
求助全文
约1分钟内获得全文 求助全文
来源期刊
自引率
0.00%
发文量
0
×
引用
GB/T 7714-2015
复制
MLA
复制
APA
复制
导出至
BibTeX EndNote RefMan NoteFirst NoteExpress
×
提示
您的信息不完整,为了账户安全,请先补充。
现在去补充
×
提示
您因"违规操作"
具体请查看互助需知
我知道了
×
提示
确定
请完成安全验证×
copy
已复制链接
快去分享给好友吧!
我知道了
右上角分享
点击右上角分享
0
联系我们:info@booksci.cn Book学术提供免费学术资源搜索服务,方便国内外学者检索中英文文献。致力于提供最便捷和优质的服务体验。 Copyright © 2023 布克学术 All rights reserved.
京ICP备2023020795号-1
ghs 京公网安备 11010802042870号
Book学术文献互助
Book学术文献互助群
群 号:604180095
Book学术官方微信