Fibromatosis of the breast: a case report and literature review.

IF 0.7 Q3 MEDICINE, GENERAL & INTERNAL
AME Case Reports Pub Date : 2024-12-16 eCollection Date: 2025-01-01 DOI:10.21037/acr-24-84
Olutayo Sogunro, Sahlia Joseph-Pauline, Eniola Oluyemi, Seoho Lee, Jeffrey Pinco
{"title":"Fibromatosis of the breast: a case report and literature review.","authors":"Olutayo Sogunro, Sahlia Joseph-Pauline, Eniola Oluyemi, Seoho Lee, Jeffrey Pinco","doi":"10.21037/acr-24-84","DOIUrl":null,"url":null,"abstract":"<p><strong>Background: </strong>Fibromatosis of the breast, also known as desmoid-type fibromatosis (DTF), is a rare tumor marked by the development of non-metastatic, locally aggressive tumors in breast tissue. It represents only 0.2% of all breast tumors. It is a nonmalignant tumor that often resembles cancer in both its clinical presentation and radiologic imaging characteristics, posing unique diagnostic and management challenges.</p><p><strong>Case description: </strong>This is a case report of a 34-year-old female with a history of bilateral silicone implant placement who presented with bilateral breast masses. She reported a 6-month history of a 1-cm firm, palpable mass in the right breast without associated pain or growth. She had a family history of breast, pancreatic, and prostate cancer but no significant past medical history. Ultrasound-guided biopsy of the right breast and magnetic resonance imaging (MRI)-guided biopsy of the left breast both revealed fibromatoses. She underwent bilateral excisional biopsies and surgical pathology confirmed breast fibromatosis in the background of benign breast tissue with fibrocystic changes. The patient had an uncomplicated post-operative course.</p><p><strong>Conclusions: </strong>This case report of a patient with prior breast augmentation surgery highlights the clinical presentation, diagnosis, and management of breast fibromatosis. The intricate relationship between desmoid tumors and factors such as tissue injury, surgical trauma, exogenous hormone exposure, and genetics is discussed. Ultimately, comprehensive diagnostic and therapeutic approaches with individualized treatment strategies are essential for managing fibromatosis effectively.</p>","PeriodicalId":29752,"journal":{"name":"AME Case Reports","volume":"9 ","pages":"24"},"PeriodicalIF":0.7000,"publicationDate":"2024-12-16","publicationTypes":"Journal Article","fieldsOfStudy":null,"isOpenAccess":false,"openAccessPdf":"https://www.ncbi.nlm.nih.gov/pmc/articles/PMC11759925/pdf/","citationCount":"0","resultStr":null,"platform":"Semanticscholar","paperid":null,"PeriodicalName":"AME Case Reports","FirstCategoryId":"1085","ListUrlMain":"https://doi.org/10.21037/acr-24-84","RegionNum":0,"RegionCategory":null,"ArticlePicture":[],"TitleCN":null,"AbstractTextCN":null,"PMCID":null,"EPubDate":"2025/1/1 0:00:00","PubModel":"eCollection","JCR":"Q3","JCRName":"MEDICINE, GENERAL & INTERNAL","Score":null,"Total":0}
引用次数: 0

Abstract

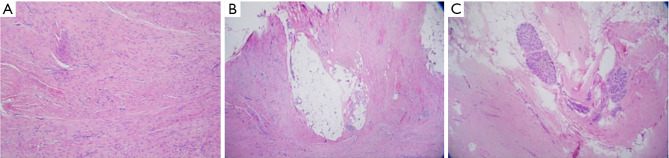
Background: Fibromatosis of the breast, also known as desmoid-type fibromatosis (DTF), is a rare tumor marked by the development of non-metastatic, locally aggressive tumors in breast tissue. It represents only 0.2% of all breast tumors. It is a nonmalignant tumor that often resembles cancer in both its clinical presentation and radiologic imaging characteristics, posing unique diagnostic and management challenges.

Case description: This is a case report of a 34-year-old female with a history of bilateral silicone implant placement who presented with bilateral breast masses. She reported a 6-month history of a 1-cm firm, palpable mass in the right breast without associated pain or growth. She had a family history of breast, pancreatic, and prostate cancer but no significant past medical history. Ultrasound-guided biopsy of the right breast and magnetic resonance imaging (MRI)-guided biopsy of the left breast both revealed fibromatoses. She underwent bilateral excisional biopsies and surgical pathology confirmed breast fibromatosis in the background of benign breast tissue with fibrocystic changes. The patient had an uncomplicated post-operative course.

Conclusions: This case report of a patient with prior breast augmentation surgery highlights the clinical presentation, diagnosis, and management of breast fibromatosis. The intricate relationship between desmoid tumors and factors such as tissue injury, surgical trauma, exogenous hormone exposure, and genetics is discussed. Ultimately, comprehensive diagnostic and therapeutic approaches with individualized treatment strategies are essential for managing fibromatosis effectively.

Abstract Image

Abstract Image

乳腺纤维瘤病1例报告并文献复习。
背景:乳腺纤维瘤病,也称为硬纤维瘤病(DTF),是一种罕见的肿瘤,其特征是在乳腺组织中发展为非转移性、局部侵袭性肿瘤。它只占所有乳腺肿瘤的0.2%。它是一种非恶性肿瘤,在临床表现和影像学特征上与癌症相似,对诊断和治疗提出了独特的挑战。病例描述:这是一个34岁的女性,有双侧硅胶植入史,双侧乳房肿块。她报告6个月的病史,右乳房有1厘米的硬肿块,可触及,无相关疼痛或生长。她有乳腺癌、胰腺癌和前列腺癌家族史,但没有明显的既往病史。超声引导下的右乳活检和磁共振成像(MRI)引导下的左乳活检均显示纤维瘤病。她接受了双侧切除活检和手术病理证实乳腺纤维瘤病,背景是良性乳腺组织伴纤维囊性改变。病人的术后过程并不复杂。结论:本病例报告的患者既往隆胸手术突出临床表现,诊断和乳腺纤维瘤病的处理。本文讨论了硬纤维瘤与组织损伤、外科创伤、外源性激素暴露和遗传学等因素之间的复杂关系。最终,综合诊断和治疗方法与个性化的治疗策略是必要的有效管理纤维瘤病。
本文章由计算机程序翻译,如有差异,请以英文原文为准。
求助全文
约1分钟内获得全文 求助全文
来源期刊
自引率
0.00%
发文量
0
×
引用
GB/T 7714-2015
复制
MLA
复制
APA
复制
导出至
BibTeX EndNote RefMan NoteFirst NoteExpress
×
提示
您的信息不完整,为了账户安全,请先补充。
现在去补充
×
提示
您因"违规操作"
具体请查看互助需知
我知道了
×
提示
确定
请完成安全验证×
copy
已复制链接
快去分享给好友吧!
我知道了
右上角分享
点击右上角分享
0
联系我们:info@booksci.cn Book学术提供免费学术资源搜索服务,方便国内外学者检索中英文文献。致力于提供最便捷和优质的服务体验。 Copyright © 2023 布克学术 All rights reserved.
京ICP备2023020795号-1
ghs 京公网安备 11010802042870号
Book学术文献互助
Book学术文献互助群
群 号:604180095
Book学术官方微信