Cryoablation for airway stenosis caused by malignant pulmonary epithelioid hemangioendothelioma: a case report.

IF 0.7 Q3 MEDICINE, GENERAL & INTERNAL
AME Case Reports Pub Date : 2024-11-27 eCollection Date: 2025-01-01 DOI:10.21037/acr-24-106
Li Wang, Yingjun Kong, Yao Zhang, Chuanyong Mu
{"title":"Cryoablation for airway stenosis caused by malignant pulmonary epithelioid hemangioendothelioma: a case report.","authors":"Li Wang, Yingjun Kong, Yao Zhang, Chuanyong Mu","doi":"10.21037/acr-24-106","DOIUrl":null,"url":null,"abstract":"<p><strong>Background: </strong>Pulmonary epithelioid hemangioendothelioma (P-EHE) is a rare vascular tumor derived from mesenchymal cells with an incidence of about 1/1 million. The etiology remains unclear, and there are no established treatment guidelines. The tumor can occur in a variety of organs, among which the liver, lung and bone are the most commonly involved, with different clinical manifestations, mainly depending on the organ involved, but none of them is specific. Most epithelioid hemangioendotheliomas are indolent and can achieve long-term survival even without any treatment. The prognosis of patients with primary liver or lung diseases is poor, and P-EHE has the highest mortality rate. Clinical reports of airway stenosis caused by P-EHE are exceedingly rare.</p><p><strong>Case description: </strong>We report a case of a middle-aged female patient with initial diagnostic difficulties leading to misdiagnosis, which was eventually confirmed as P-EHE by pathology. Despite radiotherapy, chemotherapy, and antiangiogenic therapy, the efficacy was limited, resulting in severe airway stenosis in the advanced stage of the disease, with severe clinical symptoms. After bronchoscopic cryoablation, the oxygenation index of the patient was significantly improved, and the quality of life was significantly improved.</p><p><strong>Conclusions: </strong>This case underscores the complexity of diagnosing and managing P-EHE and illustrates the potential of cryoablation as an effective treatment for severe airway stenosis secondary to this rare tumor.</p>","PeriodicalId":29752,"journal":{"name":"AME Case Reports","volume":"9 ","pages":"28"},"PeriodicalIF":0.7000,"publicationDate":"2024-11-27","publicationTypes":"Journal Article","fieldsOfStudy":null,"isOpenAccess":false,"openAccessPdf":"https://www.ncbi.nlm.nih.gov/pmc/articles/PMC11759930/pdf/","citationCount":"0","resultStr":null,"platform":"Semanticscholar","paperid":null,"PeriodicalName":"AME Case Reports","FirstCategoryId":"1085","ListUrlMain":"https://doi.org/10.21037/acr-24-106","RegionNum":0,"RegionCategory":null,"ArticlePicture":[],"TitleCN":null,"AbstractTextCN":null,"PMCID":null,"EPubDate":"2025/1/1 0:00:00","PubModel":"eCollection","JCR":"Q3","JCRName":"MEDICINE, GENERAL & INTERNAL","Score":null,"Total":0}
引用次数: 0

Abstract

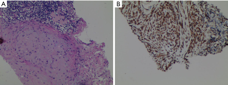
Background: Pulmonary epithelioid hemangioendothelioma (P-EHE) is a rare vascular tumor derived from mesenchymal cells with an incidence of about 1/1 million. The etiology remains unclear, and there are no established treatment guidelines. The tumor can occur in a variety of organs, among which the liver, lung and bone are the most commonly involved, with different clinical manifestations, mainly depending on the organ involved, but none of them is specific. Most epithelioid hemangioendotheliomas are indolent and can achieve long-term survival even without any treatment. The prognosis of patients with primary liver or lung diseases is poor, and P-EHE has the highest mortality rate. Clinical reports of airway stenosis caused by P-EHE are exceedingly rare.

Case description: We report a case of a middle-aged female patient with initial diagnostic difficulties leading to misdiagnosis, which was eventually confirmed as P-EHE by pathology. Despite radiotherapy, chemotherapy, and antiangiogenic therapy, the efficacy was limited, resulting in severe airway stenosis in the advanced stage of the disease, with severe clinical symptoms. After bronchoscopic cryoablation, the oxygenation index of the patient was significantly improved, and the quality of life was significantly improved.

Conclusions: This case underscores the complexity of diagnosing and managing P-EHE and illustrates the potential of cryoablation as an effective treatment for severe airway stenosis secondary to this rare tumor.

Abstract Image

Abstract Image

Abstract Image

冷冻消融治疗恶性肺上皮样血管内皮瘤致气道狭窄1例。
背景:肺上皮样血管内皮瘤(P-EHE)是一种罕见的源自间充质细胞的血管肿瘤,发病率约为百万分之一。病因尚不清楚,也没有既定的治疗指南。肿瘤可发生于多种器官,其中以肝、肺、骨为最常见受累部位,其临床表现各不相同,主要取决于受累器官,但均无特异性。大多数上皮样血管内皮瘤是惰性的,即使不进行任何治疗也能获得长期生存。原发性肝脏或肺部疾病患者预后较差,P-EHE死亡率最高。由P-EHE引起气道狭窄的临床报道极为罕见。病例描述:我们报告一例中年女性患者,最初诊断困难导致误诊,最终病理证实为P-EHE。尽管放疗、化疗和抗血管生成治疗,但疗效有限,导致疾病晚期气道严重狭窄,临床症状严重。经支气管镜冷冻消融后,患者氧合指数明显改善,生活质量明显改善。结论:该病例强调了P-EHE诊断和治疗的复杂性,并说明了冷冻消融作为这种罕见肿瘤继发的严重气道狭窄的有效治疗方法的潜力。
本文章由计算机程序翻译,如有差异,请以英文原文为准。
求助全文
约1分钟内获得全文 求助全文
来源期刊
自引率
0.00%
发文量
0
×
引用
GB/T 7714-2015
复制
MLA
复制
APA
复制
导出至
BibTeX EndNote RefMan NoteFirst NoteExpress
×
提示
您的信息不完整,为了账户安全,请先补充。
现在去补充
×
提示
您因"违规操作"
具体请查看互助需知
我知道了
×
提示
确定
请完成安全验证×
copy
已复制链接
快去分享给好友吧!
我知道了
右上角分享
点击右上角分享
0
联系我们:info@booksci.cn Book学术提供免费学术资源搜索服务,方便国内外学者检索中英文文献。致力于提供最便捷和优质的服务体验。 Copyright © 2023 布克学术 All rights reserved.
京ICP备2023020795号-1
ghs 京公网安备 11010802042870号
Book学术文献互助
Book学术文献互助群
群 号:604180095
Book学术官方微信