Transesophageal-echocardiography-guided one-stage TAVR + M-TEER credibly treated patients with severe double valve regurgitation: a case report.

IF 0.7 Q3 MEDICINE, GENERAL & INTERNAL
AME Case Reports Pub Date : 2024-11-06 eCollection Date: 2025-01-01 DOI:10.21037/acr-24-71
Chunping Sun, Lai Wei, Lili Dong, Peng Zhu, Jun Lu, Zezhou Xiao, Shaoyi Zheng
{"title":"Transesophageal-echocardiography-guided one-stage TAVR + M-TEER credibly treated patients with severe double valve regurgitation: a case report.","authors":"Chunping Sun, Lai Wei, Lili Dong, Peng Zhu, Jun Lu, Zezhou Xiao, Shaoyi Zheng","doi":"10.21037/acr-24-71","DOIUrl":null,"url":null,"abstract":"<p><strong>Background: </strong>There are few reports about the one-stage surgery of transcatheter aortic valve replacement (TAVR) + mitral valve transcatheter edge-to-edge repair (M-TEER) around the world. TAVR + M-TEER surgery is usually performed under the simultaneous guidance of digital subtraction angiography (DSA) and echocardiography. There is no report of TAVR surgery assisted only by echocardiography all over the world. This case shows a novel one-stage transesophageal echocardiography-guided TAVR + M-TEER surgery, which provides a new idea for minimally invasive therapy.</p><p><strong>Case description: </strong>A 75-year-old man with recurrent chest tightness was diagnosed with bicuspid aortic valve malformation and severe regurgitation of aortic and mitral valves. The symptom was not relieved by medications. After evaluation with transthoracic echocardiography and computerized tomography angiography (CTA) of the aorta, transapical TAVR and M-TEER were performed simultaneously with satisfied clinical results. The patient's activity tolerance and cardiac function were improved.</p><p><strong>Conclusions: </strong>In the past, this surgery needs to be performed in a specific operating room equipped with an X-ray machine, and there are many steps in the whole procedure that requires more medical staff. Transesophageal echocardiography-guided minimally invasive valvular surgery reduces the reliance on the hybrid operating room, mitigates the impact of radiation on physicians and patients, and also provides a treatment chance for gravidas with valvular disease.</p>","PeriodicalId":29752,"journal":{"name":"AME Case Reports","volume":"9 ","pages":"16"},"PeriodicalIF":0.7000,"publicationDate":"2024-11-06","publicationTypes":"Journal Article","fieldsOfStudy":null,"isOpenAccess":false,"openAccessPdf":"https://www.ncbi.nlm.nih.gov/pmc/articles/PMC11760512/pdf/","citationCount":"0","resultStr":null,"platform":"Semanticscholar","paperid":null,"PeriodicalName":"AME Case Reports","FirstCategoryId":"1085","ListUrlMain":"https://doi.org/10.21037/acr-24-71","RegionNum":0,"RegionCategory":null,"ArticlePicture":[],"TitleCN":null,"AbstractTextCN":null,"PMCID":null,"EPubDate":"2025/1/1 0:00:00","PubModel":"eCollection","JCR":"Q3","JCRName":"MEDICINE, GENERAL & INTERNAL","Score":null,"Total":0}
引用次数: 0

Abstract

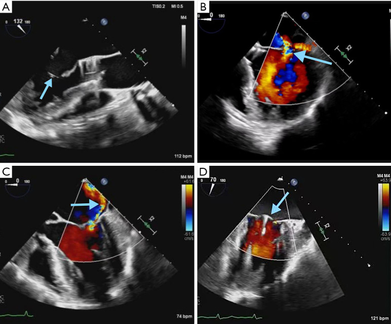
Background: There are few reports about the one-stage surgery of transcatheter aortic valve replacement (TAVR) + mitral valve transcatheter edge-to-edge repair (M-TEER) around the world. TAVR + M-TEER surgery is usually performed under the simultaneous guidance of digital subtraction angiography (DSA) and echocardiography. There is no report of TAVR surgery assisted only by echocardiography all over the world. This case shows a novel one-stage transesophageal echocardiography-guided TAVR + M-TEER surgery, which provides a new idea for minimally invasive therapy.

Case description: A 75-year-old man with recurrent chest tightness was diagnosed with bicuspid aortic valve malformation and severe regurgitation of aortic and mitral valves. The symptom was not relieved by medications. After evaluation with transthoracic echocardiography and computerized tomography angiography (CTA) of the aorta, transapical TAVR and M-TEER were performed simultaneously with satisfied clinical results. The patient's activity tolerance and cardiac function were improved.

Conclusions: In the past, this surgery needs to be performed in a specific operating room equipped with an X-ray machine, and there are many steps in the whole procedure that requires more medical staff. Transesophageal echocardiography-guided minimally invasive valvular surgery reduces the reliance on the hybrid operating room, mitigates the impact of radiation on physicians and patients, and also provides a treatment chance for gravidas with valvular disease.

Abstract Image

Abstract Image

经食管超声心动图引导一期TAVR + M-TEER可靠治疗重度双瓣反流1例
背景:经导管主动脉瓣置换术(TAVR) +二尖瓣经导管边缘到边缘修复术(M-TEER)一期手术在国际上报道较少。TAVR + M-TEER手术通常在数字减影血管造影(DSA)和超声心动图的同时指导下进行。目前世界范围内尚没有超声心动图辅助TAVR手术的报道。本病例提出了一种新的一期经食管超声心动图引导的TAVR + M-TEER手术,为微创治疗提供了新的思路。病例描述:一名75岁男性复发性胸闷,诊断为二尖瓣主动脉瓣畸形,主动脉瓣和二尖瓣严重反流。药物治疗不能缓解症状。经胸超声心动图和主动脉ct血管造影(CTA)评估后,同时行经根尖TAVR和M-TEER,临床结果满意。患者的活动耐受性和心功能得到改善。结论:以往该手术需在配备x光机的特定手术室进行,且整个手术过程步骤较多,需要较多医护人员。经食管超声心动图引导下的微创瓣膜手术减少了对混合手术室的依赖,减轻了辐射对医生和患者的影响,也为患有瓣膜疾病的孕妇提供了治疗机会。
本文章由计算机程序翻译,如有差异,请以英文原文为准。
求助全文
约1分钟内获得全文 求助全文
来源期刊
自引率
0.00%
发文量
0
×
引用
GB/T 7714-2015
复制
MLA
复制
APA
复制
导出至
BibTeX EndNote RefMan NoteFirst NoteExpress
×
提示
您的信息不完整,为了账户安全,请先补充。
现在去补充
×
提示
您因"违规操作"
具体请查看互助需知
我知道了
×
提示
确定
请完成安全验证×
copy
已复制链接
快去分享给好友吧!
我知道了
右上角分享
点击右上角分享
0
联系我们:info@booksci.cn Book学术提供免费学术资源搜索服务,方便国内外学者检索中英文文献。致力于提供最便捷和优质的服务体验。 Copyright © 2023 布克学术 All rights reserved.
京ICP备2023020795号-1
ghs 京公网安备 11010802042870号
Book学术文献互助
Book学术文献互助群
群 号:604180095
Book学术官方微信