Right atrial metastasis after renal cell carcinoma operation: a case report.

IF 0.7 Q3 MEDICINE, GENERAL & INTERNAL
AME Case Reports Pub Date : 2025-01-17 eCollection Date: 2025-01-01 DOI:10.21037/acr-24-258
Mei-Juan Zhu, Yu Tang, Ya-Wei Shen, Shawn Dason, Ashorne Krithiesh Mahenthiran, Xian-Wen Zhang
{"title":"Right atrial metastasis after renal cell carcinoma operation: a case report.","authors":"Mei-Juan Zhu, Yu Tang, Ya-Wei Shen, Shawn Dason, Ashorne Krithiesh Mahenthiran, Xian-Wen Zhang","doi":"10.21037/acr-24-258","DOIUrl":null,"url":null,"abstract":"<p><strong>Background: </strong>Treatment options for patients with high-risk metastatic clear cell renal cell carcinoma (mccRCC) include immune checkpoint inhibitors and tyrosine kinase inhibitors (TKIs), but clinical manifestations and treatment of these patients are rarely reported because patients with cardiac metastases and abrupt circulatory disorders are very rare and there are no precise guidelines to follow. In this study, we analyzed and discussed the clinical characteristics, related characteristics, pathogenesis and treatment strategies of patients with cardiac metastases of kidney cancer, so as to provide reference for the diagnosis and treatment of cardiac metastatic tumors.</p><p><strong>Case description: </strong>The patient was diagnosed with renal cell carcinoma and underwent surgical radical resection, no special treatment was performed after surgery. Metastases of the right thigh muscles and both lungs were found after 4 years, and the patient was treated with 1 cycle of sunitinib + sintilimab. The patient had sudden symptoms of circulatory obstruction, computed tomography angiography (CTA) showed that the right atrial mass was occupied, and cardiac surgery was performed, and the postoperative pathology confirmed that it was kidney cancer heart metastasis, the operation was successful. The patient had aggravated lung infection after 2 weeks of follow-up, and the symptoms improved after treatment with antibiotics, anticoagulation, and nutritional support. This operation relieved the patient's circulatory embolism, saved the patient's life, and prolonged the patient's survival.</p><p><strong>Conclusions: </strong>This case study highlights the rare clinical manifestations of cardiac metastasis from ccRCC. For patients who have the opportunity for surgery, surgical treatment is recommended as the preferred option. Early detection and treatment are the key to prolonging the survival of patients with cardiac metastasis from tumors.</p>","PeriodicalId":29752,"journal":{"name":"AME Case Reports","volume":"9 ","pages":"35"},"PeriodicalIF":0.7000,"publicationDate":"2025-01-17","publicationTypes":"Journal Article","fieldsOfStudy":null,"isOpenAccess":false,"openAccessPdf":"https://www.ncbi.nlm.nih.gov/pmc/articles/PMC11759929/pdf/","citationCount":"0","resultStr":null,"platform":"Semanticscholar","paperid":null,"PeriodicalName":"AME Case Reports","FirstCategoryId":"1085","ListUrlMain":"https://doi.org/10.21037/acr-24-258","RegionNum":0,"RegionCategory":null,"ArticlePicture":[],"TitleCN":null,"AbstractTextCN":null,"PMCID":null,"EPubDate":"2025/1/1 0:00:00","PubModel":"eCollection","JCR":"Q3","JCRName":"MEDICINE, GENERAL & INTERNAL","Score":null,"Total":0}
引用次数: 0

Abstract

Background: Treatment options for patients with high-risk metastatic clear cell renal cell carcinoma (mccRCC) include immune checkpoint inhibitors and tyrosine kinase inhibitors (TKIs), but clinical manifestations and treatment of these patients are rarely reported because patients with cardiac metastases and abrupt circulatory disorders are very rare and there are no precise guidelines to follow. In this study, we analyzed and discussed the clinical characteristics, related characteristics, pathogenesis and treatment strategies of patients with cardiac metastases of kidney cancer, so as to provide reference for the diagnosis and treatment of cardiac metastatic tumors.

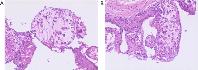
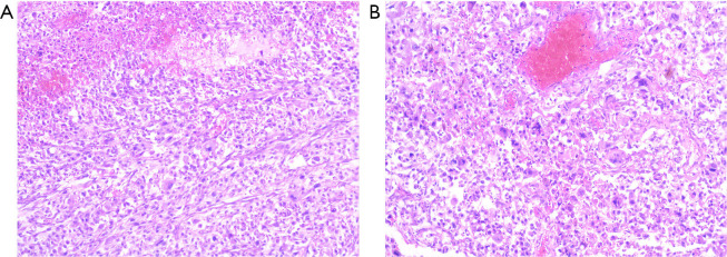
Case description: The patient was diagnosed with renal cell carcinoma and underwent surgical radical resection, no special treatment was performed after surgery. Metastases of the right thigh muscles and both lungs were found after 4 years, and the patient was treated with 1 cycle of sunitinib + sintilimab. The patient had sudden symptoms of circulatory obstruction, computed tomography angiography (CTA) showed that the right atrial mass was occupied, and cardiac surgery was performed, and the postoperative pathology confirmed that it was kidney cancer heart metastasis, the operation was successful. The patient had aggravated lung infection after 2 weeks of follow-up, and the symptoms improved after treatment with antibiotics, anticoagulation, and nutritional support. This operation relieved the patient's circulatory embolism, saved the patient's life, and prolonged the patient's survival.

Conclusions: This case study highlights the rare clinical manifestations of cardiac metastasis from ccRCC. For patients who have the opportunity for surgery, surgical treatment is recommended as the preferred option. Early detection and treatment are the key to prolonging the survival of patients with cardiac metastasis from tumors.

Abstract Image

Abstract Image

Abstract Image

肾细胞癌术后右心房转移1例。
背景:高风险转移性透明细胞肾细胞癌(mccRCC)患者的治疗选择包括免疫检查点抑制剂和酪氨酸激酶抑制剂(TKIs),但这些患者的临床表现和治疗很少报道,因为心脏转移和突发性循环系统疾病的患者非常罕见,并且没有精确的指南可循。本研究对肾癌心脏转移患者的临床特点、相关特征、发病机制及治疗策略进行分析和探讨,以期为心脏转移瘤的诊断和治疗提供参考。病例描述:患者确诊为肾细胞癌,行根治性手术切除,术后未行特殊治疗。4年后发现右大腿肌肉和双肺转移,患者接受1周期舒尼替尼+辛替单抗治疗。患者突然出现循环梗阻症状,ct血管造影(CTA)显示右心房肿块占位,行心脏手术,术后病理证实为肾癌心脏转移,手术成功。随访2周后患者肺部感染加重,经抗生素、抗凝、营养支持治疗后症状好转。该手术缓解了患者的循环栓塞,挽救了患者的生命,延长了患者的生存期。结论:本病例研究强调了ccRCC心脏转移的罕见临床表现。对于有手术机会的患者,建议首选手术治疗。早期发现和治疗是延长心脏肿瘤转移患者生存期的关键。
本文章由计算机程序翻译,如有差异,请以英文原文为准。
求助全文
约1分钟内获得全文 求助全文
来源期刊
自引率
0.00%
发文量
0
×
引用
GB/T 7714-2015
复制
MLA
复制
APA
复制
导出至
BibTeX EndNote RefMan NoteFirst NoteExpress
×
提示
您的信息不完整,为了账户安全,请先补充。
现在去补充
×
提示
您因"违规操作"
具体请查看互助需知
我知道了
×
提示
确定
请完成安全验证×
copy
已复制链接
快去分享给好友吧!
我知道了
右上角分享
点击右上角分享
0
联系我们:info@booksci.cn Book学术提供免费学术资源搜索服务,方便国内外学者检索中英文文献。致力于提供最便捷和优质的服务体验。 Copyright © 2023 布克学术 All rights reserved.
京ICP备2023020795号-1
ghs 京公网安备 11010802042870号
Book学术文献互助
Book学术文献互助群
群 号:604180095
Book学术官方微信