Prediction of isocitrate dehydrogenase mutation status in WHO grade II glioma by diffusion kurtosis imaging.

Polish journal of radiology Pub Date : 2024-12-20 eCollection Date: 2024-01-01 DOI:10.5114/pjr/195521
Wenjie Wu, Hui Zhang
{"title":"Prediction of isocitrate dehydrogenase mutation status in WHO grade II glioma by diffusion kurtosis imaging.","authors":"Wenjie Wu, Hui Zhang","doi":"10.5114/pjr/195521","DOIUrl":null,"url":null,"abstract":"<p><strong>Purpose: </strong>Isocitrate dehydrogenase (IDH) mutation status serves as a crucial prognostic indicator for glioma, typically assessed via immunohistochemical analysis post-surgery. Given the invasiveness of this approach, perhaps we can utilise convenient and noninvasive magnetic resonance imaging (MRI) methods to predict IDH mutation status. However, the current landscape lacks a standardised MRI technique for accurately predicting IDH mutations. In this study, we explore the potential of MRI diffusion kurtosis imaging (DKI) in forecasting the IDH mutation status of WHO grade II brain gliomas.</p><p><strong>Material and methods: </strong>Twenty-five patients with WHO grade II gliomas were retrospectively included. Patients underwent routine MRI and DKI scanning before surgery, measuring tumoural solid portion, peritumoral oedema, and normal-appearing white matter (NAWM) DKI parameters, including fractional anisotropy (FA), mean diffusivity (MD), mean kurtosis (MK), axial kurtosis (Ka), and axial radial kurtosis (Kr). The DKI parameter corrections were made (tumour or oedema parameters values divided by the NAWM value) to obtain the rFA (ratio of FA), rMD (ratio of MD), rMK (ratio of MK), rKA (ratio of KA), and rKr (ratio of Kr) values. Postoperative specimens were made of wax blocks and analysed by Sanger gene sequencing. DKI parameters between the 2 groups were compared by independent sample <i>t</i>-tests. The ROC curve was used to analyse the diagnostic value of each parameter.</p><p><strong>Results: </strong>Twenty-five patients were diagnosed with IDH-mutant (16 cases) and IDH-wild type (9 cases). The rFA and rMK values in the parenchymal region of IDH wild-type tumour were higher than those of IDH mutant, while the rMD values were lower than those of IDH mutant, and the difference between them was statistically significant (<i>p</i> < 0.05). The values of DKI parameters of peritumoral oedema in the 2 groups were not statistically significant.</p><p><strong>Conclusions: </strong>DKI can provide microstructural changes of diseased tissues and provide more imaging information for preoperative non-invasive judgment of IDH mutation status of WHO grade II gliomas. The values of rMK, rFA, and rMD are helpful in the assessment IDH mutation status, benefiting accurate diagnoses and treatment decisions.</p>","PeriodicalId":94174,"journal":{"name":"Polish journal of radiology","volume":"89 ","pages":"e566-e572"},"PeriodicalIF":0.0000,"publicationDate":"2024-12-20","publicationTypes":"Journal Article","fieldsOfStudy":null,"isOpenAccess":false,"openAccessPdf":"https://www.ncbi.nlm.nih.gov/pmc/articles/PMC11756366/pdf/","citationCount":"0","resultStr":null,"platform":"Semanticscholar","paperid":null,"PeriodicalName":"Polish journal of radiology","FirstCategoryId":"1085","ListUrlMain":"https://doi.org/10.5114/pjr/195521","RegionNum":0,"RegionCategory":null,"ArticlePicture":[],"TitleCN":null,"AbstractTextCN":null,"PMCID":null,"EPubDate":"2024/1/1 0:00:00","PubModel":"eCollection","JCR":"","JCRName":"","Score":null,"Total":0}
引用次数: 0

Abstract

Purpose: Isocitrate dehydrogenase (IDH) mutation status serves as a crucial prognostic indicator for glioma, typically assessed via immunohistochemical analysis post-surgery. Given the invasiveness of this approach, perhaps we can utilise convenient and noninvasive magnetic resonance imaging (MRI) methods to predict IDH mutation status. However, the current landscape lacks a standardised MRI technique for accurately predicting IDH mutations. In this study, we explore the potential of MRI diffusion kurtosis imaging (DKI) in forecasting the IDH mutation status of WHO grade II brain gliomas.

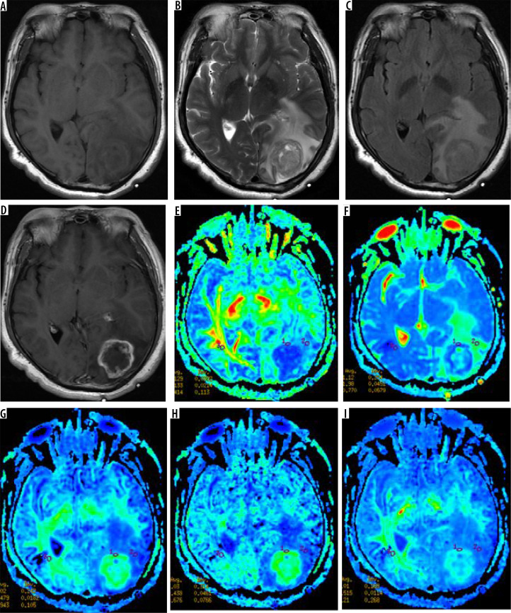
Material and methods: Twenty-five patients with WHO grade II gliomas were retrospectively included. Patients underwent routine MRI and DKI scanning before surgery, measuring tumoural solid portion, peritumoral oedema, and normal-appearing white matter (NAWM) DKI parameters, including fractional anisotropy (FA), mean diffusivity (MD), mean kurtosis (MK), axial kurtosis (Ka), and axial radial kurtosis (Kr). The DKI parameter corrections were made (tumour or oedema parameters values divided by the NAWM value) to obtain the rFA (ratio of FA), rMD (ratio of MD), rMK (ratio of MK), rKA (ratio of KA), and rKr (ratio of Kr) values. Postoperative specimens were made of wax blocks and analysed by Sanger gene sequencing. DKI parameters between the 2 groups were compared by independent sample t-tests. The ROC curve was used to analyse the diagnostic value of each parameter.

Results: Twenty-five patients were diagnosed with IDH-mutant (16 cases) and IDH-wild type (9 cases). The rFA and rMK values in the parenchymal region of IDH wild-type tumour were higher than those of IDH mutant, while the rMD values were lower than those of IDH mutant, and the difference between them was statistically significant (p < 0.05). The values of DKI parameters of peritumoral oedema in the 2 groups were not statistically significant.

Conclusions: DKI can provide microstructural changes of diseased tissues and provide more imaging information for preoperative non-invasive judgment of IDH mutation status of WHO grade II gliomas. The values of rMK, rFA, and rMD are helpful in the assessment IDH mutation status, benefiting accurate diagnoses and treatment decisions.

Abstract Image

Abstract Image

Abstract Image

弥散峰度成像预测WHOⅱ级胶质瘤异柠檬酸脱氢酶突变状态。
目的:异柠檬酸脱氢酶(IDH)突变状态是胶质瘤的重要预后指标,通常通过术后免疫组织化学分析来评估。鉴于这种方法的侵入性,也许我们可以利用方便和无创的磁共振成像(MRI)方法来预测IDH突变状态。然而,目前缺乏一种标准化的MRI技术来准确预测IDH突变。在这项研究中,我们探讨了MRI弥散峰度成像(DKI)在预测WHO II级脑胶质瘤中IDH突变状态的潜力。材料和方法:回顾性分析25例WHOⅱ级胶质瘤患者。患者术前行常规MRI和DKI扫描,测量肿瘤实性部分、瘤周水肿和外观正常的白质(NAWM) DKI参数,包括分数各向异性(FA)、平均扩散率(MD)、平均峰度(MK)、轴向峰度(Ka)和轴向径向峰度(Kr)。DKI参数修正(肿瘤或水肿参数值除以NAWM值)得到rFA (FA比)、rMD (MD比)、rMK (MK比)、rKA (KA比)和rKr (Kr比)值。术后标本用蜡块制作,Sanger基因测序分析。两组间DKI参数比较采用独立样本t检验。采用ROC曲线分析各参数的诊断价值。结果:25例患者诊断为idh突变型(16例)和野生型(9例)。IDH野生型肿瘤实质区域rFA、rMK值高于IDH突变体,rMD值低于IDH突变体,差异有统计学意义(p < 0.05)。两组肿瘤周围水肿DKI参数值比较,差异均无统计学意义。结论:DKI可提供病变组织的显微结构变化,为术前无创判断WHOⅱ级胶质瘤IDH突变状态提供更多影像学信息。rMK、rFA和rMD值有助于评估IDH突变状态,有助于准确诊断和治疗决策。
本文章由计算机程序翻译,如有差异,请以英文原文为准。
求助全文
约1分钟内获得全文 求助全文
来源期刊
CiteScore
2.10
自引率
0.00%
发文量
0
×
引用
GB/T 7714-2015
复制
MLA
复制
APA
复制
导出至
BibTeX EndNote RefMan NoteFirst NoteExpress
×
提示
您的信息不完整,为了账户安全,请先补充。
现在去补充
×
提示
您因"违规操作"
具体请查看互助需知
我知道了
×
提示
确定
请完成安全验证×
copy
已复制链接
快去分享给好友吧!
我知道了
右上角分享
点击右上角分享
0
联系我们:info@booksci.cn Book学术提供免费学术资源搜索服务,方便国内外学者检索中英文文献。致力于提供最便捷和优质的服务体验。 Copyright © 2023 布克学术 All rights reserved.
京ICP备2023020795号-1
ghs 京公网安备 11010802042870号
Book学术文献互助
Book学术文献互助群
群 号:604180095
Book学术官方微信