Subtrochanteric Fractures of The Femur: May a Short Nail Be a Reliable Option?

IF 1.8 Q3 ORTHOPEDICS
María Berta Alonso Polo, Claudio Peix, Paula Velasco, Sergio Marcos, Francisco Borja Sobrón, José Cordero Ampuero
{"title":"Subtrochanteric Fractures of The Femur: May a Short Nail Be a Reliable Option?","authors":"María Berta Alonso Polo, Claudio Peix, Paula Velasco, Sergio Marcos, Francisco Borja Sobrón, José Cordero Ampuero","doi":"10.22038/ABJS.2024.67182.3194","DOIUrl":null,"url":null,"abstract":"<p><strong>Objectives: </strong>Treatment of subtrochanteric fractures of the proximal femur may be challenging due to their anatomical and biomechanical features. Intramedullary nails are the most frequently used devices, although there is no consensus concerning their optimal length. The aim of this study is to compare the functional and radiological outcomes of the fragility subtrochanteric fractures treated with short versus long cephalomedullary nails.</p><p><strong>Methods: </strong>A retrospective cohort study was performed including all over-65-year-old patients that underwent surgery with a cephalomedullary nail between January 2013 to December 2020 due to a subtrochanteric fracture. The primary outcome was the presence of mechanical complications (cut out, cut in, varus consolidation, nonunion and nail breakage). Accuracy of the reduction, distance from the fracture line to most proximal distal screw, operative time and Palmer Mobility score were also analyzed.</p><p><strong>Results: </strong>Ninety-five patients were included. There were not significant differences in complication rate, Parker mobility score nor quality of reduction between both cohorts. Patients with a good radiological reduction presented no complications, those with an acceptable reduction presented a complication rate of 35.5% and it raised to 53.3% in poorly reduced ones (P=0.002). The complication rate was higher in the <5cm distance group (58.33%) than in the >5cm distance group (22.64%) (P=0.014).</p><p><strong>Conclusion: </strong>Anatomical reduction may be the key factor in the management of subtrochanteric fractures, in order to avoid complications. The chosen device working length should also be taken into account to treat these challenging injuries.</p>","PeriodicalId":46704,"journal":{"name":"Archives of Bone and Joint Surgery-ABJS","volume":"12 11","pages":"798-804"},"PeriodicalIF":1.8000,"publicationDate":"2024-01-01","publicationTypes":"Journal Article","fieldsOfStudy":null,"isOpenAccess":false,"openAccessPdf":"https://www.ncbi.nlm.nih.gov/pmc/articles/PMC11756541/pdf/","citationCount":"0","resultStr":null,"platform":"Semanticscholar","paperid":null,"PeriodicalName":"Archives of Bone and Joint Surgery-ABJS","FirstCategoryId":"1085","ListUrlMain":"https://doi.org/10.22038/ABJS.2024.67182.3194","RegionNum":0,"RegionCategory":null,"ArticlePicture":[],"TitleCN":null,"AbstractTextCN":null,"PMCID":null,"EPubDate":"","PubModel":"","JCR":"Q3","JCRName":"ORTHOPEDICS","Score":null,"Total":0}
引用次数: 0

Abstract

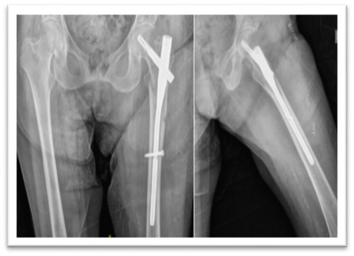
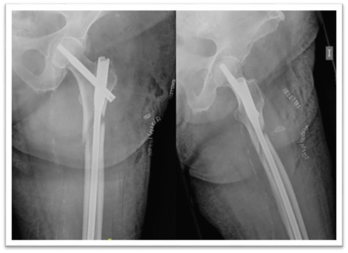
Objectives: Treatment of subtrochanteric fractures of the proximal femur may be challenging due to their anatomical and biomechanical features. Intramedullary nails are the most frequently used devices, although there is no consensus concerning their optimal length. The aim of this study is to compare the functional and radiological outcomes of the fragility subtrochanteric fractures treated with short versus long cephalomedullary nails.

Methods: A retrospective cohort study was performed including all over-65-year-old patients that underwent surgery with a cephalomedullary nail between January 2013 to December 2020 due to a subtrochanteric fracture. The primary outcome was the presence of mechanical complications (cut out, cut in, varus consolidation, nonunion and nail breakage). Accuracy of the reduction, distance from the fracture line to most proximal distal screw, operative time and Palmer Mobility score were also analyzed.

Results: Ninety-five patients were included. There were not significant differences in complication rate, Parker mobility score nor quality of reduction between both cohorts. Patients with a good radiological reduction presented no complications, those with an acceptable reduction presented a complication rate of 35.5% and it raised to 53.3% in poorly reduced ones (P=0.002). The complication rate was higher in the <5cm distance group (58.33%) than in the >5cm distance group (22.64%) (P=0.014).

Conclusion: Anatomical reduction may be the key factor in the management of subtrochanteric fractures, in order to avoid complications. The chosen device working length should also be taken into account to treat these challenging injuries.

Abstract Image

Abstract Image

Abstract Image

股骨粗隆下骨折:短钉是可靠的选择吗?
目的:股骨近端转子下骨折由于其解剖和生物力学特征,治疗可能具有挑战性。髓内钉是最常用的设备,尽管对其最佳长度没有共识。本研究的目的是比较短髓内钉和长髓内钉治疗脆性转子下骨折的功能和影像学结果。方法:回顾性队列研究纳入2013年1月至2020年12月期间因转子下骨折接受颅髓内钉手术的所有65岁以上患者。主要结果是出现机械并发症(切开、内翻、内翻巩固、不愈合和指甲断裂)。同时分析复位的准确性、骨折线到最近端远端螺钉的距离、手术时间和Palmer Mobility评分。结果:纳入95例患者。两组患者的并发症发生率、帕克活动能力评分和复位质量均无显著差异。放射学复位良好的患者无并发症,复位良好的患者并发症发生率为35.5%,复位不良的患者并发症发生率为53.3% (P=0.002)。5cm组并发症发生率较高(22.64%)(P=0.014)。结论:解剖复位可能是治疗转子下骨折的关键因素,以避免并发症。选择的设备工作长度也应考虑到治疗这些具有挑战性的伤害。
本文章由计算机程序翻译,如有差异,请以英文原文为准。
求助全文
约1分钟内获得全文 求助全文
来源期刊
CiteScore
2.30
自引率
0.00%
发文量
128
期刊介绍: The Archives of Bone and Joint Surgery (ABJS) aims to encourage a better understanding of all aspects of Orthopedic Sciences. The journal accepts scientific papers including original research, review article, short communication, case report, and letter to the editor in all fields of bone, joint, musculoskeletal surgery and related researches. The Archives of Bone and Joint Surgery (ABJS) will publish papers in all aspects of today`s modern orthopedic sciences including: Arthroscopy, Arthroplasty, Sport Medicine, Reconstruction, Hand and Upper Extremity, Pediatric Orthopedics, Spine, Trauma, Foot and Ankle, Tumor, Joint Rheumatic Disease, Skeletal Imaging, Orthopedic Physical Therapy, Rehabilitation, Orthopedic Basic Sciences (Biomechanics, Biotechnology, Biomaterial..).
×
引用
GB/T 7714-2015
复制
MLA
复制
APA
复制
导出至
BibTeX EndNote RefMan NoteFirst NoteExpress
×
提示
您的信息不完整,为了账户安全,请先补充。
现在去补充
×
提示
您因"违规操作"
具体请查看互助需知
我知道了
×
提示
确定
请完成安全验证×
copy
已复制链接
快去分享给好友吧!
我知道了
右上角分享
点击右上角分享
0
联系我们:info@booksci.cn Book学术提供免费学术资源搜索服务,方便国内外学者检索中英文文献。致力于提供最便捷和优质的服务体验。 Copyright © 2023 布克学术 All rights reserved.
京ICP备2023020795号-1
ghs 京公网安备 11010802042870号
Book学术文献互助
Book学术文献互助群
群 号:604180095
Book学术官方微信