Scrub typhus associated with reactive arthritis: A case report and literature review

IF 1 Q4 INFECTIOUS DISEASES
IDCases Pub Date : 2025-01-01 DOI:10.1016/j.idcr.2024.e02143
Shinya Yamanaka , Kazuhiro Ishikawa , Miyako Kon , Junko Aoki , Kunimichi Saeki , Junta Tanaka
{"title":"Scrub typhus associated with reactive arthritis: A case report and literature review","authors":"Shinya Yamanaka ,&nbsp;Kazuhiro Ishikawa ,&nbsp;Miyako Kon ,&nbsp;Junko Aoki ,&nbsp;Kunimichi Saeki ,&nbsp;Junta Tanaka","doi":"10.1016/j.idcr.2024.e02143","DOIUrl":null,"url":null,"abstract":"<div><div>Scrub typhus (tsutsugamushi disease) is an acute febrile illness caused by <em>Orientia tsutsugamushi</em>, often found in Asia and Oceania. The presence of an eschar, characterized by a crust, is a key diagnostic finding. Many symptoms of this disease are already known, however reactive arthritis following scrub typhus is very rare. Here, we present a case of 79-year-old man who was referred to our hospital because of continuous fever and left shoulder pain. We found 4-fold rise in <em>Orientia tsutugamushi</em>-specific IgG titer using paired serum samples and <em>Orientia</em> sp. genes by real-time PCR from a crust of right thigh. And the left shoulder joint image was consistent with aseptic arthritis; thus we diagnosed as scrub typhus with reactive arthritis. This case highlights the importance of recognizing reactive arthritis as a symptom of scrub typhus. In this report, we also review published cases of reactive arthritis associated with scrub typhus, and we suppose that this arthritis related to this infection may recover after antibiotic use and have a good prognosis. Physicians' awareness of newly appeared arthritis may contribute to facilitate early diagnosis, and may improve the course of such patients.</div></div>","PeriodicalId":47045,"journal":{"name":"IDCases","volume":"39 ","pages":"Article e02143"},"PeriodicalIF":1.0000,"publicationDate":"2025-01-01","publicationTypes":"Journal Article","fieldsOfStudy":null,"isOpenAccess":false,"openAccessPdf":"https://www.ncbi.nlm.nih.gov/pmc/articles/PMC11753909/pdf/","citationCount":"0","resultStr":null,"platform":"Semanticscholar","paperid":null,"PeriodicalName":"IDCases","FirstCategoryId":"1085","ListUrlMain":"https://www.sciencedirect.com/science/article/pii/S2214250924002191","RegionNum":0,"RegionCategory":null,"ArticlePicture":[],"TitleCN":null,"AbstractTextCN":null,"PMCID":null,"EPubDate":"","PubModel":"","JCR":"Q4","JCRName":"INFECTIOUS DISEASES","Score":null,"Total":0}
引用次数: 0

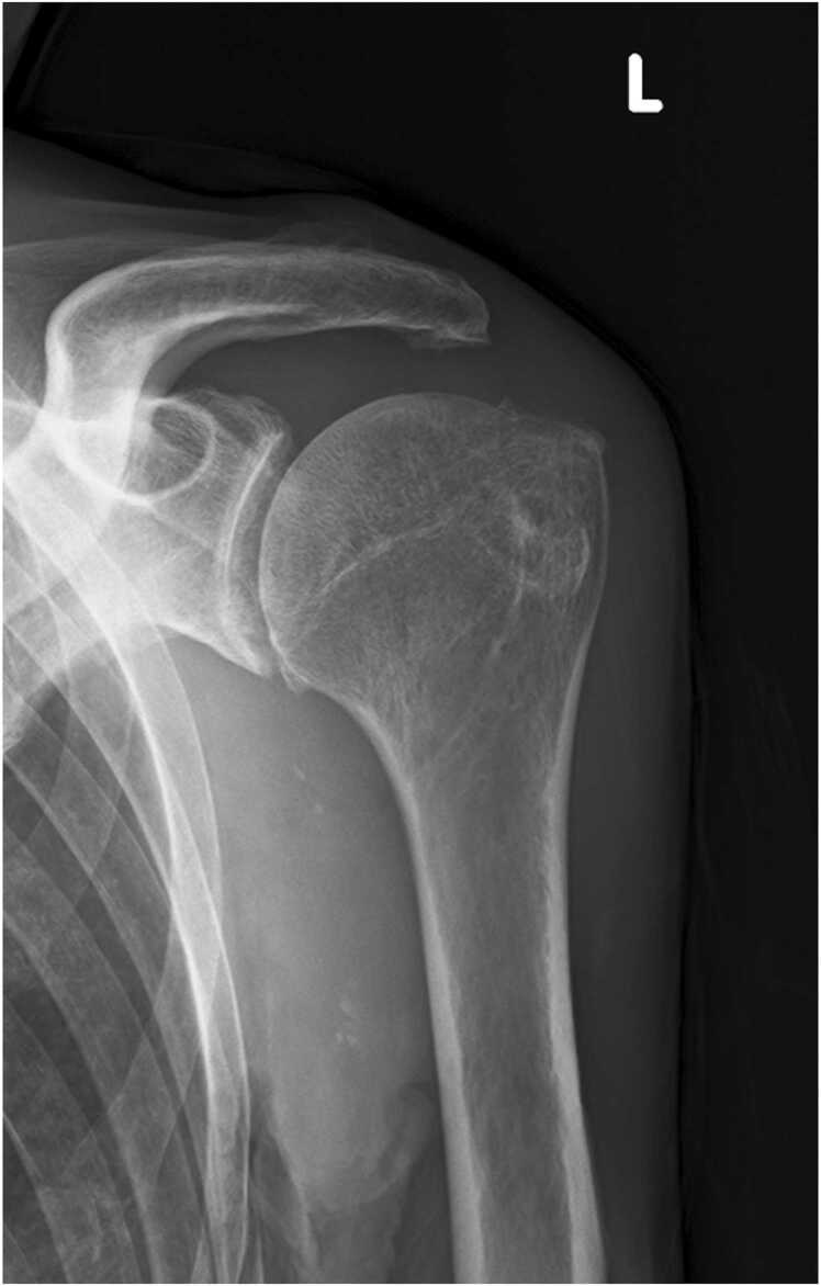
Abstract

Scrub typhus (tsutsugamushi disease) is an acute febrile illness caused by Orientia tsutsugamushi, often found in Asia and Oceania. The presence of an eschar, characterized by a crust, is a key diagnostic finding. Many symptoms of this disease are already known, however reactive arthritis following scrub typhus is very rare. Here, we present a case of 79-year-old man who was referred to our hospital because of continuous fever and left shoulder pain. We found 4-fold rise in Orientia tsutugamushi-specific IgG titer using paired serum samples and Orientia sp. genes by real-time PCR from a crust of right thigh. And the left shoulder joint image was consistent with aseptic arthritis; thus we diagnosed as scrub typhus with reactive arthritis. This case highlights the importance of recognizing reactive arthritis as a symptom of scrub typhus. In this report, we also review published cases of reactive arthritis associated with scrub typhus, and we suppose that this arthritis related to this infection may recover after antibiotic use and have a good prognosis. Physicians' awareness of newly appeared arthritis may contribute to facilitate early diagnosis, and may improve the course of such patients.

Abstract Image

Abstract Image

Abstract Image

恙虫病伴反应性关节炎1例报告及文献复习。
恙虫病(恙虫病)是一种由恙虫病东方体引起的急性发热性疾病,常见于亚洲和大洋洲。痂的存在,以地壳为特征,是一个关键的诊断发现。这种疾病的许多症状已经为人所知,然而,恙虫病后反应性关节炎是非常罕见的。在这里,我们提出一个79岁的男子谁是转介到我们医院,因为持续发烧和左肩疼痛。利用配对的血清样本和从右大腿包皮提取的东方氏体基因,我们发现其特异性IgG滴度上升了4倍。左肩关节像符合无菌性关节炎;因此我们诊断为恙虫病伴反应性关节炎。本病例强调了将反应性关节炎视为恙虫病症状的重要性。在本报告中,我们也回顾了已发表的与恙虫病相关的反应性关节炎病例,我们认为与这种感染相关的关节炎在使用抗生素后可能会恢复,并且预后良好。医生对新出现的关节炎的认识可能有助于早期诊断,并可能改善这类患者的病程。
本文章由计算机程序翻译,如有差异,请以英文原文为准。
求助全文
约1分钟内获得全文 求助全文
来源期刊
IDCases
IDCases INFECTIOUS DISEASES-
CiteScore
2.60
自引率
6.70%
发文量
300
审稿时长
10 weeks
×
引用
GB/T 7714-2015
复制
MLA
复制
APA
复制
导出至
BibTeX EndNote RefMan NoteFirst NoteExpress
×
提示
您的信息不完整,为了账户安全,请先补充。
现在去补充
×
提示
您因"违规操作"
具体请查看互助需知
我知道了
×
提示
确定
请完成安全验证×
copy
已复制链接
快去分享给好友吧!
我知道了
右上角分享
点击右上角分享
0
联系我们:info@booksci.cn Book学术提供免费学术资源搜索服务,方便国内外学者检索中英文文献。致力于提供最便捷和优质的服务体验。 Copyright © 2023 布克学术 All rights reserved.
京ICP备2023020795号-1
ghs 京公网安备 11010802042870号
Book学术文献互助
Book学术文献互助群
群 号:604180095
Book学术官方微信