Insight into Covid Associated Mucormycosis: A Prospective Study.

Q3 Medicine
Avinash-Shekhar Jaiswal, Aanchal Kakkar, Kavneet Kaur, Alok Thakar, Kapil Sikka, Hitesh Verma
{"title":"Insight into Covid Associated Mucormycosis: A Prospective Study.","authors":"Avinash-Shekhar Jaiswal, Aanchal Kakkar, Kavneet Kaur, Alok Thakar, Kapil Sikka, Hitesh Verma","doi":"10.22038/ijorl.2024.78990.3662","DOIUrl":null,"url":null,"abstract":"<p><strong>Introduction: </strong>The notable increase in cases of rhino-orbito-cerebral Mucormycosis during the COVID pandemic is alarming. Both share a common route of entry, the nasal mucosa, leading to speculation about whether similar receptors play a role in both diseases. We aim to compare the expression of ACE2 and TMPRSS2 in the nasal and paranasal sinus tissues among patients with COVID-19-associated Mucormycosis (CAM), COVID-19-negative mucormycosis (CNM), and healthy individuals.</p><p><strong>Materials and methods: </strong>This prospective study included patients with CAM, CNM, and healthy individuals who underwent surgical management. Immunohistochemistry was performed in the sino-nasal tissue to detect the presence of ACE2 and TMPRSS2 receptors. The level was compared among the three groups.</p><p><strong>Results: </strong>The study encompassed 44 patients with CAN, 20 with CNM, and ten healthy individuals. ACE2 positivity was seen only in the apical cilia, with no significant difference among the groups (p=0.6). In contrast, TMPRSS2 positivity was seen in the cytoplasm and nucleus of epithelium and submucosal glands in addition to apical cilia. TMPRSS2 was increasingly expressed in patients with CAM compared to CNM (p=0.009) and the healthy group (p=0.002).</p><p><strong>Conclusion: </strong>The expression of TMPRSS2 receptors is elevated in patients with COVID-19-associated mucormycosis with no significant change in the expression of ACE2 receptors. This finding could account for the heightened susceptibility to infection by SARS-CoV-2 and the subsequent immune dysregulation, providing a fertile ground for Mucorales co-infection.</p>","PeriodicalId":14607,"journal":{"name":"Iranian Journal of Otorhinolaryngology","volume":"37 1","pages":"27-32"},"PeriodicalIF":0.0000,"publicationDate":"2025-01-01","publicationTypes":"Journal Article","fieldsOfStudy":null,"isOpenAccess":false,"openAccessPdf":"https://www.ncbi.nlm.nih.gov/pmc/articles/PMC11750639/pdf/","citationCount":"0","resultStr":null,"platform":"Semanticscholar","paperid":null,"PeriodicalName":"Iranian Journal of Otorhinolaryngology","FirstCategoryId":"1085","ListUrlMain":"https://doi.org/10.22038/ijorl.2024.78990.3662","RegionNum":0,"RegionCategory":null,"ArticlePicture":[],"TitleCN":null,"AbstractTextCN":null,"PMCID":null,"EPubDate":"","PubModel":"","JCR":"Q3","JCRName":"Medicine","Score":null,"Total":0}
引用次数: 0

Abstract

Introduction: The notable increase in cases of rhino-orbito-cerebral Mucormycosis during the COVID pandemic is alarming. Both share a common route of entry, the nasal mucosa, leading to speculation about whether similar receptors play a role in both diseases. We aim to compare the expression of ACE2 and TMPRSS2 in the nasal and paranasal sinus tissues among patients with COVID-19-associated Mucormycosis (CAM), COVID-19-negative mucormycosis (CNM), and healthy individuals.

Materials and methods: This prospective study included patients with CAM, CNM, and healthy individuals who underwent surgical management. Immunohistochemistry was performed in the sino-nasal tissue to detect the presence of ACE2 and TMPRSS2 receptors. The level was compared among the three groups.

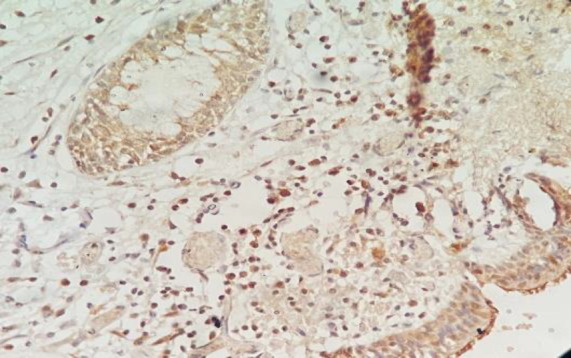
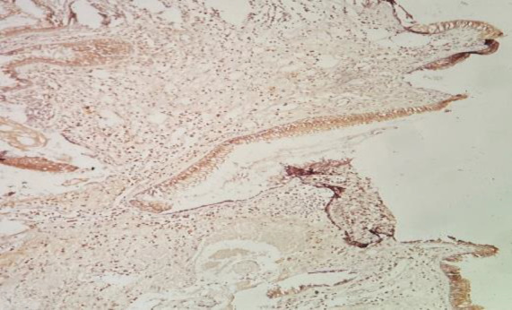
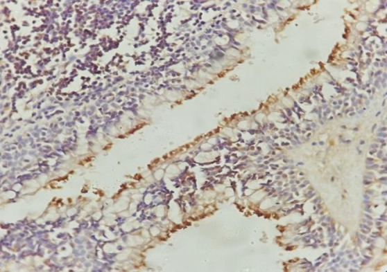
Results: The study encompassed 44 patients with CAN, 20 with CNM, and ten healthy individuals. ACE2 positivity was seen only in the apical cilia, with no significant difference among the groups (p=0.6). In contrast, TMPRSS2 positivity was seen in the cytoplasm and nucleus of epithelium and submucosal glands in addition to apical cilia. TMPRSS2 was increasingly expressed in patients with CAM compared to CNM (p=0.009) and the healthy group (p=0.002).

Conclusion: The expression of TMPRSS2 receptors is elevated in patients with COVID-19-associated mucormycosis with no significant change in the expression of ACE2 receptors. This finding could account for the heightened susceptibility to infection by SARS-CoV-2 and the subsequent immune dysregulation, providing a fertile ground for Mucorales co-infection.

Abstract Image

Abstract Image

Abstract Image

洞察Covid相关毛霉病:一项前瞻性研究
导语:在COVID大流行期间,鼻-眶-脑毛霉菌病病例的显著增加令人震惊。这两种疾病都有一个共同的进入途径,即鼻黏膜,这导致人们猜测,在这两种疾病中,是否有类似的受体发挥作用。我们的目的是比较ACE2和TMPRSS2在covid -19相关毛霉菌病(CAM)患者、covid -19阴性毛霉菌病(CNM)患者和健康人鼻窦和副鼻窦组织中的表达。材料和方法:这项前瞻性研究包括CAM、CNM患者和接受手术治疗的健康个体。采用免疫组化方法检测鼻黏膜组织中ACE2和TMPRSS2受体的存在。比较三组间的水平。结果:本研究纳入44例CAN患者,20例CNM患者和10例健康人。ACE2仅在根尖纤毛呈阳性,组间差异无统计学意义(p=0.6)。TMPRSS2在上皮细胞质、细胞核、粘膜下腺及根尖纤毛中均呈阳性。TMPRSS2在CAM患者中的表达高于CNM (p=0.009)和健康组(p=0.002)。结论:新冠病毒相关毛霉病患者中TMPRSS2受体表达升高,ACE2受体表达无明显变化。这一发现可以解释对SARS-CoV-2感染的易感性增加以及随后的免疫失调,为毛霉菌合并感染提供了肥沃的土壤。
本文章由计算机程序翻译,如有差异,请以英文原文为准。
求助全文
约1分钟内获得全文 求助全文
来源期刊
Iranian Journal of Otorhinolaryngology
Iranian Journal of Otorhinolaryngology Medicine-Otorhinolaryngology
CiteScore
1.30
自引率
0.00%
发文量
72
审稿时长
12 weeks
×
引用
GB/T 7714-2015
复制
MLA
复制
APA
复制
导出至
BibTeX EndNote RefMan NoteFirst NoteExpress
×
提示
您的信息不完整,为了账户安全,请先补充。
现在去补充
×
提示
您因"违规操作"
具体请查看互助需知
我知道了
×
提示
确定
请完成安全验证×
copy
已复制链接
快去分享给好友吧!
我知道了
右上角分享
点击右上角分享
0
联系我们:info@booksci.cn Book学术提供免费学术资源搜索服务,方便国内外学者检索中英文文献。致力于提供最便捷和优质的服务体验。 Copyright © 2023 布克学术 All rights reserved.
京ICP备2023020795号-1
ghs 京公网安备 11010802042870号
Book学术文献互助
Book学术文献互助群
群 号:604180095
Book学术官方微信