Congenital toxoplasmosis in infants from chronically infected mothers: report of two cases.

IF 2
Roberta Rassi Almeida, Geovana Batista de Campos, Ana Maria Castro
{"title":"Congenital toxoplasmosis in infants from chronically infected mothers: report of two cases.","authors":"Roberta Rassi Almeida, Geovana Batista de Campos, Ana Maria Castro","doi":"10.1590/1984-0462/2025/43/2024120","DOIUrl":null,"url":null,"abstract":"<p><strong>Objective: </strong>To describe two severe cases of congenital toxoplasmosis in infants born to chronically infected mothers who did not receive education or information on the prevention of gestational toxoplasmosis during prenatal care.</p><p><strong>Case description: </strong>The mothers had a previous serological diagnosis of toxoplasmosis conducted during prenatal care, with non-reactive (<10 IU/mL) IgM and reactive IgG (>10 IU/mL), and were considered \"immune\" to the infection. Both infants were born with sequelae of the congenital infection, including neurological and ocular alterations.</p><p><strong>Comments: </strong>Managing gestational toxoplasmosis in susceptible pregnant women is a considerable challenge in several countries, especially in South America. It is necessary to diagnose and monitor chronic gestational toxoplasmosis, as it may result from reactivation or reinfection. Both forms can cause sequelae and irreparable damage to newborns. In addition, it is essential to guide all pregnant women on how to avoid contact with Toxoplasma gondii, regardless of their serological status.</p>","PeriodicalId":74721,"journal":{"name":"Revista paulista de pediatria : orgao oficial da Sociedade de Pediatria de Sao Paulo","volume":"43 ","pages":"e2024120"},"PeriodicalIF":2.0000,"publicationDate":"2025-01-17","publicationTypes":"Journal Article","fieldsOfStudy":null,"isOpenAccess":false,"openAccessPdf":"https://www.ncbi.nlm.nih.gov/pmc/articles/PMC11741226/pdf/","citationCount":"0","resultStr":null,"platform":"Semanticscholar","paperid":null,"PeriodicalName":"Revista paulista de pediatria : orgao oficial da Sociedade de Pediatria de Sao Paulo","FirstCategoryId":"1085","ListUrlMain":"https://doi.org/10.1590/1984-0462/2025/43/2024120","RegionNum":0,"RegionCategory":null,"ArticlePicture":[],"TitleCN":null,"AbstractTextCN":null,"PMCID":null,"EPubDate":"2025/1/1 0:00:00","PubModel":"eCollection","JCR":"","JCRName":"","Score":null,"Total":0}
引用次数: 0

Abstract

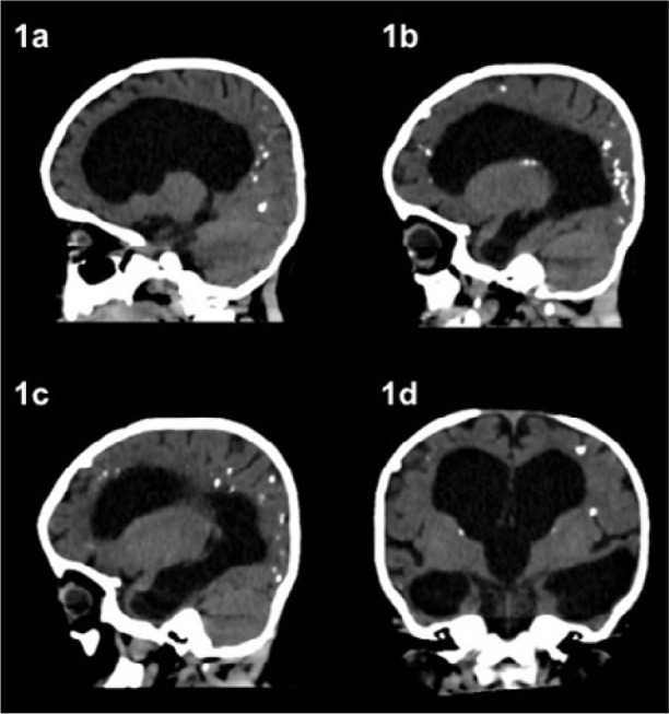
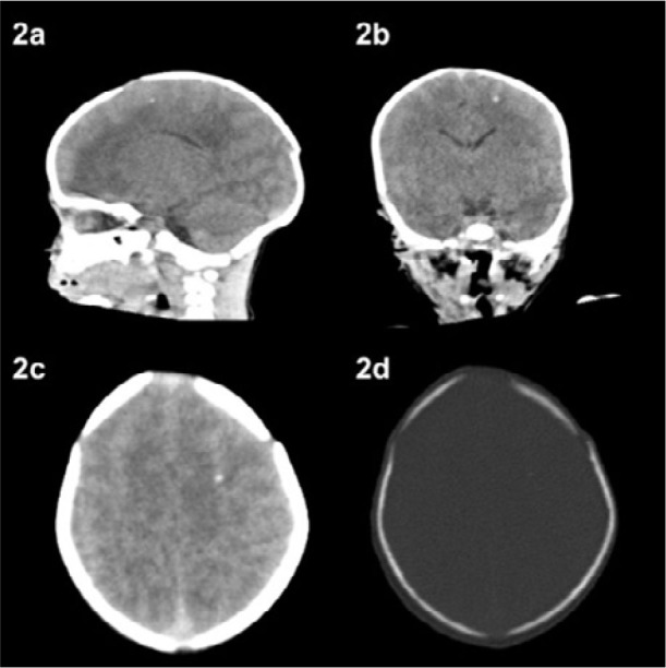
Objective: To describe two severe cases of congenital toxoplasmosis in infants born to chronically infected mothers who did not receive education or information on the prevention of gestational toxoplasmosis during prenatal care.

Case description: The mothers had a previous serological diagnosis of toxoplasmosis conducted during prenatal care, with non-reactive (<10 IU/mL) IgM and reactive IgG (>10 IU/mL), and were considered "immune" to the infection. Both infants were born with sequelae of the congenital infection, including neurological and ocular alterations.

Comments: Managing gestational toxoplasmosis in susceptible pregnant women is a considerable challenge in several countries, especially in South America. It is necessary to diagnose and monitor chronic gestational toxoplasmosis, as it may result from reactivation or reinfection. Both forms can cause sequelae and irreparable damage to newborns. In addition, it is essential to guide all pregnant women on how to avoid contact with Toxoplasma gondii, regardless of their serological status.

Abstract Image

Abstract Image

慢性感染母亲所生婴儿的先天性弓形虫病:两例报告。
目的:描述慢性弓形虫病母亲在产前护理中未接受有关预防妊娠期弓形虫病的教育或信息所生的2例严重先天性弓形虫病婴儿。病例描述:这些母亲在产前检查时进行了弓形虫病血清学诊断,无反应性(10 IU/mL),并被认为对感染“免疫”。这两个婴儿出生时都有先天性感染的后遗症,包括神经和眼部的改变。评论:在一些国家,特别是在南美洲,管理易感孕妇的妊娠期弓形虫病是一项相当大的挑战。诊断和监测慢性妊娠弓形虫病是必要的,因为它可能是由再激活或再感染引起的。这两种形式都会对新生儿造成后遗症和不可挽回的损害。此外,无论其血清学状况如何,都必须指导所有孕妇如何避免接触刚地弓形虫。
本文章由计算机程序翻译,如有差异,请以英文原文为准。
求助全文
约1分钟内获得全文 求助全文
来源期刊
自引率
0.00%
发文量
0
×
引用
GB/T 7714-2015
复制
MLA
复制
APA
复制
导出至
BibTeX EndNote RefMan NoteFirst NoteExpress
×
提示
您的信息不完整,为了账户安全,请先补充。
现在去补充
×
提示
您因"违规操作"
具体请查看互助需知
我知道了
×
提示
确定
请完成安全验证×
copy
已复制链接
快去分享给好友吧!
我知道了
右上角分享
点击右上角分享
0
联系我们:info@booksci.cn Book学术提供免费学术资源搜索服务,方便国内外学者检索中英文文献。致力于提供最便捷和优质的服务体验。 Copyright © 2023 布克学术 All rights reserved.
京ICP备2023020795号-1
ghs 京公网安备 11010802042870号
Book学术文献互助
Book学术文献互助群
群 号:604180095
Book学术官方微信