A Rare Case of Linear Phlebolith: Foreign Body Discovered in the Femoral Vein.

IF 0.5 Q4 SURGERY
Case Reports in Surgery Pub Date : 2025-01-10 eCollection Date: 2025-01-01 DOI:10.1155/cris/8824786
Tariq Alanezi, Abdulmajeed Altoijry, Kaisor Iqbal, Saeed Alabduljabbar, Mohammed Yousef Aldossary, Sultan AlSheikh
{"title":"A Rare Case of Linear Phlebolith: Foreign Body Discovered in the Femoral Vein.","authors":"Tariq Alanezi, Abdulmajeed Altoijry, Kaisor Iqbal, Saeed Alabduljabbar, Mohammed Yousef Aldossary, Sultan AlSheikh","doi":"10.1155/cris/8824786","DOIUrl":null,"url":null,"abstract":"<p><p><b>Introduction:</b> Phlebolith is a term that refers to round-shaped calcified thrombi commonly located in the pelvic region. The occurrence of dense, linear calcifications or phlebolith-like formations within the soft tissues of the lower extremities, particularly in the superficial femoral, greater saphenous, or popliteal veins, is rare. <b>Patient Concerns:</b> This study presents the case of a 73-year-old woman who was being evaluated for postmenopausal bleeding. During the patient's diagnostic workup, an incidental linear-shaped phlebolith was discovered. She had a positive history of deep vein thrombosis (DVT) for 36 years following her previous vaginal delivery. <b>Diagnosis:</b> Upon further examination and imaging, the patient was found to have a chronic calcified thrombus in the iliofemoral, popliteal, great saphenous, and superficial femoral veins, which was initially reported as a foreign body in the femoral vein on computed tomography (CT). <b>Interventions and Outcomes:</b> Conservative management was undertaken, with no worsening of her condition upon further follow-up. <b>Conclusion:</b> This study showcased a rare form of a radiographically visible calcified thrombus in the veins of the lower extremities of our patient. Calcified venous thrombosis in the lower extremities is rare, as previously documented cases of venous calcifications have been observed in the pelvis with round shapes or as phleboliths. The common presentations differ from those in our case, making it important to consider such cases when formulating a differential diagnosis. While the precise mechanisms behind the formation of calcified thrombi remain unclear, this study emphasizes the significance of further exploration and future case studies to shed light on this enigmatic phenomenon.</p>","PeriodicalId":9600,"journal":{"name":"Case Reports in Surgery","volume":"2025 ","pages":"8824786"},"PeriodicalIF":0.5000,"publicationDate":"2025-01-10","publicationTypes":"Journal Article","fieldsOfStudy":null,"isOpenAccess":false,"openAccessPdf":"https://www.ncbi.nlm.nih.gov/pmc/articles/PMC11752081/pdf/","citationCount":"0","resultStr":null,"platform":"Semanticscholar","paperid":null,"PeriodicalName":"Case Reports in Surgery","FirstCategoryId":"1085","ListUrlMain":"https://doi.org/10.1155/cris/8824786","RegionNum":0,"RegionCategory":null,"ArticlePicture":[],"TitleCN":null,"AbstractTextCN":null,"PMCID":null,"EPubDate":"2025/1/1 0:00:00","PubModel":"eCollection","JCR":"Q4","JCRName":"SURGERY","Score":null,"Total":0}
引用次数: 0

Abstract

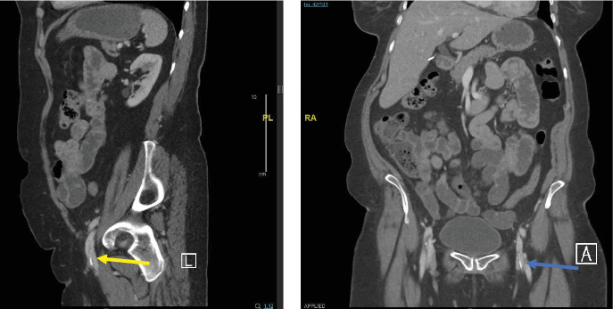
Introduction: Phlebolith is a term that refers to round-shaped calcified thrombi commonly located in the pelvic region. The occurrence of dense, linear calcifications or phlebolith-like formations within the soft tissues of the lower extremities, particularly in the superficial femoral, greater saphenous, or popliteal veins, is rare. Patient Concerns: This study presents the case of a 73-year-old woman who was being evaluated for postmenopausal bleeding. During the patient's diagnostic workup, an incidental linear-shaped phlebolith was discovered. She had a positive history of deep vein thrombosis (DVT) for 36 years following her previous vaginal delivery. Diagnosis: Upon further examination and imaging, the patient was found to have a chronic calcified thrombus in the iliofemoral, popliteal, great saphenous, and superficial femoral veins, which was initially reported as a foreign body in the femoral vein on computed tomography (CT). Interventions and Outcomes: Conservative management was undertaken, with no worsening of her condition upon further follow-up. Conclusion: This study showcased a rare form of a radiographically visible calcified thrombus in the veins of the lower extremities of our patient. Calcified venous thrombosis in the lower extremities is rare, as previously documented cases of venous calcifications have been observed in the pelvis with round shapes or as phleboliths. The common presentations differ from those in our case, making it important to consider such cases when formulating a differential diagnosis. While the precise mechanisms behind the formation of calcified thrombi remain unclear, this study emphasizes the significance of further exploration and future case studies to shed light on this enigmatic phenomenon.

Abstract Image

Abstract Image

线状静脉结石一例:股静脉内发现异物。
导言:静脉结石是一个术语,指的是通常位于骨盆区域的圆形钙化血栓。在下肢软组织,特别是在股浅静脉、大隐静脉或腘静脉中,发生致密的线状钙化或静脉样形成是罕见的。患者关注:本研究提出了一个73岁的妇女谁是评估绝经后出血的情况。在病人的诊断检查中,偶然发现了线状静脉结石。她有深静脉血栓(DVT)阳性病史36年后,她的阴道分娩。诊断:经进一步检查和影像学检查,发现患者在髂股静脉、腘静脉、大隐静脉和股浅静脉有慢性钙化血栓,最初在CT上报告为股静脉异物。干预措施和结果:采取保守治疗,进一步随访时病情未恶化。结论:本研究显示了一个罕见的形式的钙化血栓在我们的病人的下肢静脉放射可见。下肢静脉钙化血栓是罕见的,因为以前有文献记载的静脉钙化病例在圆形骨盆或静脉结石中被观察到。常见的表现与我们的病例不同,因此在制定鉴别诊断时考虑这些病例很重要。虽然钙化血栓形成的确切机制尚不清楚,但本研究强调了进一步探索和未来案例研究的重要性,以阐明这一神秘现象。
本文章由计算机程序翻译,如有差异,请以英文原文为准。
求助全文
约1分钟内获得全文 求助全文
来源期刊
自引率
0.00%
发文量
60
审稿时长
13 weeks
×
引用
GB/T 7714-2015
复制
MLA
复制
APA
复制
导出至
BibTeX EndNote RefMan NoteFirst NoteExpress
×
提示
您的信息不完整,为了账户安全,请先补充。
现在去补充
×
提示
您因"违规操作"
具体请查看互助需知
我知道了
×
提示
确定
请完成安全验证×
copy
已复制链接
快去分享给好友吧!
我知道了
右上角分享
点击右上角分享
0
联系我们:info@booksci.cn Book学术提供免费学术资源搜索服务,方便国内外学者检索中英文文献。致力于提供最便捷和优质的服务体验。 Copyright © 2023 布克学术 All rights reserved.
京ICP备2023020795号-1
ghs 京公网安备 11010802042870号
Book学术文献互助
Book学术文献互助群
群 号:604180095
Book学术官方微信