Clinicopathological and microbiological study of fungal rhinosinusitis treated with endoscopic surgery.

IF 2.1 4区 医学 Q2 OTORHINOLARYNGOLOGY
Acta Otorhinolaryngologica Italica Pub Date : 2025-04-01 Epub Date: 2025-01-15 DOI:10.14639/0392-100X-N2808
Vladan Milutinović, Aleksandar Trivić, Ivana Čolović-Čalovski, Jovica Milovanović, Sanja Colić, Snežana Babac, Nada Tomanović, Zorana Radin
{"title":"Clinicopathological and microbiological study of fungal rhinosinusitis treated with endoscopic surgery.","authors":"Vladan Milutinović, Aleksandar Trivić, Ivana Čolović-Čalovski, Jovica Milovanović, Sanja Colić, Snežana Babac, Nada Tomanović, Zorana Radin","doi":"10.14639/0392-100X-N2808","DOIUrl":null,"url":null,"abstract":"<p><strong>Objective: </strong>The objective of this study was to analyse the aetiology, clinical presentations, histopathology and microbiological aspects of fungal rhinosinusitis (FRS) in patients undergoing endoscopic surgery.</p><p><strong>Methods: </strong>The descriptive study was carried out over a 4-year period in two Serbian ENT Clinics and included patients with sinonasal pathology who underwent endoscopic surgery.</p><p><strong>Results: </strong>The study included 26 patients. The most common forms of FRS treated by endoscopic sinus surgery was allergic FRS (AFRS). The fungus identification rate varied between entities, and was 72.2% in AFRS and 33.3% in fungal ball specimens. The common species seen in AFRS isolates were <i>Cladosporium</i> spp. (38.5% of isolated) and dematiaceous molds in the same percentage, while the remainder of the cultures were hyaline moulds. CT scan can be very helpful in diagnosing FRS and sometimes even in differentiating between different entities. Treatment of FRS should be tailored for each entity. Postoperative medical treatment in AFRS should consider potential advancements described in the literature.</p><p><strong>Conclusions: </strong>This study emphasises the need to combine all types of clinical, radiology, pathohistological and microbiological methods to obtain the best diagnostic and treatment strategies and should be the basis for further research.</p>","PeriodicalId":6890,"journal":{"name":"Acta Otorhinolaryngologica Italica","volume":" ","pages":"100-109"},"PeriodicalIF":2.1000,"publicationDate":"2025-04-01","publicationTypes":"Journal Article","fieldsOfStudy":null,"isOpenAccess":false,"openAccessPdf":"https://www.ncbi.nlm.nih.gov/pmc/articles/PMC12068517/pdf/","citationCount":"0","resultStr":null,"platform":"Semanticscholar","paperid":null,"PeriodicalName":"Acta Otorhinolaryngologica Italica","FirstCategoryId":"3","ListUrlMain":"https://doi.org/10.14639/0392-100X-N2808","RegionNum":4,"RegionCategory":"医学","ArticlePicture":[],"TitleCN":null,"AbstractTextCN":null,"PMCID":null,"EPubDate":"2025/1/15 0:00:00","PubModel":"Epub","JCR":"Q2","JCRName":"OTORHINOLARYNGOLOGY","Score":null,"Total":0}
引用次数: 0

Abstract

Objective: The objective of this study was to analyse the aetiology, clinical presentations, histopathology and microbiological aspects of fungal rhinosinusitis (FRS) in patients undergoing endoscopic surgery.

Methods: The descriptive study was carried out over a 4-year period in two Serbian ENT Clinics and included patients with sinonasal pathology who underwent endoscopic surgery.

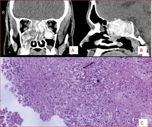
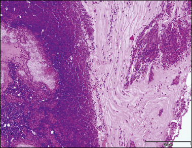
Results: The study included 26 patients. The most common forms of FRS treated by endoscopic sinus surgery was allergic FRS (AFRS). The fungus identification rate varied between entities, and was 72.2% in AFRS and 33.3% in fungal ball specimens. The common species seen in AFRS isolates were Cladosporium spp. (38.5% of isolated) and dematiaceous molds in the same percentage, while the remainder of the cultures were hyaline moulds. CT scan can be very helpful in diagnosing FRS and sometimes even in differentiating between different entities. Treatment of FRS should be tailored for each entity. Postoperative medical treatment in AFRS should consider potential advancements described in the literature.

Conclusions: This study emphasises the need to combine all types of clinical, radiology, pathohistological and microbiological methods to obtain the best diagnostic and treatment strategies and should be the basis for further research.

Abstract Image

Abstract Image

Abstract Image

内窥镜手术治疗真菌性鼻窦炎的临床病理及微生物学研究。
目的:本研究的目的是分析真菌性鼻窦炎(FRS)的病因、临床表现、组织病理学和微生物学方面的内镜手术患者。方法:描述性研究在两家塞尔维亚耳鼻喉科诊所进行了为期4年的研究,包括接受内窥镜手术的鼻窦病变患者。结果:纳入26例患者。内窥镜鼻窦手术治疗的最常见的FRS形式是过敏性FRS (AFRS)。真菌的鉴定率在不同的实体间存在差异,AFRS的鉴定率为72.2%,真菌球标本的鉴定率为33.3%。AFRS分离菌中常见的菌种为枝孢菌(Cladosporium spp.)(38.5%)和木孢菌(dematiaceous mould),其余菌种为透明菌(hyaline mould)。CT扫描对诊断FRS非常有帮助,有时甚至可以区分不同的实体。对FRS的治疗应针对每个实体进行量身定制。AFRS的术后医学治疗应考虑文献中描述的潜在进展。结论:本研究强调需要结合各种临床、放射学、病理组织学和微生物学方法来获得最佳的诊断和治疗策略,并应作为进一步研究的基础。
本文章由计算机程序翻译,如有差异,请以英文原文为准。
求助全文
约1分钟内获得全文 求助全文
来源期刊
Acta Otorhinolaryngologica Italica
Acta Otorhinolaryngologica Italica OTORHINOLARYNGOLOGY-
CiteScore
3.40
自引率
10.00%
发文量
97
审稿时长
6-12 weeks
期刊介绍: Acta Otorhinolaryngologica Italica first appeared as “Annali di Laringologia Otologia e Faringologia” and was founded in 1901 by Giulio Masini. It is the official publication of the Italian Hospital Otology Association (A.O.O.I.) and, since 1976, also of the Società Italiana di Otorinolaringoiatria e Chirurgia Cervico-Facciale (S.I.O.Ch.C.-F.). The journal publishes original articles (clinical trials, cohort studies, case-control studies, cross-sectional surveys, and diagnostic test assessments) of interest in the field of otorhinolaryngology as well as clinical techniques and technology (a short report of unique or original methods for surgical techniques, medical management or new devices or technology), editorials (including editorial guests – special contribution) and letters to the Editor-in-Chief. Articles concerning science investigations and well prepared systematic reviews (including meta-analyses) on themes related to basic science, clinical otorhinolaryngology and head and neck surgery have high priority.
×
引用
GB/T 7714-2015
复制
MLA
复制
APA
复制
导出至
BibTeX EndNote RefMan NoteFirst NoteExpress
×
提示
您的信息不完整,为了账户安全,请先补充。
现在去补充
×
提示
您因"违规操作"
具体请查看互助需知
我知道了
×
提示
确定
请完成安全验证×
copy
已复制链接
快去分享给好友吧!
我知道了
右上角分享
点击右上角分享
0
联系我们:info@booksci.cn Book学术提供免费学术资源搜索服务,方便国内外学者检索中英文文献。致力于提供最便捷和优质的服务体验。 Copyright © 2023 布克学术 All rights reserved.
京ICP备2023020795号-1
ghs 京公网安备 11010802042870号
Book学术文献互助
Book学术文献互助群
群 号:604180095
Book学术官方微信