Meconium Influences Pulmonary Short-Chain Fatty Acid Concentration in Porcine Meconium Aspiration Model.

Biomedicine hub Pub Date : 2024-12-04 eCollection Date: 2025-01-01 DOI:10.1159/000542807
Harry Ramcharran, Auyon Ghosh, Qinghe Meng, Guanqun Li, Evan Skakel Chernov, Mark Lutz, Heidi M Mansour, Joshua Satalin, Sarah Satalin, Donald P Gaver, Jason H T Bates, Gary Nieman, Michaela Kollisch-Singule
{"title":"Meconium Influences Pulmonary Short-Chain Fatty Acid Concentration in Porcine Meconium Aspiration Model.","authors":"Harry Ramcharran, Auyon Ghosh, Qinghe Meng, Guanqun Li, Evan Skakel Chernov, Mark Lutz, Heidi M Mansour, Joshua Satalin, Sarah Satalin, Donald P Gaver, Jason H T Bates, Gary Nieman, Michaela Kollisch-Singule","doi":"10.1159/000542807","DOIUrl":null,"url":null,"abstract":"<p><strong>Introduction: </strong>The factors influencing meconium aspiration syndrome (MAS) severity remain poorly understood. In a piglet model of MAS, we hypothesized the respiratory microbiome would reflect the bacterial signature of meconium with short-chain fatty acid (SCFA) accumulation as a byproduct of bacterial fermentation.</p><p><strong>Methods: </strong>Cesarean section at approximately 115-day term was performed on two sows. Male (9) and female (3) piglets were delivered, instrumented, anesthetized, and randomized into a Control (<i>n</i> = 6) or MAS group (<i>n</i> = 6). MAS received a meconium slurry (3 mL/kg) aspiration injury. Experimental animals were monitored continuously, ventilated, and resuscitated for 24 h. BALF was collected for 16S microbiome sequencing and SCFA analysis by gas chromatography. Effects of SCFAs on A549 alveolar pulmonary epithelial in vitro cell viability and inflammation were assessed.</p><p><strong>Results: </strong>The MAS group had significantly higher fluid and vasopressor requirements than the Control group (<i>p</i> < 0.05) though both groups developed lung injury. The meconium microbiome demonstrated a difference in genus proportions as compared with the BALF of the Control and MAS groups. The MAS group had a relative increase in propionic acid-forming bacteria and higher BALF concentrations of propionic acid (0.6 ± 0.2 mmol/kg) than the Control group (0.2 ± 0.2 mmol/kg; <i>p</i> > 0.05). Propionic acid was associated with decreased pulmonary epithelial cell viability and an upregulated pro-inflammatory response.</p><p><strong>Conclusions: </strong>Meconium may host a microbiome with byproducts that interact with the pulmonary epithelium and influence lung injury severity in MAS.</p>","PeriodicalId":101351,"journal":{"name":"Biomedicine hub","volume":"10 1","pages":"8-22"},"PeriodicalIF":0.0000,"publicationDate":"2024-12-04","publicationTypes":"Journal Article","fieldsOfStudy":null,"isOpenAccess":false,"openAccessPdf":"https://www.ncbi.nlm.nih.gov/pmc/articles/PMC11735036/pdf/","citationCount":"0","resultStr":null,"platform":"Semanticscholar","paperid":null,"PeriodicalName":"Biomedicine hub","FirstCategoryId":"1085","ListUrlMain":"https://doi.org/10.1159/000542807","RegionNum":0,"RegionCategory":null,"ArticlePicture":[],"TitleCN":null,"AbstractTextCN":null,"PMCID":null,"EPubDate":"2025/1/1 0:00:00","PubModel":"eCollection","JCR":"","JCRName":"","Score":null,"Total":0}
引用次数: 0

Abstract

Introduction: The factors influencing meconium aspiration syndrome (MAS) severity remain poorly understood. In a piglet model of MAS, we hypothesized the respiratory microbiome would reflect the bacterial signature of meconium with short-chain fatty acid (SCFA) accumulation as a byproduct of bacterial fermentation.

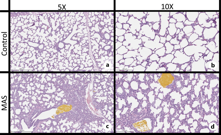
Methods: Cesarean section at approximately 115-day term was performed on two sows. Male (9) and female (3) piglets were delivered, instrumented, anesthetized, and randomized into a Control (n = 6) or MAS group (n = 6). MAS received a meconium slurry (3 mL/kg) aspiration injury. Experimental animals were monitored continuously, ventilated, and resuscitated for 24 h. BALF was collected for 16S microbiome sequencing and SCFA analysis by gas chromatography. Effects of SCFAs on A549 alveolar pulmonary epithelial in vitro cell viability and inflammation were assessed.

Results: The MAS group had significantly higher fluid and vasopressor requirements than the Control group (p < 0.05) though both groups developed lung injury. The meconium microbiome demonstrated a difference in genus proportions as compared with the BALF of the Control and MAS groups. The MAS group had a relative increase in propionic acid-forming bacteria and higher BALF concentrations of propionic acid (0.6 ± 0.2 mmol/kg) than the Control group (0.2 ± 0.2 mmol/kg; p > 0.05). Propionic acid was associated with decreased pulmonary epithelial cell viability and an upregulated pro-inflammatory response.

Conclusions: Meconium may host a microbiome with byproducts that interact with the pulmonary epithelium and influence lung injury severity in MAS.

Abstract Image

Abstract Image

Abstract Image

粪对猪粪吸入模型肺短链脂肪酸浓度的影响。
导读:影响胎粪吸入综合征(MAS)严重程度的因素仍然知之甚少。在MAS仔猪模型中,我们假设呼吸微生物组反映了粪的细菌特征,短链脂肪酸(SCFA)作为细菌发酵的副产物积累。方法:对2头妊娠约115天的母猪进行剖宫产术。公仔猪(9头)和母仔猪(3头)娩出并麻醉,随机分为对照组(n = 6)和MAS组(n = 6)。MAS组给予胎粪浆(3ml /kg)吸入性损伤。实验动物连续监测、通气和复苏24 h。收集BALF进行16S微生物组测序和SCFA气相色谱分析。观察SCFAs对A549肺泡肺上皮体外细胞活力和炎症的影响。结果:尽管两组均出现肺损伤,但MAS组的液体和血管加压素需要量均显著高于对照组(p < 0.05)。与对照组和MAS组相比,胎粪微生物群在属比例上存在差异。与对照组(0.2±0.2 mmol/kg)相比,MAS组丙酸生成菌数量和丙酸BALF浓度相对增加(0.6±0.2 mmol/kg);P < 0.05)。丙酸与肺上皮细胞活力降低和促炎反应上调有关。结论:胎便可能含有一种微生物,其副产物与肺上皮相互作用,影响MAS患者肺损伤的严重程度。
本文章由计算机程序翻译,如有差异,请以英文原文为准。
求助全文
约1分钟内获得全文 求助全文
来源期刊
自引率
0.00%
发文量
0
×
引用
GB/T 7714-2015
复制
MLA
复制
APA
复制
导出至
BibTeX EndNote RefMan NoteFirst NoteExpress
×
提示
您的信息不完整,为了账户安全,请先补充。
现在去补充
×
提示
您因"违规操作"
具体请查看互助需知
我知道了
×
提示
确定
请完成安全验证×
copy
已复制链接
快去分享给好友吧!
我知道了
右上角分享
点击右上角分享
0
联系我们:info@booksci.cn Book学术提供免费学术资源搜索服务,方便国内外学者检索中英文文献。致力于提供最便捷和优质的服务体验。 Copyright © 2023 布克学术 All rights reserved.
京ICP备2023020795号-1
ghs 京公网安备 11010802042870号
Book学术文献互助
Book学术文献互助群
群 号:604180095
Book学术官方微信