Full mouth rehabilitation with fixed teeth supported prosthesis following hobo twin stage technique - A Case Report.

Journal of biological methods Pub Date : 2024-09-23 eCollection Date: 2024-01-01 DOI:10.14440/jbm.2024.0036
Ahila Singaravel Chidambaranathan, Rajdeep Tah, Muthu Kumar Balasubramanium
{"title":"Full mouth rehabilitation with fixed teeth supported prosthesis following hobo twin stage technique - A Case Report.","authors":"Ahila Singaravel Chidambaranathan, Rajdeep Tah, Muthu Kumar Balasubramanium","doi":"10.14440/jbm.2024.0036","DOIUrl":null,"url":null,"abstract":"<p><strong>Background: </strong>Worn dentition is a common problem encountered by most people in the last decade. Rehabilitation of a full mouth needs individual attention and proper treatment planning, which is very challenging for partial edentulous cases where bilateral teeth are missing and collapsed vertical dimension leaves inadequate restorative space. Treatment of these cases is complex and needs to apply standard principles while designing and fabricating prostheses.</p><p><strong>Case presentation: </strong>A 41-year-old female presented with a history of difficulty in chewing and poor appearance. Examination revealed that the patient had missing teeth in the maxilla (12, 13, 14, 15, 23, and 24), in the mandible (46 and 47), and in teeth 11, 21, 22, 25, 36, 37, 43, 44, and 45 were root canal treated, of which 21, 22, and 25 did not have any coronal structure and 36 had a discharging sinus. The periodontal condition of the remaining teeth was good and the vertical dimension was reduced. This patient had multiple missing and badly damaged anterior teeth. Hence, Hobo and Takayama twin stage method was used to re-establish the anterior guidance for full mouth rehabilitation.</p><p><strong>Conclusion: </strong>Worn dentition requires a very careful and calculative approach due to its complex nature. Hobo twin stage technique is based on case studies from which the mathematical values for anterior guidance and posterior disocclusion are determined and thus minimizes the clinical procedure duration and produces good masticatory function.</p>","PeriodicalId":73618,"journal":{"name":"Journal of biological methods","volume":"11 4","pages":"e99010027"},"PeriodicalIF":0.0000,"publicationDate":"2024-09-23","publicationTypes":"Journal Article","fieldsOfStudy":null,"isOpenAccess":false,"openAccessPdf":"https://www.ncbi.nlm.nih.gov/pmc/articles/PMC11744069/pdf/","citationCount":"0","resultStr":null,"platform":"Semanticscholar","paperid":null,"PeriodicalName":"Journal of biological methods","FirstCategoryId":"1085","ListUrlMain":"https://doi.org/10.14440/jbm.2024.0036","RegionNum":0,"RegionCategory":null,"ArticlePicture":[],"TitleCN":null,"AbstractTextCN":null,"PMCID":null,"EPubDate":"2024/1/1 0:00:00","PubModel":"eCollection","JCR":"","JCRName":"","Score":null,"Total":0}
引用次数: 0

Abstract

Background: Worn dentition is a common problem encountered by most people in the last decade. Rehabilitation of a full mouth needs individual attention and proper treatment planning, which is very challenging for partial edentulous cases where bilateral teeth are missing and collapsed vertical dimension leaves inadequate restorative space. Treatment of these cases is complex and needs to apply standard principles while designing and fabricating prostheses.

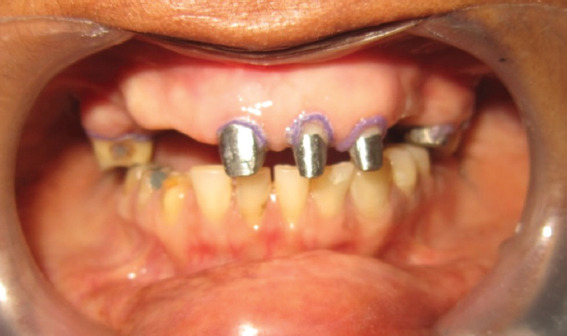
Case presentation: A 41-year-old female presented with a history of difficulty in chewing and poor appearance. Examination revealed that the patient had missing teeth in the maxilla (12, 13, 14, 15, 23, and 24), in the mandible (46 and 47), and in teeth 11, 21, 22, 25, 36, 37, 43, 44, and 45 were root canal treated, of which 21, 22, and 25 did not have any coronal structure and 36 had a discharging sinus. The periodontal condition of the remaining teeth was good and the vertical dimension was reduced. This patient had multiple missing and badly damaged anterior teeth. Hence, Hobo and Takayama twin stage method was used to re-establish the anterior guidance for full mouth rehabilitation.

Conclusion: Worn dentition requires a very careful and calculative approach due to its complex nature. Hobo twin stage technique is based on case studies from which the mathematical values for anterior guidance and posterior disocclusion are determined and thus minimizes the clinical procedure duration and produces good masticatory function.

Abstract Image

Abstract Image

Abstract Image

双阶段技术下固定牙支撑全口康复1例报告。
背景:牙列磨损是近十年来大多数人遇到的一个常见问题。全口的康复需要个体的关注和适当的治疗计划,这对于双牙缺失和垂直尺寸塌陷导致修复空间不足的部分无牙患者来说是非常具有挑战性的。这些病例的治疗是复杂的,需要在设计和制造假体时应用标准原则。病例介绍:女性,41岁,咀嚼困难,外观不良。检查发现患者上颌(12、13、14、15、23、24)、下颌骨(46、47)缺牙,11、21、22、25、36、37、43、44、45牙行根管治疗,其中21、22、25牙无冠状结构,36牙有排出窦。余牙牙周状况良好,纵向尺寸减小。该患者有多颗前牙缺失和严重损坏。因此,采用Hobo和Takayama双阶段法重建全口康复的前路引导。结论:牙列磨损由于其复杂的性质,需要非常谨慎和计算的方法。Hobo双阶段技术是基于病例研究,确定前路引导和后路脱位的数学值,从而最大限度地减少临床手术时间,并产生良好的咀嚼功能。
本文章由计算机程序翻译,如有差异,请以英文原文为准。
求助全文
约1分钟内获得全文 求助全文
来源期刊
自引率
0.00%
发文量
0
×
引用
GB/T 7714-2015
复制
MLA
复制
APA
复制
导出至
BibTeX EndNote RefMan NoteFirst NoteExpress
×
提示
您的信息不完整,为了账户安全,请先补充。
现在去补充
×
提示
您因"违规操作"
具体请查看互助需知
我知道了
×
提示
确定
请完成安全验证×
copy
已复制链接
快去分享给好友吧!
我知道了
右上角分享
点击右上角分享
0
联系我们:info@booksci.cn Book学术提供免费学术资源搜索服务,方便国内外学者检索中英文文献。致力于提供最便捷和优质的服务体验。 Copyright © 2023 布克学术 All rights reserved.
京ICP备2023020795号-1
ghs 京公网安备 11010802042870号
Book学术文献互助
Book学术文献互助群
群 号:604180095
Book学术官方微信