A novel "lateral approach short axis in-plane" technique vs. conventional "short-axis out-of-plane approach" for ultrasound-guided internal jugular vein access: a prospective randomized non-inferiority trial.

IF 2.9 Q2 Medicine
Michal Kalina, Patricia Vargová, Adéla Bubeníková, Roman Škulec, Vladimír Černý, David Astapenko
{"title":"A novel \"lateral approach short axis in-plane\" technique vs. conventional \"short-axis out-of-plane approach\" for ultrasound-guided internal jugular vein access: a prospective randomized non-inferiority trial.","authors":"Michal Kalina, Patricia Vargová, Adéla Bubeníková, Roman Škulec, Vladimír Černý, David Astapenko","doi":"10.1186/s13089-025-00405-9","DOIUrl":null,"url":null,"abstract":"<p><strong>Background: </strong>The cannulation of the internal jugular vein (IJV) is a frequent procedure in critically ill patients. According to the guidelines, real-time ultrasound navigation is recommended. Traditional techniques pose several disadvantages, such as suboptimal needle visualization. Therefore, this non-inferiority trial aimed to describe the novel approach and compare the novel lateral in-plane short-axis approach for IJV access with the conventional short-axis out-of-plane approach.</p><p><strong>Objectives: </strong>The primary objective of the trial was to prove that the first attempt success rate in the novel technique is non-inferior to the conventional technique. The secondary objectives were to demonstrate that the complication rate and the functional duration of the catheter in the novel technique are not inferior to those in the conventional technique.</p><p><strong>Methods: </strong>Patients eligible for IJV cannulation were randomly assigned to either the novel technique (Group A) or the conventional one (Group B). The procedure duration, success rate and the number of attempts required were documented. The functionality of the catheter and complications were monitored from insertion until the catheter removal. Standard descriptive statistical methods were employed for the analysis.</p><p><strong>Results: </strong>A total of 200 subjects were equally divided between Group A and Group B. For the primary outcome, there was no significant difference in first attempt success rate (Group A: 79, Group B: 77, p = 0.434). Secondary outcomes, including complications and catheter functional time, did not differ significantly between the groups. However, the novel technique demonstrated a significantly faster procedure time (Group A: 315 s, Group B: 330 s, p = 0.016). Notably, the novel approach was linked with significantly larger IJV diameter measured during the procedure (Group A: 18.2 mm, Group B: 12.1 mm, p < 0.001).</p><p><strong>Conclusion: </strong>The novel lateral in-plane short-axis approach for IJV cannulation is a non-inferior alternative with a lower incidence of posterior vessel wall puncture compared to the conventional approach.</p>","PeriodicalId":36911,"journal":{"name":"Ultrasound Journal","volume":"17 1","pages":"5"},"PeriodicalIF":2.9000,"publicationDate":"2025-01-16","publicationTypes":"Journal Article","fieldsOfStudy":null,"isOpenAccess":false,"openAccessPdf":"https://www.ncbi.nlm.nih.gov/pmc/articles/PMC11739437/pdf/","citationCount":"0","resultStr":null,"platform":"Semanticscholar","paperid":null,"PeriodicalName":"Ultrasound Journal","FirstCategoryId":"1085","ListUrlMain":"https://doi.org/10.1186/s13089-025-00405-9","RegionNum":0,"RegionCategory":null,"ArticlePicture":[],"TitleCN":null,"AbstractTextCN":null,"PMCID":null,"EPubDate":"","PubModel":"","JCR":"Q2","JCRName":"Medicine","Score":null,"Total":0}
引用次数: 0

Abstract

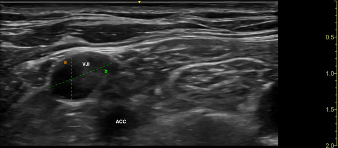
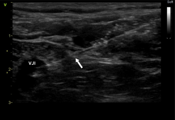
Background: The cannulation of the internal jugular vein (IJV) is a frequent procedure in critically ill patients. According to the guidelines, real-time ultrasound navigation is recommended. Traditional techniques pose several disadvantages, such as suboptimal needle visualization. Therefore, this non-inferiority trial aimed to describe the novel approach and compare the novel lateral in-plane short-axis approach for IJV access with the conventional short-axis out-of-plane approach.

Objectives: The primary objective of the trial was to prove that the first attempt success rate in the novel technique is non-inferior to the conventional technique. The secondary objectives were to demonstrate that the complication rate and the functional duration of the catheter in the novel technique are not inferior to those in the conventional technique.

Methods: Patients eligible for IJV cannulation were randomly assigned to either the novel technique (Group A) or the conventional one (Group B). The procedure duration, success rate and the number of attempts required were documented. The functionality of the catheter and complications were monitored from insertion until the catheter removal. Standard descriptive statistical methods were employed for the analysis.

Results: A total of 200 subjects were equally divided between Group A and Group B. For the primary outcome, there was no significant difference in first attempt success rate (Group A: 79, Group B: 77, p = 0.434). Secondary outcomes, including complications and catheter functional time, did not differ significantly between the groups. However, the novel technique demonstrated a significantly faster procedure time (Group A: 315 s, Group B: 330 s, p = 0.016). Notably, the novel approach was linked with significantly larger IJV diameter measured during the procedure (Group A: 18.2 mm, Group B: 12.1 mm, p < 0.001).

Conclusion: The novel lateral in-plane short-axis approach for IJV cannulation is a non-inferior alternative with a lower incidence of posterior vessel wall puncture compared to the conventional approach.

Abstract Image

Abstract Image

Abstract Image

超声引导颈内静脉入路的新型“外侧短轴平面内入路”技术与传统“短轴平面外入路”:一项前瞻性随机非效性试验。
背景:颈内静脉插管(IJV)是危重病人的常用手术。根据指南,建议使用实时超声导航。传统的技术存在一些缺点,例如不理想的针的可视化。因此,这项非劣效性试验旨在描述新的入路,并将新的横向平面内短轴入路与传统的短轴平面外入路进行比较。目的:试验的主要目的是证明新技术的首次尝试成功率不低于传统技术。次要目的是证明新技术的并发症发生率和导管的功能持续时间并不亚于传统技术。方法:将符合条件的患者随机分为新技术组(A组)和传统技术组(B组)。记录手术时间、成功率和所需次数。导管的功能和并发症的监测,从插入到取出导管。采用标准描述性统计方法进行分析。结果:A组和B组共200名受试者,两组平均分为两组。在主要结局方面,A组首次尝试成功率为79,B组为77,p = 0.434,差异无统计学意义。次要结局,包括并发症和导管功能时间,组间无显著差异。然而,新技术显示出明显更快的手术时间(a组:315秒,B组:330秒,p = 0.016)。值得注意的是,该新入路与术中测量的IJV直径明显增大有关(A组:18.2 mm, B组:12.1 mm, p)。结论:与传统入路相比,新型外侧平面内短轴入路用于IJV插管是一种非缺点的选择,其后血管壁穿刺发生率较低。
本文章由计算机程序翻译,如有差异,请以英文原文为准。
求助全文
约1分钟内获得全文 求助全文
来源期刊
Ultrasound Journal
Ultrasound Journal Health Professions-Radiological and Ultrasound Technology
CiteScore
6.80
自引率
2.90%
发文量
45
审稿时长
22 weeks
×
引用
GB/T 7714-2015
复制
MLA
复制
APA
复制
导出至
BibTeX EndNote RefMan NoteFirst NoteExpress
×
提示
您的信息不完整,为了账户安全,请先补充。
现在去补充
×
提示
您因"违规操作"
具体请查看互助需知
我知道了
×
提示
确定
请完成安全验证×
copy
已复制链接
快去分享给好友吧!
我知道了
右上角分享
点击右上角分享
0
联系我们:info@booksci.cn Book学术提供免费学术资源搜索服务,方便国内外学者检索中英文文献。致力于提供最便捷和优质的服务体验。 Copyright © 2023 布克学术 All rights reserved.
京ICP备2023020795号-1
ghs 京公网安备 11010802042870号
Book学术文献互助
Book学术文献互助群
群 号:604180095
Book学术官方微信