Mycobacterium porcinum panniculitis in a cat from northern California.

IF 0.7 Q3 VETERINARY SCIENCES
Journal of Feline Medicine and Surgery Open Reports Pub Date : 2025-01-19 eCollection Date: 2025-01-01 DOI:10.1177/20551169241298058
Mary Ann Lee, Dennis J Woerde, Krystle L Reagan, Tatiana G Wolf, Jane E Sykes
{"title":"<i>Mycobacterium porcinum</i> panniculitis in a cat from northern California.","authors":"Mary Ann Lee, Dennis J Woerde, Krystle L Reagan, Tatiana G Wolf, Jane E Sykes","doi":"10.1177/20551169241298058","DOIUrl":null,"url":null,"abstract":"<p><strong>Case summary: </strong>A 9-year-old male castrated domestic shorthair cat from northern California was evaluated for a 12-month history of dermal and subcutaneous dermatitis in the inguinal region. Histopathologic examination of a biopsy revealed severe, chronic, multifocal to coalescing pyogranulomatous dermatitis and panniculitis, accompanied by ulceration and central necrosis. Aerobic bacterial culture of lesions yielded mycobacterial growth. Empiric antimicrobial therapy was initiated with doxycycline and marbofloxacin pending culture and susceptibility. Culture of a biopsy followed by <i>rpoB</i> gene sequencing at a mycobacterial reference laboratory yielded <i>Mycobacterium porcinum</i> after 6 weeks. Ten months after initial antimicrobial administration, the lesions resolved.</p><p><strong>Relevance and novel information: </strong>To date, in cats, <i>M porcinum</i> panniculitis has been reported from Ohio, Massachusetts and British Columbia in North America; two additional cases were reported from southeastern Australia. In humans, <i>M porcinum</i> infections have been reported from several states in the USA, predominantly in the Midwest and coastal south, but not from the west. This report extends the known spatial distribution of <i>M porcinum</i> to the western USA and strengthens its association with panniculitis in cats. It also demonstrates the need for prolonged incubation for diagnosis of some rapidly growing mycobacteria infections using culture.</p>","PeriodicalId":36588,"journal":{"name":"Journal of Feline Medicine and Surgery Open Reports","volume":"11 1","pages":"20551169241298058"},"PeriodicalIF":0.7000,"publicationDate":"2025-01-19","publicationTypes":"Journal Article","fieldsOfStudy":null,"isOpenAccess":false,"openAccessPdf":"https://www.ncbi.nlm.nih.gov/pmc/articles/PMC11744623/pdf/","citationCount":"0","resultStr":null,"platform":"Semanticscholar","paperid":null,"PeriodicalName":"Journal of Feline Medicine and Surgery Open Reports","FirstCategoryId":"1085","ListUrlMain":"https://doi.org/10.1177/20551169241298058","RegionNum":0,"RegionCategory":null,"ArticlePicture":[],"TitleCN":null,"AbstractTextCN":null,"PMCID":null,"EPubDate":"2025/1/1 0:00:00","PubModel":"eCollection","JCR":"Q3","JCRName":"VETERINARY SCIENCES","Score":null,"Total":0}
引用次数: 0

Abstract

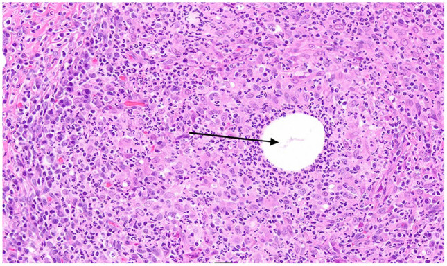
Case summary: A 9-year-old male castrated domestic shorthair cat from northern California was evaluated for a 12-month history of dermal and subcutaneous dermatitis in the inguinal region. Histopathologic examination of a biopsy revealed severe, chronic, multifocal to coalescing pyogranulomatous dermatitis and panniculitis, accompanied by ulceration and central necrosis. Aerobic bacterial culture of lesions yielded mycobacterial growth. Empiric antimicrobial therapy was initiated with doxycycline and marbofloxacin pending culture and susceptibility. Culture of a biopsy followed by rpoB gene sequencing at a mycobacterial reference laboratory yielded Mycobacterium porcinum after 6 weeks. Ten months after initial antimicrobial administration, the lesions resolved.

Relevance and novel information: To date, in cats, M porcinum panniculitis has been reported from Ohio, Massachusetts and British Columbia in North America; two additional cases were reported from southeastern Australia. In humans, M porcinum infections have been reported from several states in the USA, predominantly in the Midwest and coastal south, but not from the west. This report extends the known spatial distribution of M porcinum to the western USA and strengthens its association with panniculitis in cats. It also demonstrates the need for prolonged incubation for diagnosis of some rapidly growing mycobacteria infections using culture.

Abstract Image

Abstract Image

Abstract Image

加利福尼亚北部一只猫的猪分枝杆菌泛膜炎。
病例总结:对一只来自加利福尼亚北部的9岁雄性阉割家养短毛猫进行了为期12个月的腹股沟区皮肤和皮下皮炎病史评估。组织病理学检查活检显示严重,慢性,多灶性化脓性皮炎和泛膜炎,伴有溃疡和中央坏死。病变需氧细菌培养产生分枝杆菌生长。经验性抗菌治疗开始用强力霉素和马布沙星等待培养和敏感性。在分枝杆菌参比实验室对活检组织进行rpoB基因测序培养,6周后得到了猪分枝杆菌。最初使用抗菌药物10个月后,病变消退。相关性和新信息:迄今为止,在北美的俄亥俄州、马萨诸塞州和不列颠哥伦比亚省报道了猫的猪乳头状杆菌炎;澳大利亚东南部报告了另外两例病例。在人类中,猪分枝杆菌感染在美国的几个州都有报道,主要是在中西部和南部沿海地区,但在西部没有。本报告将已知的猪分枝杆菌的空间分布扩展到美国西部,并加强了它与猫乳头炎的联系。它还表明需要长时间的培养来诊断一些快速生长的分枝杆菌感染。
本文章由计算机程序翻译,如有差异,请以英文原文为准。
求助全文
约1分钟内获得全文 求助全文
来源期刊
CiteScore
1.30
自引率
14.30%
发文量
57
审稿时长
15 weeks
×
引用
GB/T 7714-2015
复制
MLA
复制
APA
复制
导出至
BibTeX EndNote RefMan NoteFirst NoteExpress
×
提示
您的信息不完整,为了账户安全,请先补充。
现在去补充
×
提示
您因"违规操作"
具体请查看互助需知
我知道了
×
提示
确定
请完成安全验证×
copy
已复制链接
快去分享给好友吧!
我知道了
右上角分享
点击右上角分享
0
联系我们:info@booksci.cn Book学术提供免费学术资源搜索服务,方便国内外学者检索中英文文献。致力于提供最便捷和优质的服务体验。 Copyright © 2023 布克学术 All rights reserved.
京ICP备2023020795号-1
ghs 京公网安备 11010802042870号
Book学术文献互助
Book学术文献互助群
群 号:604180095
Book学术官方微信