Magnetic Resonance Cholangiopancreatography for Cholangiopancreatic Duct Imaging in Dogs.

IF 1.5 2区 农林科学 Q2 VETERINARY SCIENCES
Reina Fujiwara, Kie Yamamoto, Masahiro Yamasaki, Koichi Ohno
{"title":"Magnetic Resonance Cholangiopancreatography for Cholangiopancreatic Duct Imaging in Dogs.","authors":"Reina Fujiwara, Kie Yamamoto, Masahiro Yamasaki, Koichi Ohno","doi":"10.1111/vru.70008","DOIUrl":null,"url":null,"abstract":"<p><p>Ultrasonography is often used to diagnose biliary diseases in dogs; however, it is difficult to delineate the entire bile and pancreatic ducts. Various imaging techniques for bile and pancreatic ducts have been attempted to overcome this problem. Magnetic resonance cholangiopancreatography (MRCP) is often used to evaluate the bile and pancreatic ducts in humans with obstructive jaundice, but very few reports exist on its usage in dogs. This study was designed as a prospective observational study to assess the feasibility and effectiveness of MRCP for visualizing the bile and pancreatic ducts in nondiseased dogs. Therefore, this study aimed to evaluate the visibility of the bile and pancreatic ducts through MRCP imaging using a 3.0 T-MRI system in dogs with no signs of hepatic, biliary, and pancreatic diseases. The detection rate for each anatomical structure was evaluated, with the highest observed in the gallbladder (100%), followed by the common bile duct (80%), cystic duct (70%), pancreatic ducts in the left and right lobe of the pancreas (70%), left and right hepatic ducts (60%), accessory pancreatic ducts (60%), and major pancreatic duct (40%). MRCP is a promising noninvasive imaging technique that can promptly and accurately visualize bile and pancreatic ducts in dogs without being influenced by the skill of the operator.</p>","PeriodicalId":23581,"journal":{"name":"Veterinary Radiology & Ultrasound","volume":"66 1","pages":"e70008"},"PeriodicalIF":1.5000,"publicationDate":"2025-01-01","publicationTypes":"Journal Article","fieldsOfStudy":null,"isOpenAccess":false,"openAccessPdf":"https://www.ncbi.nlm.nih.gov/pmc/articles/PMC11742707/pdf/","citationCount":"0","resultStr":null,"platform":"Semanticscholar","paperid":null,"PeriodicalName":"Veterinary Radiology & Ultrasound","FirstCategoryId":"97","ListUrlMain":"https://doi.org/10.1111/vru.70008","RegionNum":2,"RegionCategory":"农林科学","ArticlePicture":[],"TitleCN":null,"AbstractTextCN":null,"PMCID":null,"EPubDate":"","PubModel":"","JCR":"Q2","JCRName":"VETERINARY SCIENCES","Score":null,"Total":0}
引用次数: 0

Abstract

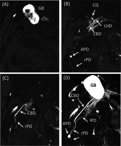
Ultrasonography is often used to diagnose biliary diseases in dogs; however, it is difficult to delineate the entire bile and pancreatic ducts. Various imaging techniques for bile and pancreatic ducts have been attempted to overcome this problem. Magnetic resonance cholangiopancreatography (MRCP) is often used to evaluate the bile and pancreatic ducts in humans with obstructive jaundice, but very few reports exist on its usage in dogs. This study was designed as a prospective observational study to assess the feasibility and effectiveness of MRCP for visualizing the bile and pancreatic ducts in nondiseased dogs. Therefore, this study aimed to evaluate the visibility of the bile and pancreatic ducts through MRCP imaging using a 3.0 T-MRI system in dogs with no signs of hepatic, biliary, and pancreatic diseases. The detection rate for each anatomical structure was evaluated, with the highest observed in the gallbladder (100%), followed by the common bile duct (80%), cystic duct (70%), pancreatic ducts in the left and right lobe of the pancreas (70%), left and right hepatic ducts (60%), accessory pancreatic ducts (60%), and major pancreatic duct (40%). MRCP is a promising noninvasive imaging technique that can promptly and accurately visualize bile and pancreatic ducts in dogs without being influenced by the skill of the operator.

Abstract Image

Abstract Image

磁共振胆管造影在犬胆管胰胆管造影中的应用。
超声检查常用于犬类胆道疾病的诊断;然而,很难描绘整个胆管和胰管。各种胆管和胰管成像技术已经尝试克服这个问题。磁共振胰胆管造影(MRCP)常用于评估人类梗阻性黄疸患者的胆管和胰管,但很少有报道将其用于狗。本研究是一项前瞻性观察性研究,旨在评估MRCP在未患病犬中显示胆汁和胰管的可行性和有效性。因此,本研究旨在通过3.0 T-MRI系统对无肝脏、胆道和胰腺疾病征象的狗进行MRCP成像,评估其胆汁和胰管的可见性。对各解剖结构的检出率进行评估,以胆囊检出率最高(100%),其次是胆总管(80%)、胆囊管(70%)、胰腺左右叶胰管(70%)、左右肝管(60%)、副胰管(60%)和主胰管(40%)。MRCP是一种很有前途的无创成像技术,可以快速准确地显示狗的胆汁和胰管,而不受操作者技能的影响。
本文章由计算机程序翻译,如有差异,请以英文原文为准。
求助全文
约1分钟内获得全文 求助全文
来源期刊
Veterinary Radiology & Ultrasound
Veterinary Radiology & Ultrasound 农林科学-兽医学
CiteScore
2.40
自引率
17.60%
发文量
133
审稿时长
8-16 weeks
期刊介绍: Veterinary Radiology & Ultrasound is a bimonthly, international, peer-reviewed, research journal devoted to the fields of veterinary diagnostic imaging and radiation oncology. Established in 1958, it is owned by the American College of Veterinary Radiology and is also the official journal for six affiliate veterinary organizations. Veterinary Radiology & Ultrasound is represented on the International Committee of Medical Journal Editors, World Association of Medical Editors, and Committee on Publication Ethics. The mission of Veterinary Radiology & Ultrasound is to serve as a leading resource for high quality articles that advance scientific knowledge and standards of clinical practice in the areas of veterinary diagnostic radiology, computed tomography, magnetic resonance imaging, ultrasonography, nuclear imaging, radiation oncology, and interventional radiology. Manuscript types include original investigations, imaging diagnosis reports, review articles, editorials and letters to the Editor. Acceptance criteria include originality, significance, quality, reader interest, composition and adherence to author guidelines.
×
引用
GB/T 7714-2015
复制
MLA
复制
APA
复制
导出至
BibTeX EndNote RefMan NoteFirst NoteExpress
×
提示
您的信息不完整,为了账户安全,请先补充。
现在去补充
×
提示
您因"违规操作"
具体请查看互助需知
我知道了
×
提示
确定
请完成安全验证×
copy
已复制链接
快去分享给好友吧!
我知道了
右上角分享
点击右上角分享
0
联系我们:info@booksci.cn Book学术提供免费学术资源搜索服务,方便国内外学者检索中英文文献。致力于提供最便捷和优质的服务体验。 Copyright © 2023 布克学术 All rights reserved.
京ICP备2023020795号-1
ghs 京公网安备 11010802042870号
Book学术文献互助
Book学术文献互助群
群 号:604180095
Book学术官方微信