Nuclear Alpha-Synuclein in Parkinson's Disease and the Malignant Transformation in Melanoma.

IF 2.8 Q4 NEUROSCIENCES
Neurology Research International Pub Date : 2025-01-06 eCollection Date: 2025-01-01 DOI:10.1155/nri/1119424
María E Jimenez-Capdeville, Erika Chi-Ahumada, Francisco García-Ortega, Juan Pablo Castanedo-Cazares, Robert Norman, Ildefonso Rodríguez-Leyva
{"title":"Nuclear Alpha-Synuclein in Parkinson's Disease and the Malignant Transformation in Melanoma.","authors":"María E Jimenez-Capdeville, Erika Chi-Ahumada, Francisco García-Ortega, Juan Pablo Castanedo-Cazares, Robert Norman, Ildefonso Rodríguez-Leyva","doi":"10.1155/nri/1119424","DOIUrl":null,"url":null,"abstract":"<p><p><b>Background:</b> Alpha-synuclein (ASyn), a marker of Parkinson's disease (PD) and other neurodegenerative processes, plays pivotal roles in neuronal nuclei and synapses. ASyn and its phosphorylated form at Serine 129 (p-ASyn) are involved in DNA protection and repair, processes altered in aging, neurodegeneration, and cancer. <b>Objective:</b> To analyze the localization of p-ASyn in skin biopsies of PD patients and melanoma. <b>Methods:</b> Biopsies from 26 PD patients, 20 melanoma patients, and 31 control subjects were probed and analyzed with a p-ASyn antibody by immunohistochemistry and immunofluorescence. Nuclear positivity was quantified by image analysis. <b>Results:</b> Peripheral nerve endings from healthy subjects show little p-ASyn immunopositivity but notable axonal presence in PD. Control subjects show immunopositivity to p-ASyn along all epidermic strata and scarce presence in their cytoplasm. In contrast, its nuclear presence in PD is weaker, with a higher cytoplasmic and intercellular presence. Nuclear p-ASyn in melanoma varied from similar to control skin in early stage melanoma to a higher rate of empty nuclei in the intermediate stage and total absence of nuclear p-ASyn in severe cases. <b>Interpretation:</b> These findings support the nuclear localization of p-ASyn in skin cells and show that its presence decreases PD and almost disappears in the malignant transformation of melanocytes, redistributing to the cytoplasm and intercellular spaces. This confirms the association between PD and melanoma, providing crucial insights into the role of p-ASyn in both diseases. <b>Trial Registration:</b> ClinicalTrials.gov identifier: NCT01380899.</p>","PeriodicalId":19124,"journal":{"name":"Neurology Research International","volume":"2025 ","pages":"1119424"},"PeriodicalIF":2.8000,"publicationDate":"2025-01-06","publicationTypes":"Journal Article","fieldsOfStudy":null,"isOpenAccess":false,"openAccessPdf":"https://www.ncbi.nlm.nih.gov/pmc/articles/PMC11729518/pdf/","citationCount":"0","resultStr":null,"platform":"Semanticscholar","paperid":null,"PeriodicalName":"Neurology Research International","FirstCategoryId":"1085","ListUrlMain":"https://doi.org/10.1155/nri/1119424","RegionNum":0,"RegionCategory":null,"ArticlePicture":[],"TitleCN":null,"AbstractTextCN":null,"PMCID":null,"EPubDate":"2025/1/1 0:00:00","PubModel":"eCollection","JCR":"Q4","JCRName":"NEUROSCIENCES","Score":null,"Total":0}
引用次数: 0

Abstract

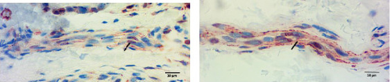
Background: Alpha-synuclein (ASyn), a marker of Parkinson's disease (PD) and other neurodegenerative processes, plays pivotal roles in neuronal nuclei and synapses. ASyn and its phosphorylated form at Serine 129 (p-ASyn) are involved in DNA protection and repair, processes altered in aging, neurodegeneration, and cancer. Objective: To analyze the localization of p-ASyn in skin biopsies of PD patients and melanoma. Methods: Biopsies from 26 PD patients, 20 melanoma patients, and 31 control subjects were probed and analyzed with a p-ASyn antibody by immunohistochemistry and immunofluorescence. Nuclear positivity was quantified by image analysis. Results: Peripheral nerve endings from healthy subjects show little p-ASyn immunopositivity but notable axonal presence in PD. Control subjects show immunopositivity to p-ASyn along all epidermic strata and scarce presence in their cytoplasm. In contrast, its nuclear presence in PD is weaker, with a higher cytoplasmic and intercellular presence. Nuclear p-ASyn in melanoma varied from similar to control skin in early stage melanoma to a higher rate of empty nuclei in the intermediate stage and total absence of nuclear p-ASyn in severe cases. Interpretation: These findings support the nuclear localization of p-ASyn in skin cells and show that its presence decreases PD and almost disappears in the malignant transformation of melanocytes, redistributing to the cytoplasm and intercellular spaces. This confirms the association between PD and melanoma, providing crucial insights into the role of p-ASyn in both diseases. Trial Registration: ClinicalTrials.gov identifier: NCT01380899.

Abstract Image

Abstract Image

Abstract Image

核α -突触核蛋白与帕金森病和黑色素瘤的恶性转化。
背景:α -突触核蛋白(α -synuclein, ASyn)是帕金森病(PD)和其他神经退行性过程的标志物,在神经元核和突触中起关键作用。ASyn及其丝氨酸129的磷酸化形式(p-ASyn)参与DNA保护和修复,衰老,神经变性和癌症过程的改变。目的:分析PD患者和黑色素瘤皮肤活检中p-ASyn的定位。方法:对26例PD患者、20例黑色素瘤患者和31例对照患者的活检组织进行p-ASyn抗体免疫组化和免疫荧光检测分析。核阳性通过图像分析定量。结果:健康人周围神经末梢p-ASyn免疫阳性不明显,但轴突存在。对照小鼠对p-ASyn在所有表皮层呈免疫阳性,细胞质中p-ASyn的存在较少。相比之下,其核在PD中的存在较弱,细胞质和细胞间的存在较高。黑素瘤的核p-ASyn变化很大,早期黑素瘤与对照皮肤相似,中期黑素瘤的空核率较高,重症黑素瘤的核p-ASyn完全缺失。解释:这些发现支持了p-ASyn在皮肤细胞中的核定位,并表明它的存在减少了PD,在黑色素细胞的恶性转化中几乎消失,重新分布到细胞质和细胞间隙。这证实了PD和黑色素瘤之间的关联,为p-ASyn在这两种疾病中的作用提供了重要的见解。试验注册:ClinicalTrials.gov标识符:NCT01380899。
本文章由计算机程序翻译,如有差异,请以英文原文为准。
求助全文
约1分钟内获得全文 求助全文
来源期刊
CiteScore
3.50
自引率
0.00%
发文量
10
审稿时长
17 weeks
期刊介绍: Neurology Research International is a peer-reviewed, Open Access journal that publishes original research articles, review articles, and clinical studies focusing on diseases of the nervous system, as well as normal neurological functioning. The journal will consider basic, translational, and clinical research, including animal models and clinical trials.
×
引用
GB/T 7714-2015
复制
MLA
复制
APA
复制
导出至
BibTeX EndNote RefMan NoteFirst NoteExpress
×
提示
您的信息不完整,为了账户安全,请先补充。
现在去补充
×
提示
您因"违规操作"
具体请查看互助需知
我知道了
×
提示
确定
请完成安全验证×
copy
已复制链接
快去分享给好友吧!
我知道了
右上角分享
点击右上角分享
0
联系我们:info@booksci.cn Book学术提供免费学术资源搜索服务,方便国内外学者检索中英文文献。致力于提供最便捷和优质的服务体验。 Copyright © 2023 布克学术 All rights reserved.
京ICP备2023020795号-1
ghs 京公网安备 11010802042870号
Book学术文献互助
Book学术文献互助群
群 号:604180095
Book学术官方微信