Parietal Meningocele Under the Scalp of a Fetus Diagnosed Based on Volume Contrast Imaging of Prenatal Three-Dimensional Ultrasound Data.

IF 0.9 Q4 CLINICAL NEUROLOGY
Case Reports in Neurological Medicine Pub Date : 2025-01-08 eCollection Date: 2025-01-01 DOI:10.1155/crnm/7401673
Akihiro Hasegawa, Masami Kono, Tokumasa Suemitsu, Yuki Ito, Tatsuya Hirotsu, Yuichiro Nonaka, Osamu Samura, Aikou Okamoto
{"title":"Parietal Meningocele Under the Scalp of a Fetus Diagnosed Based on Volume Contrast Imaging of Prenatal Three-Dimensional Ultrasound Data.","authors":"Akihiro Hasegawa, Masami Kono, Tokumasa Suemitsu, Yuki Ito, Tatsuya Hirotsu, Yuichiro Nonaka, Osamu Samura, Aikou Okamoto","doi":"10.1155/crnm/7401673","DOIUrl":null,"url":null,"abstract":"<p><p>Determining the differential diagnosis of small scalp cysts identified on a fetus is difficult. In particular, many physicians have difficulty differentiating small meningoceles from small scalp cysts during the prenatal period. Volume contrast imaging increases contrast between tissues, thereby allowing an enhanced view of target structures. A 15 × 5 mm scalp cyst was identified on a fetus during a prenatal ultrasonography examination performed at 20 weeks of gestation. The cyst was not connected to the blood flow, and did not include the tissue of the brain parenchyma. Ventriculomegaly and other structural abnormalities were not observed. Based on these findings, we suspected a sinus pericranii or fetal epidermal cyst. The size of the fetal scalp cyst was stable, and the growth of the fetus remained normal until birth. The diagnosis of a small meningocele was confirmed postnatally, based on the results of a magnetic resonance imaging examination. Postnatal evaluation of offline volume contrast imaging of prenatal three-dimensional ultrasound data at 22 weeks of gestation revealed a skull bone defect beneath the cyst. Volume contrast imaging can facilitate the prenatal diagnosis of small meningoceles by detecting bone defects on the fetal head.</p>","PeriodicalId":9615,"journal":{"name":"Case Reports in Neurological Medicine","volume":"2025 ","pages":"7401673"},"PeriodicalIF":0.9000,"publicationDate":"2025-01-08","publicationTypes":"Journal Article","fieldsOfStudy":null,"isOpenAccess":false,"openAccessPdf":"https://www.ncbi.nlm.nih.gov/pmc/articles/PMC11735054/pdf/","citationCount":"0","resultStr":null,"platform":"Semanticscholar","paperid":null,"PeriodicalName":"Case Reports in Neurological Medicine","FirstCategoryId":"1085","ListUrlMain":"https://doi.org/10.1155/crnm/7401673","RegionNum":0,"RegionCategory":null,"ArticlePicture":[],"TitleCN":null,"AbstractTextCN":null,"PMCID":null,"EPubDate":"2025/1/1 0:00:00","PubModel":"eCollection","JCR":"Q4","JCRName":"CLINICAL NEUROLOGY","Score":null,"Total":0}
引用次数: 0

Abstract

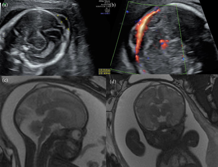
Determining the differential diagnosis of small scalp cysts identified on a fetus is difficult. In particular, many physicians have difficulty differentiating small meningoceles from small scalp cysts during the prenatal period. Volume contrast imaging increases contrast between tissues, thereby allowing an enhanced view of target structures. A 15 × 5 mm scalp cyst was identified on a fetus during a prenatal ultrasonography examination performed at 20 weeks of gestation. The cyst was not connected to the blood flow, and did not include the tissue of the brain parenchyma. Ventriculomegaly and other structural abnormalities were not observed. Based on these findings, we suspected a sinus pericranii or fetal epidermal cyst. The size of the fetal scalp cyst was stable, and the growth of the fetus remained normal until birth. The diagnosis of a small meningocele was confirmed postnatally, based on the results of a magnetic resonance imaging examination. Postnatal evaluation of offline volume contrast imaging of prenatal three-dimensional ultrasound data at 22 weeks of gestation revealed a skull bone defect beneath the cyst. Volume contrast imaging can facilitate the prenatal diagnosis of small meningoceles by detecting bone defects on the fetal head.

Abstract Image

Abstract Image

Abstract Image

基于产前三维超声数据的体积对比成像诊断胎儿头皮下的顶叶脑膜膨出。
确定胎儿头皮小囊肿的鉴别诊断是困难的。特别是,许多医生在产前很难区分小脑膜膨出和小头皮囊肿。体积对比成像增加了组织之间的对比度,从而增强了目标结构的视野。在妊娠20周进行产前超声检查时,发现胎儿有一个15 × 5毫米的头皮囊肿。囊肿不与血流相连,也不包括脑实质组织。未见脑室肿大及其他结构异常。基于这些发现,我们怀疑是颅周窦或胎儿表皮囊肿。胎儿头皮囊肿大小稳定,胎儿生长正常,直到出生。小脑膜膨出的诊断是出生后确认,基于结果的磁共振成像检查。产后评估脱机体积对比成像产前三维超声数据在妊娠22周显示颅骨缺损囊肿下。体积对比成像可以通过检测胎儿头部的骨缺陷来促进小脑膜膨出的产前诊断。
本文章由计算机程序翻译,如有差异,请以英文原文为准。
求助全文
约1分钟内获得全文 求助全文
来源期刊
自引率
0.00%
发文量
26
审稿时长
11 weeks
×
引用
GB/T 7714-2015
复制
MLA
复制
APA
复制
导出至
BibTeX EndNote RefMan NoteFirst NoteExpress
×
提示
您的信息不完整,为了账户安全,请先补充。
现在去补充
×
提示
您因"违规操作"
具体请查看互助需知
我知道了
×
提示
确定
请完成安全验证×
copy
已复制链接
快去分享给好友吧!
我知道了
右上角分享
点击右上角分享
0
联系我们:info@booksci.cn Book学术提供免费学术资源搜索服务,方便国内外学者检索中英文文献。致力于提供最便捷和优质的服务体验。 Copyright © 2023 布克学术 All rights reserved.
京ICP备2023020795号-1
ghs 京公网安备 11010802042870号
Book学术文献互助
Book学术文献互助群
群 号:604180095
Book学术官方微信