A Large Thoracolumbosacral Meningomyelocele From Northern Tanzania: A Case Report.

IF 0.5 Q4 SURGERY
Case Reports in Surgery Pub Date : 2025-01-09 eCollection Date: 2025-01-01 DOI:10.1155/cris/5662565
Mujaheed Suleman, Happiness Rabiel, Kerry Vaughan, Mathayo Shadrack, Goodluck Ndibalema, Raghav Lodhia, Jay Lodhia
{"title":"A Large Thoracolumbosacral Meningomyelocele From Northern Tanzania: A Case Report.","authors":"Mujaheed Suleman, Happiness Rabiel, Kerry Vaughan, Mathayo Shadrack, Goodluck Ndibalema, Raghav Lodhia, Jay Lodhia","doi":"10.1155/cris/5662565","DOIUrl":null,"url":null,"abstract":"<p><p>Meningomyelocele and meningocele are types of neural tube defects, which are congenital abnormalities of the spine and spinal cord. These conditions are frequently encountered by pediatric neurosurgeons worldwide and represent a significant public health concern due to their association with a range of collateral conditions, other malformations, and increased morbidity. While many cases can be identified during prenatal ultrasound screenings, this is often challenging in resource-limited settings with poor health-seeking behaviors. Surgical intervention is the primary treatment for these defects, and while various methods are described in the literature, larger defects require complex flaps and techniques, with limited options available. Beyond early surgical intervention, patients require lifelong care involving multidisciplinary medical teams.</p>","PeriodicalId":9600,"journal":{"name":"Case Reports in Surgery","volume":"2025 ","pages":"5662565"},"PeriodicalIF":0.5000,"publicationDate":"2025-01-09","publicationTypes":"Journal Article","fieldsOfStudy":null,"isOpenAccess":false,"openAccessPdf":"https://www.ncbi.nlm.nih.gov/pmc/articles/PMC11745552/pdf/","citationCount":"0","resultStr":null,"platform":"Semanticscholar","paperid":null,"PeriodicalName":"Case Reports in Surgery","FirstCategoryId":"1085","ListUrlMain":"https://doi.org/10.1155/cris/5662565","RegionNum":0,"RegionCategory":null,"ArticlePicture":[],"TitleCN":null,"AbstractTextCN":null,"PMCID":null,"EPubDate":"2025/1/1 0:00:00","PubModel":"eCollection","JCR":"Q4","JCRName":"SURGERY","Score":null,"Total":0}
引用次数: 0

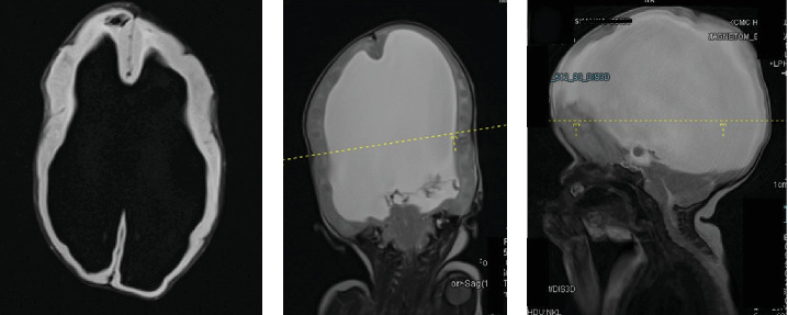
Abstract

Meningomyelocele and meningocele are types of neural tube defects, which are congenital abnormalities of the spine and spinal cord. These conditions are frequently encountered by pediatric neurosurgeons worldwide and represent a significant public health concern due to their association with a range of collateral conditions, other malformations, and increased morbidity. While many cases can be identified during prenatal ultrasound screenings, this is often challenging in resource-limited settings with poor health-seeking behaviors. Surgical intervention is the primary treatment for these defects, and while various methods are described in the literature, larger defects require complex flaps and techniques, with limited options available. Beyond early surgical intervention, patients require lifelong care involving multidisciplinary medical teams.

Abstract Image

Abstract Image

Abstract Image

坦桑尼亚北部大胸腰骶部脊膜膨出1例。
脊膜脊膜膨出和脑膜膨出是神经管缺陷的一种,是脊柱和脊髓的先天性异常。这些情况是世界各地的儿科神经外科医生经常遇到的,由于它们与一系列附带条件、其他畸形和发病率增加有关,因此代表了一个重大的公共卫生问题。虽然许多病例可以在产前超声筛查中发现,但在资源有限且就医行为不良的环境中,这往往具有挑战性。手术干预是这些缺陷的主要治疗方法,虽然文献中描述了各种方法,但较大的缺陷需要复杂的皮瓣和技术,可供选择的方法有限。除了早期手术干预,患者还需要多学科医疗团队的终身护理。
本文章由计算机程序翻译,如有差异,请以英文原文为准。
求助全文
约1分钟内获得全文 求助全文
来源期刊
自引率
0.00%
发文量
60
审稿时长
13 weeks
×
引用
GB/T 7714-2015
复制
MLA
复制
APA
复制
导出至
BibTeX EndNote RefMan NoteFirst NoteExpress
×
提示
您的信息不完整,为了账户安全,请先补充。
现在去补充
×
提示
您因"违规操作"
具体请查看互助需知
我知道了
×
提示
确定
请完成安全验证×
copy
已复制链接
快去分享给好友吧!
我知道了
右上角分享
点击右上角分享
0
联系我们:info@booksci.cn Book学术提供免费学术资源搜索服务,方便国内外学者检索中英文文献。致力于提供最便捷和优质的服务体验。 Copyright © 2023 布克学术 All rights reserved.
京ICP备2023020795号-1
ghs 京公网安备 11010802042870号
Book学术文献互助
Book学术文献互助群
群 号:604180095
Book学术官方微信