Pigmented Superficial Basal Cell Carcinoma of the Nipple-Areola Complex: A Case Report.

IF 0.8 Q4 DERMATOLOGY
Case Reports in Dermatology Pub Date : 2025-01-16 eCollection Date: 2025-01-01 DOI:10.1159/000542168
Xinru Chen, Na Zhang, Hongping Ge, Xiaoli Zhai, Meiyan Wang, Min Zhang
{"title":"Pigmented Superficial Basal Cell Carcinoma of the Nipple-Areola Complex: A Case Report.","authors":"Xinru Chen, Na Zhang, Hongping Ge, Xiaoli Zhai, Meiyan Wang, Min Zhang","doi":"10.1159/000542168","DOIUrl":null,"url":null,"abstract":"<p><strong>Introduction: </strong>Basal cell carcinoma (BCC) is the most common type of skin malignancy, accounting for approximately 80% of all non-melanoma skin cancers (NMSCs). Ultraviolet (UV) exposure is a significant risk factor for BCC development, which typically occurs in sun-exposed areas. BCC arising in non-sun-exposed regions, such as the nipple-areola complex (NAC), is exceedingly rare, with fewer than 100 cases reported globally. This report describes a case of pigmented superficial BCC in the NAC of a 76-year-old Asian woman.</p><p><strong>Case presentation: </strong>A 76-year-old Asian female presented with a 5-year history of a slowly enlarging lesion on her left breast, with recent rapid growth. Physical examination revealed a 10 mm × 8 mm blue-gray, pearl-like plaque on the NAC. Histopathology confirmed pigmented superficial BCC. Preoperative imaging, including breast ultrasound, chest computed tomography (CT), SPECT-CT, and axillary lymph node ultrasound, showed no evidence of metastasis. The patient underwent standard surgical excision with a 10 mm margin, followed by pathologic evaluation, confirming clear margins. The patient was discharged on the second postoperative day and remained asymptomatic at a 3-month follow-up.</p><p><strong>Conclusion: </strong>Pigmented superficial BCC of the NAC is an uncommon presentation due to the area's minimal sun exposure and lack of pilosebaceous units. This case underscores the importance of considering BCC in non-sun-exposed areas, particularly in elderly patients. While nonsurgical options such as photodynamic therapy may offer superior esthetic outcomes, the patient's financial constraints led to the selection of a cost-effective surgical excision, which successfully eliminated the tumor.</p>","PeriodicalId":9619,"journal":{"name":"Case Reports in Dermatology","volume":"17 1","pages":"19-25"},"PeriodicalIF":0.8000,"publicationDate":"2025-01-16","publicationTypes":"Journal Article","fieldsOfStudy":null,"isOpenAccess":false,"openAccessPdf":"https://www.ncbi.nlm.nih.gov/pmc/articles/PMC11737886/pdf/","citationCount":"0","resultStr":null,"platform":"Semanticscholar","paperid":null,"PeriodicalName":"Case Reports in Dermatology","FirstCategoryId":"1085","ListUrlMain":"https://doi.org/10.1159/000542168","RegionNum":0,"RegionCategory":null,"ArticlePicture":[],"TitleCN":null,"AbstractTextCN":null,"PMCID":null,"EPubDate":"2025/1/1 0:00:00","PubModel":"eCollection","JCR":"Q4","JCRName":"DERMATOLOGY","Score":null,"Total":0}
引用次数: 0

Abstract

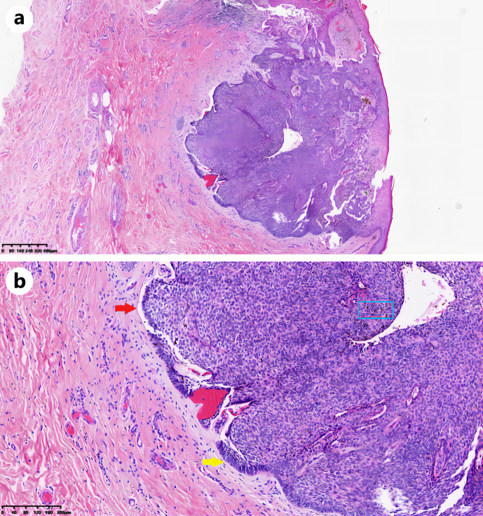
Introduction: Basal cell carcinoma (BCC) is the most common type of skin malignancy, accounting for approximately 80% of all non-melanoma skin cancers (NMSCs). Ultraviolet (UV) exposure is a significant risk factor for BCC development, which typically occurs in sun-exposed areas. BCC arising in non-sun-exposed regions, such as the nipple-areola complex (NAC), is exceedingly rare, with fewer than 100 cases reported globally. This report describes a case of pigmented superficial BCC in the NAC of a 76-year-old Asian woman.

Case presentation: A 76-year-old Asian female presented with a 5-year history of a slowly enlarging lesion on her left breast, with recent rapid growth. Physical examination revealed a 10 mm × 8 mm blue-gray, pearl-like plaque on the NAC. Histopathology confirmed pigmented superficial BCC. Preoperative imaging, including breast ultrasound, chest computed tomography (CT), SPECT-CT, and axillary lymph node ultrasound, showed no evidence of metastasis. The patient underwent standard surgical excision with a 10 mm margin, followed by pathologic evaluation, confirming clear margins. The patient was discharged on the second postoperative day and remained asymptomatic at a 3-month follow-up.

Conclusion: Pigmented superficial BCC of the NAC is an uncommon presentation due to the area's minimal sun exposure and lack of pilosebaceous units. This case underscores the importance of considering BCC in non-sun-exposed areas, particularly in elderly patients. While nonsurgical options such as photodynamic therapy may offer superior esthetic outcomes, the patient's financial constraints led to the selection of a cost-effective surgical excision, which successfully eliminated the tumor.

Abstract Image

Abstract Image

Abstract Image

乳头-乳晕复合体色素浅表基底细胞癌1例报告。
基底细胞癌(BCC)是最常见的皮肤恶性肿瘤,约占所有非黑色素瘤皮肤癌(NMSCs)的80%。紫外线(UV)暴露是BCC发展的重要危险因素,通常发生在阳光照射的地区。BCC发生在非阳光照射区域,如乳头乳晕复合体(NAC),是非常罕见的,全球报告的病例不到100例。本文报告一位76岁的亚洲女性,在NAC中发生色素浅表性基底细胞癌。病例介绍:76岁亚洲女性,5年左乳病变缓慢增大,近期快速增长。体格检查发现NAC上有一个10 mm × 8 mm的蓝灰色珍珠样斑块。组织病理学证实为色素浅表性基底细胞癌。术前影像学检查,包括乳房超声、胸部CT、SPECT-CT和腋窝淋巴结超声,均未发现转移的证据。患者接受标准手术切除,边缘为10毫米,随后进行病理评估,确认边缘清晰。患者于术后第二天出院,随访3个月无症状。结论:NAC的色素浅表性基底细胞癌是一种罕见的表现,因为该区域的阳光照射最少,缺乏毛囊皮脂腺单位。该病例强调了在非阳光照射区域,特别是老年患者中考虑基底细胞癌的重要性。虽然光动力疗法等非手术治疗可能会带来更好的美观效果,但由于患者经济拮据,他们选择了经济有效的手术切除,最终成功地消除了肿瘤。
本文章由计算机程序翻译,如有差异,请以英文原文为准。
求助全文
约1分钟内获得全文 求助全文
来源期刊
CiteScore
1.60
自引率
0.00%
发文量
57
审稿时长
9 weeks
×
引用
GB/T 7714-2015
复制
MLA
复制
APA
复制
导出至
BibTeX EndNote RefMan NoteFirst NoteExpress
×
提示
您的信息不完整,为了账户安全,请先补充。
现在去补充
×
提示
您因"违规操作"
具体请查看互助需知
我知道了
×
提示
确定
请完成安全验证×
copy
已复制链接
快去分享给好友吧!
我知道了
右上角分享
点击右上角分享
0
联系我们:info@booksci.cn Book学术提供免费学术资源搜索服务,方便国内外学者检索中英文文献。致力于提供最便捷和优质的服务体验。 Copyright © 2023 布克学术 All rights reserved.
京ICP备2023020795号-1
ghs 京公网安备 11010802042870号
Book学术文献互助
Book学术文献互助群
群 号:604180095
Book学术官方微信