Clinical presentation, diagnostic investigations and follow-up of a Bengal tiger (Panthera tigris tigris) affected by ambulatory tetraparesis.

Brazilian journal of veterinary medicine Pub Date : 2025-01-08 eCollection Date: 2024-01-01 DOI:10.29374/2527-2179.bjvm008024
Stefania Mosconi, Manuel Morici, Edoardo Auriemma, Salvatore Di Graci, Anna Calloni, Giordana Zanna, Federica Tirrito
{"title":"Clinical presentation, diagnostic investigations and follow-up of a Bengal tiger (<i>Panthera tigris tigris)</i> affected by ambulatory tetraparesis.","authors":"Stefania Mosconi, Manuel Morici, Edoardo Auriemma, Salvatore Di Graci, Anna Calloni, Giordana Zanna, Federica Tirrito","doi":"10.29374/2527-2179.bjvm008024","DOIUrl":null,"url":null,"abstract":"<p><p>An 11-year-old male Bengal tiger (<i>Panthera tigris tigris</i>) was referred for a 2-week history of ambulatory tetraparesis, generalized ataxia, and hypermetric gait, associated with mild right head tilt and spontaneous proprioceptive deficit on the right forelimb. Neuroanatomical localization was C1-C5 myelopathy; cerebellum-vestibular system involvement was also considered. Hematology and serum biochemistry were unremarkable, although serum vitamin A (0.11 mg/L) was below the reference range (0.17 - 0.36 mg/L). Indirect hemagglutination test for <i>Toxoplasma gondii</i> was positive (antibodies titer 1:640). Computed tomography of the head and cervical column showed hypertrophic degenerative remodeling of the vertebral articular joint processes, causing severe vertebral canal stenosis and bilateral spinal cord compression at C2-C3. In addition, bilateral otitis media was present, without signs of intracranial extension of the inflammation by imaging. Brainstem auditory evoked potential test revealed a partial, bilateral conductive deafness. Cerebrospinal fluid (CSF) analysis resulted normal; CSF PCR for <i>T. gondii</i> was negative. A diagnosis of osseous-associated cervical spondylomyelopathy (OA-CSM) and concurrent bilateral otitis media was obtained. Glucocorticoids, movement restriction, vitamin A supplementation, and clindamycin were instituted. Four weeks later the clinical signs deteriorated, and the animal was euthanized. To the authors' knowledge this is the first report of OA-CSM in a tiger.</p>","PeriodicalId":72458,"journal":{"name":"Brazilian journal of veterinary medicine","volume":"46 ","pages":"e008024"},"PeriodicalIF":0.0000,"publicationDate":"2025-01-08","publicationTypes":"Journal Article","fieldsOfStudy":null,"isOpenAccess":false,"openAccessPdf":"https://www.ncbi.nlm.nih.gov/pmc/articles/PMC11731858/pdf/","citationCount":"0","resultStr":null,"platform":"Semanticscholar","paperid":null,"PeriodicalName":"Brazilian journal of veterinary medicine","FirstCategoryId":"1085","ListUrlMain":"https://doi.org/10.29374/2527-2179.bjvm008024","RegionNum":0,"RegionCategory":null,"ArticlePicture":[],"TitleCN":null,"AbstractTextCN":null,"PMCID":null,"EPubDate":"2024/1/1 0:00:00","PubModel":"eCollection","JCR":"","JCRName":"","Score":null,"Total":0}
引用次数: 0

Abstract

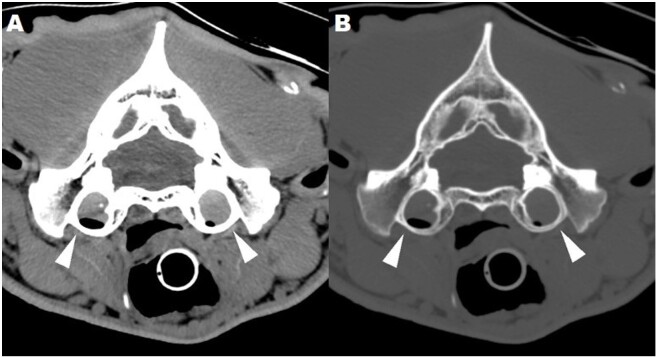
An 11-year-old male Bengal tiger (Panthera tigris tigris) was referred for a 2-week history of ambulatory tetraparesis, generalized ataxia, and hypermetric gait, associated with mild right head tilt and spontaneous proprioceptive deficit on the right forelimb. Neuroanatomical localization was C1-C5 myelopathy; cerebellum-vestibular system involvement was also considered. Hematology and serum biochemistry were unremarkable, although serum vitamin A (0.11 mg/L) was below the reference range (0.17 - 0.36 mg/L). Indirect hemagglutination test for Toxoplasma gondii was positive (antibodies titer 1:640). Computed tomography of the head and cervical column showed hypertrophic degenerative remodeling of the vertebral articular joint processes, causing severe vertebral canal stenosis and bilateral spinal cord compression at C2-C3. In addition, bilateral otitis media was present, without signs of intracranial extension of the inflammation by imaging. Brainstem auditory evoked potential test revealed a partial, bilateral conductive deafness. Cerebrospinal fluid (CSF) analysis resulted normal; CSF PCR for T. gondii was negative. A diagnosis of osseous-associated cervical spondylomyelopathy (OA-CSM) and concurrent bilateral otitis media was obtained. Glucocorticoids, movement restriction, vitamin A supplementation, and clindamycin were instituted. Four weeks later the clinical signs deteriorated, and the animal was euthanized. To the authors' knowledge this is the first report of OA-CSM in a tiger.

Abstract Image

Abstract Image

Abstract Image

孟加拉虎(Panthera tigris tigris)的临床表现、诊断调查和随访。
一只11岁雄性孟加拉虎(Panthera tigris tigris)有2周的走动性四肢瘫痪、全身性共济失调和步态过快的病史,伴有轻度右头倾斜和自发性右前肢本体感觉缺陷。神经解剖定位为C1-C5型脊髓病;也考虑了小脑-前庭系统受累。血液学和血清生化无显著差异,但血清维生素A (0.11 mg/L)低于参考范围(0.17 ~ 0.36 mg/L)。刚地弓形虫间接血凝试验阳性(抗体滴度1:640)。头部和颈椎的计算机断层扫描显示椎关节突增生性退行性重塑,导致严重的椎管狭窄和双侧C2-C3脊髓受压。此外,双侧中耳炎存在,影像学未见炎症向颅内延伸的迹象。脑干听觉诱发电位测试显示部分双侧传导性耳聋。脑脊液分析正常;弓形虫CSF PCR阴性。诊断为骨相关性颈椎病(OA-CSM)和并发双侧中耳炎。给予糖皮质激素、运动限制、维生素A补充和克林霉素治疗。四周后,临床症状恶化,动物被安乐死。据作者所知,这是老虎的OA-CSM的第一次报告。
本文章由计算机程序翻译,如有差异,请以英文原文为准。
求助全文
约1分钟内获得全文 求助全文
来源期刊
自引率
0.00%
发文量
0
×
引用
GB/T 7714-2015
复制
MLA
复制
APA
复制
导出至
BibTeX EndNote RefMan NoteFirst NoteExpress
×
提示
您的信息不完整,为了账户安全,请先补充。
现在去补充
×
提示
您因"违规操作"
具体请查看互助需知
我知道了
×
提示
确定
请完成安全验证×
copy
已复制链接
快去分享给好友吧!
我知道了
右上角分享
点击右上角分享
0
联系我们:info@booksci.cn Book学术提供免费学术资源搜索服务,方便国内外学者检索中英文文献。致力于提供最便捷和优质的服务体验。 Copyright © 2023 布克学术 All rights reserved.
京ICP备2023020795号-1
ghs 京公网安备 11010802042870号
Book学术文献互助
Book学术文献互助群
群 号:604180095
Book学术官方微信