Applicability of computed tomography and rhinoscopy in the diagnosis and monitoring of the treatment of epistaxis in a dog.

Brazilian journal of veterinary medicine Pub Date : 2025-01-02 eCollection Date: 2024-01-01 DOI:10.29374/2527-2179.bjvm008624
Matheus Daudt Matos, Flávia Silva Raja Gabaglia Toledo, Luana Menezes Rocha, Alexandre José Rodrigues Bendas
{"title":"Applicability of computed tomography and rhinoscopy in the diagnosis and monitoring of the treatment of epistaxis in a dog.","authors":"Matheus Daudt Matos, Flávia Silva Raja Gabaglia Toledo, Luana Menezes Rocha, Alexandre José Rodrigues Bendas","doi":"10.29374/2527-2179.bjvm008624","DOIUrl":null,"url":null,"abstract":"<p><p>Epistaxis is defined as bleeding from the nasal cavity and can be related to systemic causes leading to coagulation disorders, most commonly hemoparasitosis, or to localized changes in the nasal cavity itself (e.g., intranasal neoplasms). Transmissible venereal tumors (TVT) are malignant round cell neoplasms characterized by an anomalous proliferation of tumor cells disseminated mainly by direct contact between animals. Although transmitted sexually, transmission through contact with mucous membranes and skin tissue can also occur, including the nasal cavity. Although rare, it can have significant clinical implications because it is difficult to diagnose. The diagnosis is made by physical examination, imaging tests (computed tomography and rhinoscopy), and histopathological analysis, which is the gold standard. Treatment is based on the use of chemotherapeutic agents, with vincristine as the drug of choice. This study reported a case of intranasal TVT in a 4-year-old French bulldog and addressed its clinical characteristics, diagnosis, and treatment. It also reported the importance of early recognition of the condition and changes in imaging tests to better understand and manage this atypical presentation.</p>","PeriodicalId":72458,"journal":{"name":"Brazilian journal of veterinary medicine","volume":"46 ","pages":"e008624"},"PeriodicalIF":0.0000,"publicationDate":"2025-01-02","publicationTypes":"Journal Article","fieldsOfStudy":null,"isOpenAccess":false,"openAccessPdf":"https://www.ncbi.nlm.nih.gov/pmc/articles/PMC11731857/pdf/","citationCount":"0","resultStr":null,"platform":"Semanticscholar","paperid":null,"PeriodicalName":"Brazilian journal of veterinary medicine","FirstCategoryId":"1085","ListUrlMain":"https://doi.org/10.29374/2527-2179.bjvm008624","RegionNum":0,"RegionCategory":null,"ArticlePicture":[],"TitleCN":null,"AbstractTextCN":null,"PMCID":null,"EPubDate":"2024/1/1 0:00:00","PubModel":"eCollection","JCR":"","JCRName":"","Score":null,"Total":0}
引用次数: 0

Abstract

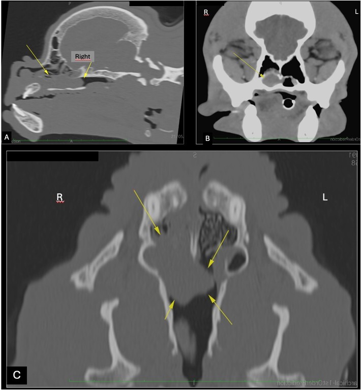
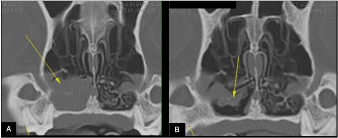
Epistaxis is defined as bleeding from the nasal cavity and can be related to systemic causes leading to coagulation disorders, most commonly hemoparasitosis, or to localized changes in the nasal cavity itself (e.g., intranasal neoplasms). Transmissible venereal tumors (TVT) are malignant round cell neoplasms characterized by an anomalous proliferation of tumor cells disseminated mainly by direct contact between animals. Although transmitted sexually, transmission through contact with mucous membranes and skin tissue can also occur, including the nasal cavity. Although rare, it can have significant clinical implications because it is difficult to diagnose. The diagnosis is made by physical examination, imaging tests (computed tomography and rhinoscopy), and histopathological analysis, which is the gold standard. Treatment is based on the use of chemotherapeutic agents, with vincristine as the drug of choice. This study reported a case of intranasal TVT in a 4-year-old French bulldog and addressed its clinical characteristics, diagnosis, and treatment. It also reported the importance of early recognition of the condition and changes in imaging tests to better understand and manage this atypical presentation.

Abstract Image

Abstract Image

Abstract Image

计算机断层扫描和鼻镜检查在犬鼻出血诊断和监测中的适用性。
鼻衄是指鼻腔出血,可能与导致凝血功能障碍的全身性原因(最常见的是血吸虫病)有关,也可能与鼻腔本身的局部病变(如鼻内肿瘤)有关。传染性性病肿瘤(TVT)是一种恶性圆形细胞肿瘤,其特点是肿瘤细胞异常增殖,主要通过动物之间的直接接触传播。虽然通过性传播,但也可通过接触粘膜和皮肤组织传播,包括鼻腔。这种疾病虽然罕见,但由于难以诊断,会对临床产生重大影响。诊断需要通过体格检查、影像学检查(计算机断层扫描和鼻内窥镜检查)和组织病理学分析(这是金标准)。治疗以化疗药物为基础,长春新碱是首选药物。本研究报告了一例 4 岁法国斗牛犬鼻内 TVT 病例,并探讨了其临床特征、诊断和治疗方法。研究还报告了早期识别该病症的重要性以及影像学检查的变化,以便更好地了解和处理这种非典型表现。
本文章由计算机程序翻译,如有差异,请以英文原文为准。
求助全文
约1分钟内获得全文 求助全文
来源期刊
自引率
0.00%
发文量
0
×
引用
GB/T 7714-2015
复制
MLA
复制
APA
复制
导出至
BibTeX EndNote RefMan NoteFirst NoteExpress
×
提示
您的信息不完整,为了账户安全,请先补充。
现在去补充
×
提示
您因"违规操作"
具体请查看互助需知
我知道了
×
提示
确定
请完成安全验证×
copy
已复制链接
快去分享给好友吧!
我知道了
右上角分享
点击右上角分享
0
联系我们:info@booksci.cn Book学术提供免费学术资源搜索服务,方便国内外学者检索中英文文献。致力于提供最便捷和优质的服务体验。 Copyright © 2023 布克学术 All rights reserved.
京ICP备2023020795号-1
ghs 京公网安备 11010802042870号
Book学术文献互助
Book学术文献互助群
群 号:604180095
Book学术官方微信