Long-Term Outcomes of Surgical Decompression in Treating Calcifying Odontogenic Cyst Associated With Compound Odontoma: A 9-Year Follow-Up Case Report and Literature Review.

IF 0.9 Q4 DENTISTRY, ORAL SURGERY & MEDICINE
Case Reports in Dentistry Pub Date : 2025-01-06 eCollection Date: 2025-01-01 DOI:10.1155/crid/2844784
Álvaro Alarcón, Rodrigo Barison, Benjamín Martínez, Sergio González
{"title":"Long-Term Outcomes of Surgical Decompression in Treating Calcifying Odontogenic Cyst Associated With Compound Odontoma: A 9-Year Follow-Up Case Report and Literature Review.","authors":"Álvaro Alarcón, Rodrigo Barison, Benjamín Martínez, Sergio González","doi":"10.1155/crid/2844784","DOIUrl":null,"url":null,"abstract":"<p><p>A calcifying odontogenic cyst (COC) is a cystic lesion originating from odontogenic epithelium, exhibiting ameloblastomatous features and containing focal accumulations of ghost cells. The standard treatment for COC typically involves enucleation followed by surgical curettage. However, if the cyst is large or closely associated with anatomical structures, decompression may be considered as a preliminary step before enucleation. A 12-year-old male patient presented with swelling in the anterior mandibular region. Radiological assessment revealed an extensive radiolucent area crossing the mandibular midline, accompanied by radiopaque areas within the lesion. The diagnosis of COC associated with compound odontoma was confirmed. The treatment plan involved decompression, followed by enucleation. After over 9 years of follow-up, the patient showed satisfactory and effective outcomes, with no signs of recurrence. This therapeutic approach minimizes the morbidity and cost associated with extensive and invasive reconstructive surgeries.</p>","PeriodicalId":46841,"journal":{"name":"Case Reports in Dentistry","volume":"2025 ","pages":"2844784"},"PeriodicalIF":0.9000,"publicationDate":"2025-01-06","publicationTypes":"Journal Article","fieldsOfStudy":null,"isOpenAccess":false,"openAccessPdf":"https://www.ncbi.nlm.nih.gov/pmc/articles/PMC11730012/pdf/","citationCount":"0","resultStr":null,"platform":"Semanticscholar","paperid":null,"PeriodicalName":"Case Reports in Dentistry","FirstCategoryId":"1085","ListUrlMain":"https://doi.org/10.1155/crid/2844784","RegionNum":0,"RegionCategory":null,"ArticlePicture":[],"TitleCN":null,"AbstractTextCN":null,"PMCID":null,"EPubDate":"2025/1/1 0:00:00","PubModel":"eCollection","JCR":"Q4","JCRName":"DENTISTRY, ORAL SURGERY & MEDICINE","Score":null,"Total":0}
引用次数: 0

Abstract

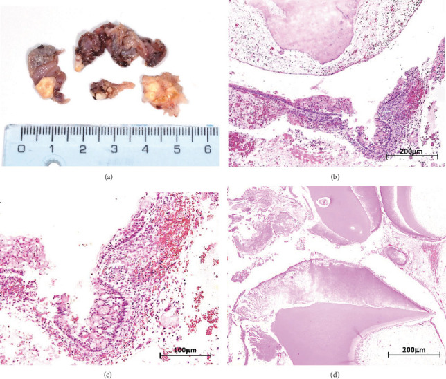
A calcifying odontogenic cyst (COC) is a cystic lesion originating from odontogenic epithelium, exhibiting ameloblastomatous features and containing focal accumulations of ghost cells. The standard treatment for COC typically involves enucleation followed by surgical curettage. However, if the cyst is large or closely associated with anatomical structures, decompression may be considered as a preliminary step before enucleation. A 12-year-old male patient presented with swelling in the anterior mandibular region. Radiological assessment revealed an extensive radiolucent area crossing the mandibular midline, accompanied by radiopaque areas within the lesion. The diagnosis of COC associated with compound odontoma was confirmed. The treatment plan involved decompression, followed by enucleation. After over 9 years of follow-up, the patient showed satisfactory and effective outcomes, with no signs of recurrence. This therapeutic approach minimizes the morbidity and cost associated with extensive and invasive reconstructive surgeries.

Abstract Image

Abstract Image

Abstract Image

手术减压治疗钙化性牙源性囊肿合并复合牙瘤的远期疗效:9年随访病例报告及文献复习。
钙化牙源性囊肿(COC)是一种起源于牙源性上皮的囊性病变,表现为成釉细胞瘤特征,并含有局灶性鬼影细胞积聚。COC的标准治疗通常包括去核后手术刮除。然而,如果囊肿较大或与解剖结构密切相关,则可考虑将减压作为摘除前的初步步骤。一个12岁的男性病人提出在前下颌区域肿胀。放射学评估显示横跨下颌中线的广泛透光区,病变内伴不透光区。确认COC合并复合牙瘤的诊断。治疗方案包括减压,然后去核。经过9年多的随访,患者疗效满意,无复发迹象。这种治疗方法最大限度地减少了与广泛和侵入性重建手术相关的发病率和费用。
本文章由计算机程序翻译,如有差异,请以英文原文为准。
求助全文
约1分钟内获得全文 求助全文
来源期刊
Case Reports in Dentistry
Case Reports in Dentistry DENTISTRY, ORAL SURGERY & MEDICINE-
CiteScore
1.40
自引率
12.50%
发文量
107
审稿时长
14 weeks
期刊介绍: Case Reports in Dentistry is a peer-reviewed, Open Access journal that publishes case reports and case series in all areas of dentistry, including periodontal diseases, dental implants, oral pathology, as well as oral and maxillofacial surgery.
×
引用
GB/T 7714-2015
复制
MLA
复制
APA
复制
导出至
BibTeX EndNote RefMan NoteFirst NoteExpress
×
提示
您的信息不完整,为了账户安全,请先补充。
现在去补充
×
提示
您因"违规操作"
具体请查看互助需知
我知道了
×
提示
确定
请完成安全验证×
copy
已复制链接
快去分享给好友吧!
我知道了
右上角分享
点击右上角分享
0
联系我们:info@booksci.cn Book学术提供免费学术资源搜索服务,方便国内外学者检索中英文文献。致力于提供最便捷和优质的服务体验。 Copyright © 2023 布克学术 All rights reserved.
京ICP备2023020795号-1
ghs 京公网安备 11010802042870号
Book学术文献互助
Book学术文献互助群
群 号:604180095
Book学术官方微信