Systematic Ultrasound Evaluation of Olfactory Sulci in Fetuses with Congenital Heart Defects: A Clue for CHARGE Syndrome Diagnosis.

IF 1.6 3区 医学 Q3 OBSTETRICS & GYNECOLOGY
Fetal Diagnosis and Therapy Pub Date : 2025-01-01 Epub Date: 2025-01-14 DOI:10.1159/000543190
Ron Charach, Míriam Pérez-Cruz, Narcis Masoller, Míriam Illa, Elena Monterde, Josep Maria Martínez-Crespo, Antoni Borrell, Marta Gómez-Chiari, Mónica Rebollo-Polo, Mar Borregan, Olga Gómez, Elisenda Eixarch
{"title":"Systematic Ultrasound Evaluation of Olfactory Sulci in Fetuses with Congenital Heart Defects: A Clue for CHARGE Syndrome Diagnosis.","authors":"Ron Charach, Míriam Pérez-Cruz, Narcis Masoller, Míriam Illa, Elena Monterde, Josep Maria Martínez-Crespo, Antoni Borrell, Marta Gómez-Chiari, Mónica Rebollo-Polo, Mar Borregan, Olga Gómez, Elisenda Eixarch","doi":"10.1159/000543190","DOIUrl":null,"url":null,"abstract":"<p><strong>Introduction: </strong>Arhinencephaly have been identified as a significant feature in CHARGE syndrome. This study aimed to evaluate the diagnostic role of olfactory sulci (OS) in identifying CHARGE syndrome among fetuses with major congenital heart defects (CHDs).</p><p><strong>Methods: </strong>We prospectively evaluated OS development in fetuses diagnosed with CHDs from 2017 to 2021. Neurosonography was performed using transabdominal and transvaginal approaches after 30 weeks of gestation. OS assessment was conducted in the trans-frontal coronal plane, classifying their appearance as fully developed, hypoplastic, or absent. Abnormal OS cases underwent MRI and trio-based clinical exome sequencing (CES).</p><p><strong>Results: </strong>The study included 147 fetuses with CHD. Abnormal OS were found in 4 fetuses (2.7%) which also exhibited other additional anomalies. OS were absent in cases 1-3 and hypoplastic in case 4. MRI confirmed OS abnormalities in all cases, and trio-based CES identified a CHD7 gene mutation in cases 1, 2, and 4, supporting the diagnosis of CHARGE syndrome. Case 3 had normal trio-based CES results. No other CHARGE syndrome cases were diagnosed postnatally among the cases with normal OS.</p><p><strong>Conclusions: </strong>Systematic evaluation of OS in fetuses with major CHD might contribute to the diagnosis of CHARGE syndrome. Our findings support the inclusion of OS assessment in the prenatal evaluation of fetuses with major CHDs.</p>","PeriodicalId":12189,"journal":{"name":"Fetal Diagnosis and Therapy","volume":" ","pages":"280-290"},"PeriodicalIF":1.6000,"publicationDate":"2025-01-01","publicationTypes":"Journal Article","fieldsOfStudy":null,"isOpenAccess":false,"openAccessPdf":"https://www.ncbi.nlm.nih.gov/pmc/articles/PMC12129418/pdf/","citationCount":"0","resultStr":null,"platform":"Semanticscholar","paperid":null,"PeriodicalName":"Fetal Diagnosis and Therapy","FirstCategoryId":"3","ListUrlMain":"https://doi.org/10.1159/000543190","RegionNum":3,"RegionCategory":"医学","ArticlePicture":[],"TitleCN":null,"AbstractTextCN":null,"PMCID":null,"EPubDate":"2025/1/14 0:00:00","PubModel":"Epub","JCR":"Q3","JCRName":"OBSTETRICS & GYNECOLOGY","Score":null,"Total":0}
引用次数: 0

Abstract

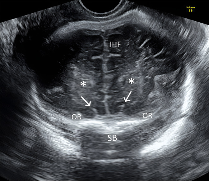
Introduction: Arhinencephaly have been identified as a significant feature in CHARGE syndrome. This study aimed to evaluate the diagnostic role of olfactory sulci (OS) in identifying CHARGE syndrome among fetuses with major congenital heart defects (CHDs).

Methods: We prospectively evaluated OS development in fetuses diagnosed with CHDs from 2017 to 2021. Neurosonography was performed using transabdominal and transvaginal approaches after 30 weeks of gestation. OS assessment was conducted in the trans-frontal coronal plane, classifying their appearance as fully developed, hypoplastic, or absent. Abnormal OS cases underwent MRI and trio-based clinical exome sequencing (CES).

Results: The study included 147 fetuses with CHD. Abnormal OS were found in 4 fetuses (2.7%) which also exhibited other additional anomalies. OS were absent in cases 1-3 and hypoplastic in case 4. MRI confirmed OS abnormalities in all cases, and trio-based CES identified a CHD7 gene mutation in cases 1, 2, and 4, supporting the diagnosis of CHARGE syndrome. Case 3 had normal trio-based CES results. No other CHARGE syndrome cases were diagnosed postnatally among the cases with normal OS.

Conclusions: Systematic evaluation of OS in fetuses with major CHD might contribute to the diagnosis of CHARGE syndrome. Our findings support the inclusion of OS assessment in the prenatal evaluation of fetuses with major CHDs.

Abstract Image

Abstract Image

Abstract Image

先天性心脏缺陷胎儿嗅沟系统超声评价:诊断CHARGE综合征的线索。
目的:本研究旨在评估嗅沟(OS)在诊断重大先天性心脏缺陷(CHDs)胎儿CHARGE综合征中的作用。方法:我们对2017年至2021年诊断为CHDs的胎儿的OS发育进行前瞻性评估。妊娠30周后经腹、经阴道行神经超声检查(NSG)。在经额冠状面进行OS评估,将其分为发育完全、发育不全或缺失。异常OS患者行MRI和三基临床外显子组测序(CES)。结果:本研究纳入147例冠心病胎儿。4例胎儿出现OS异常(2.7%),并伴有其他异常。病例1-3无骨肉瘤,病例4发育不良。MRI证实所有病例均出现OS异常,基于三基因的CES在病例1、2和4中发现CHD7基因突变,支持CHARGE综合征的诊断。病例3的三基CES结果正常。在OS正常的病例中,无其他产后诊断出CHARGE综合征病例。结论:系统评价重度冠心病胎儿的OS可能有助于CHARGE综合征的诊断。我们的研究结果支持将OS评估纳入重度冠心病胎儿的产前评估。
本文章由计算机程序翻译,如有差异,请以英文原文为准。
求助全文
约1分钟内获得全文 求助全文
来源期刊
Fetal Diagnosis and Therapy
Fetal Diagnosis and Therapy 医学-妇产科学
CiteScore
4.70
自引率
9.10%
发文量
48
审稿时长
6-12 weeks
期刊介绍: The first journal to focus on the fetus as a patient, ''Fetal Diagnosis and Therapy'' provides a wide range of biomedical specialists with a single source of reports encompassing the common discipline of fetal medicine.
×
引用
GB/T 7714-2015
复制
MLA
复制
APA
复制
导出至
BibTeX EndNote RefMan NoteFirst NoteExpress
×
提示
您的信息不完整,为了账户安全,请先补充。
现在去补充
×
提示
您因"违规操作"
具体请查看互助需知
我知道了
×
提示
确定
请完成安全验证×
copy
已复制链接
快去分享给好友吧!
我知道了
右上角分享
点击右上角分享
0
联系我们:info@booksci.cn Book学术提供免费学术资源搜索服务,方便国内外学者检索中英文文献。致力于提供最便捷和优质的服务体验。 Copyright © 2023 布克学术 All rights reserved.
京ICP备2023020795号-1
ghs 京公网安备 11010802042870号
Book学术文献互助
Book学术文献互助群
群 号:604180095
Book学术官方微信